| Скачать .docx | Скачать .pdf |
Реферат: Маточные кровотечения и кровянистые выделения как предпосылка предраковых заболеваний
Маточные кровотечения и кровянистые выделения как предпосылка предраковых заболеваний
Агабекян Г.Г., Балаян Б.Г., Агабекян Л.Э.
В менопаузальном возрасте маточные кровотечения и кровянистые выделения из половых путей вызывают повышенную онкологическую настороженность и зачастую расцениваются клиницистами в качестве симптома злокачественного новообразования органов полового тракта [13]. Наиболее частой причиной менопаузальных маточных кровотечений считаются: рак тела или шейки матки, значительно реже – гиперпластические процессы эндометрия (включая полипы), полипы цервикального канала, гормонально–активные опухоли яичников [4, 5].
Целью настоящего исследования явилось определение морфологического субстрата маточных кровотечений и кровянистых выделений из половых путей у пациенток, находящихся в менопаузе.
Материал и методы исследования
Проведено гистологическое и гистохимическое исследование биопсий эндометрия и эндоцервикса, операционного материала (пангистерэктомия с придатками) у 271 пациентки менопаузального возраста, страдающих маточными кровотечениями и кровянистыми выделениями из половых путей за период с 1994 по 2003 г. Средний возраст пациенток составил 58, 8±0, 4 года. Продолжительность менопаузы – от 1 до 10 и более лет. Материал для исследования фиксировали 10% забуференным формалином и заливали в парафин. Парафиновые срезы толщиной 4 мкм окрашивали гематоксилином и эозином по Иеннеру–Гимза, алциановым синим, проводили ШИК–реакцию, окрашивали также метиловым зеленым – пиронином G.
Результаты исследования и обсуждение
По результатам гистологического исследования биопсийного и операционного материала нами были выявлены нозологические единицы, послужившие причиной маточных кровотечений в постменопаузе (табл. 1).
Как следует из данных, приведенных в таблице, чаще всего причиной маточных кровотечений являлась лейомиома матки, гистологическая структура которой варьировала: превалировала лейомиома с фиброзом и гиалинозом, в отдельных случаях с петрификацией и даже оссификацией; реже обнаруживалась клеточная лейомиома и в одном случае – эпителиоидно–клеточная.
Следующая по частоте причина маточных кровотечений и кровянистых выделений из половых путей – хронические воспалительные заболевания органов полового тракта (эндоцервицит и/или эндометрит).
Далее следуют гиперпластические процессы эндометрия, включая полипы. Гиперпластические процессы были представлены преимущественно очаговой железистой гиперплазией, а среди полипов преобладали ретрогрессивные полипы.
Рак тела матки (6, 3±1, 5%) и рак шейки матки (2, 6±0, 1%) в наших наблюдениях послужили причиной маточных кровотечений и кровянистых выделений из половых путей лишь в 8, 9% случаев (суммарно). Полипы цервикального канала среди нашего контингента больных встречались в 2 раза чаще рака шейки матки и были представлены преимущественно эпидермизированными железисто–фиброзными полипами.
В случае с гранулезотекаклеточной опухолью яичника после 10 лет менопаузы начались ациклические маточные кровотечения с типичными секреторными превращениями эндометрия.
Хронические эндоцервицит и эндометрит обнаруживались не только изолированно, но и ассоциированно с невоспалительными заболеваниями тела и шейки матки (миома, гиперпластические процессы эндометрия, полипы цервикального канала). Эта ассоциация наблюдалась у 52, 0±3, 0% от общего числа исследованных пациенток.
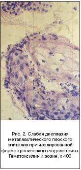
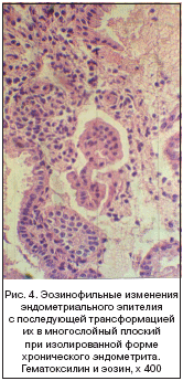
Характерной особенностью хронического эндометрита у пациенток менопаузального возраста являлось постоянное развитие плоскоклеточной метаплазии покровного, а в части случаев и железистого эпителия эндометрия (рис. 1, 2). Реже обнаруживалась муцинозная (эндоцервикальная) метаплазия. В связи с метапластическими процессами развивающиеся изменения эпителия имели характер преимущественно поверхностно–синцитиального и эозинофильноклеточного типов (рис. 3, 4), реже встречались светлоклеточный, реснитчатоклеточный (трубный) и «гвоздиковый» типы. В единичных случаях наблюдалась моруляция. Все типы метапластических изменений маточного эпителия могли симулировать рак эндометрия. При ассоциированной форме хронического эндометрита метаплазия и связанные с нею изменения эпителия вышеупомянутых типов встречались значительно чаще и имели более распространенный характер.
Диспластические изменения эпителия маточного типа и метаплазированного эпителия при изолированной форме хронического эндометрита выявлялись относительно часто, однако они ограничивались дисплазией I, реже – II степени. При эндометрите, ассоциированном с невоспалительными заболеваниями тела и шейки матки, преобладала дисплазия II степени.
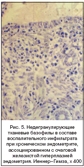
Воспалительный инфильтрат был представлен мелкоочаговыми скоплениями лимфоцитов со скудной примесью плазмоцитов и нейтрофильных гранулоцитов при почти полном отсутствии макрофагов. Характерной особенностью воспалительного инфильтрата явилось обильное количество слабо дегранулирующих тканевых базофилов. Аналогичную картину мы наблюдали при умеренно–дифференцированной аденокарциноме эндометрия у пациентки менопаузального возраста (рис. 5).
Воспалительный процесс нередко сопровождался выраженным фиброзом и даже гиалинозом стромы, в которой оказывались «замурованными» кистозно–расширенные железы.
Таким образом, наиболее частой причиной маточных кровотечений и кровянистых выделений из половых путей у пациенток постменопаузального возраста являются невоспалительные доброкачественные заболевания тела и шейки матки. Хронические воспалительные процессы сами по себе вызывают маточные кровотечения, а при ассоциации с невоспалительными заболеваниями способствуют их возникновению либо усилению. Диспластические изменения покровного и железистого эпителия эндоцервикса и эндометрия при хроническом воспалении могут послужить основой для злокачественного перерождения.






Список литературы
1. De Cherney A., Nathan L. Current Obstetric and Gynecologic. Diagnosis and Treatment. Ninth Edition, 2003.
2. Paavonen J. Pelvic inflammatory disease // Medicin.– 2001.– Vol. 29 (8).– P. 48–51.
3. Колонина В.Ф., Ионова Е.В. и др. Рентгенокраниография в диагностике ювенильных маточных кровотечений // Рос. вестник акуш. и гинек. – 2005. –Т. 5. – С. 39–43.
4. Wilder R. Hormones, pregnancy and autoimmune diseases // Ann. N. Y. acad. Sci. – 1998. – Vol. 60 (EM). – P. 45–50.
5. Сметник В.П., Тумилович Л.Г. Неоперативная гинекология. – СПб., 1995, книги 1 и 2.