| Скачать .docx | Скачать .pdf |
Реферат: Гипостатическая пневмония
Министерство сельского хозяйства Российской Федерации
Департамент Кадровой политики и образования
Федеральное Государственное образовательное учреждение
Высшего профессионального образования
Кафедра внутренних незаразных болезней,
клинической диагностики и фармакологии.
Реферат
На тему: «Гипостатическая пневмония»
Выполнила: студентка 4 курса
Проверил:
Иркутск-2009
Введение:
Гипостаз (hypostasis) - скопление жидкости или крови в какой-либо части тела под воздействием силы тяжести, связанное с нарушением циркуляции. Гипостатическое переполнение легких часто наблюдается у ослабленных больных, которые длительное время находятся в лежачем состоянии. Гипостаз предрасполагает к развитию пневмонии (гипостатическая пневмония), однако ее развитие может быть предотвращено благодаря тщательному уходу и применению физиотерапии. Аналогичное состояние возникает в различных частях тела после смерти.
Гипостатическая пневмония – разновидность застойной пневмонии, когда в силу тяжести кровь и транссудат скапливаются в наиболее низко расположенных отделах лёгких. Возникает у пожилых и ослабленных пациентов, длительное время находящихся в вынужденном горизонтальном положении, что является благоприятным фактором в развитии воспалительных изменений.
Этиология:
Гипостатическая пневмония носит характер вторичной пневмонии и возникает у животных, которые длительное время находятся в лежачем положении. У ослабленных, малоподвижных больных (особенно в послеоперационном периоде) гипостатическая пневмония, нередко двухсторонняя, обусловленная нарушением дренажа бронхиального дерева, гиповентиляцией, изменениями гемодинамики. При этом заболевание связано с эндогенной инфекцией (чаще пневмококк или гемофильная палочка).
Это наблюдается после операций, различных заболеваний, при которых необходимо долго находиться без движения в лежачем положении, либо невозможно двигаться (например, тромбоз мозговых сосудов, перенесенные инфаркты и инсульты), болезни конечностей, при которых животное не может стоять, болезни инфекционной и инвазионной природы, острые отравления. Факторы, способствующие развитию гипостатической пневмонии:
*Недостаточное функционирование органов дыхания вследствие длительного клеточного содержания и недостаточного или отсутствующего моцион, в результате чего развивается недостаточное расправление альвеол.
*Гиповитаминозы A, D.
*Микрофлора, населяющая воздухоносные пути и активизирующаяся ослабленном организме (стрептококки, стафилококки, пневмококки, диплококки, сарцины и др.).
Патогенез:
Возникновение заболевания обусловливается низкой естественной резистентностью молодых животных, а отсюда и пониженной сопротивляемостью гипопневматозных и ателектатических участков легких из-за малочисленности мерцательного эпителия на слизистой оболочке воздухоносных путей, что является благоприятной средой для развития условно-патогенной микрофлоры. Длительное лежание слаборазвитого животного, ослабление тонуса поперечнополосатых мышц и гладкой мускулатуры бронх приводят к резкому ослаблению вентиляции легких с уменьшением их дых тельной поверхности и к дальнейшему развитию ателектазов и гипостазов где возникают очаги воспаления.
Причинами застоя могут быть пороки сердца, тяжелые поражения сердечной мышцы и некоторые другие патологические состояния. Чаще всего в основе застоя лежит резко выраженный стеноз левого предсердножелудочкового отверстия.
У ослабленных, малоподвижных больных (особенно в послеоперационном периоде) иногда может развиться гипостатическая пневмония, нередко двухсторонняя, обусловленная нарушением дренажа бронхиального дерева, гиповентиляцией, изменениями гемодинамики. При этом заболевание связано с эндогенной инфекцией (чаще пневмококк или гемофильная палочка), протекает малосимптомно, "перекрывается" явлениями нарастающей астенизации, вялости и при отсутствии активного выявления и лечения может привести к гибели больного.
Так же в качестве патогенетических факторов выступают: нарушение кровообращения в малом круге, плохая вентиляция легких (с развитием краевых ателектазов), снижение сопротивляемости организма под влиянием истощающей основной болезни
В генезе ведущую роль играет не «застой» крови, а нарушение вентиляции, закупорка бронхов слизью.
Симптомы:
Заболевание протекает вяло, «перекрывается» явлениями нарастающей астенизации, вялости. Температура тела, если и повышается, то лишь незначительно - до субфебрильных цифр. Количество отделяемой мокроты невелико. При перкуссии в нижнезадних отделах легких выявляется притупление. Дыхание ослаблено, выслушиваются обильные мелко- и средпепузырчатые хрипы. Лейкоцитоз наблюдается редко, СОЭ обычно не повышена. Клиническая картина часто стертая, диагноз ставится по появлению влажных хрипов.
Рентгеновская семиотика характеризуется рядом дополнительных симптомов, характеризующих гипостатическую пневмонию. Это:
1. Снижение прозрачности базальных отделов легочных полей с одной или обеих сторон. Верхняя граница этих затемнений нечёткая, нижняя – сливается с диафрагмой.
2. Косто - диафрагмальные синусы плохо дифференцируются или вообще не дифференцируются.
3. В плевральных полостях скапливается жидкость (транссудат, экссудат).
Рентгенологическая симптоматология «застойной пневмонии» отображена в таблице № 1.
Таблица № 1.
| № | Скиалогический признак | Характеристика признака |
| 11 | Прозрачность легочных полей |
Снижение прозрачности, вследствие уменьшения воздушности лёгких, развития альвеолярного коллапса, связанного с расширением капилляров и инфильтрацией интерстициальной ткани. |
2 22 2 2 |
Снижение прозрачности (очаговые и фокусные тени) |
На фоне некоторого снижения прозрачности легочной ткани в результате наличия в альвеолах, ацинусах и дольках транссудата и экссудата визуализируются участки снижения прозрачности в виде очагов и фокусных теней размерами от 2 - 3 мм. до 2 – 3 см. и более. |
| 33 | Легочной рисунок | Усилен, обогащен за счет переполнения сосудов кровью и инфильтрации межуточной ткани, на фоне чего определяются узелковые тени. Одиночные или немногочисленные, в базальных отделах линии Керли, напоминающие, так называемые, дисковидные ателектазы. |
| 44 | Распределение теней |
Наибольшее их число в прикорневых отделах, выраженное уменьшение количества - по направлению к периферии |
5 5 |
«Узелки» гемосидерина | При длительном существовании застоя, первоначально в прикорневых отделах, обнаруживаются узелки гемосидерина, что становится отчётливо видно после рассасывания пневмонической инфильтрации. |
6 6 |
Корни лёгких | Тень корней расширена, полнокровна, гомогенизирована. Лимфостаз, инфильтрация клетчатки области ворот лёгких. Тень корней «ветвистая», наружный контур нечеткий. |
7 7 |
Внутригрудные лимфатические узлы | Гиперплазия лимфатических узлов бронхо-пульмональной группы. |
88 |
Плевральная полость |
Выпот – транссудат или экссудат, как правило, с обеих сторон. При значительном накапливании выпота – классическая картина плеврального выпота с косой вогнутой и нечетко очерченной линией Демуазо – Эллис – Соколова. Иногда выпот обнаруживается и в перикарде. |
9 9 |
Конфигурация сердечной тени | Увеличение сердечной тени, конфигурация чаще митральная. |

Рис. 1: Схема гипостатической пневмонии у человека

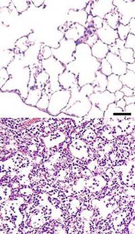
Рис.2. Гипостатическая пневмония. Микрокартина.
Лечение и профилактика:
Наиболее частыми возбудителями пневмонии у урологических больных являются Е. coli, Proteus, Enterococcus, Ps. aeruginosa; у больных бронхолегочной патологией - Klebsiella, Pseudomonas aeruginosa, Enterococcus; у оперированных пациентов - Staph. aureus, E. coli, Proteus, Pseudomonas; у гематологических больных - Е. coli, Klebsiella, Pseudomonas aeruginosa, Staph. aureus.
Лечение очаговых пневмоний. Наиболее эффективны антибиотики (пенициллин, стрептомицин, препараты тетрациклинового ряда, левомицетин), особенно при раннем назначении их. При выборе антибиотика рекомендуется руководствоваться результатами определения чувствительности к нему микробной флоры. Целесообразно применение сульфаниламидов (5—6 г норсульфазола или сульфадимезина, 1 г сульфадиметоксина в сутки). При сухом кашле назначают кодеин, этилморфина гидрохлорид (дионин), банки, горчичники. В стадии разрешения применяют отхаркивающие препараты (термопсис, алтей, ипекакуана), щелочные растворы. Рекомендуется оксигенотерапия. При гриппозной пневмонии применяют противогриппозную поливалентную специфическую сыворотку, Необходима лечебная физкультура, особенно при гипостатических пневмониях, достаточная вентиляция помещения, полноценное питание. При необходимости назначают сердечно-сосудистые средства.
Послеоперационных животных, которые находтся длительное время в лежачем положении рекомендуется переворачивать каждые 2 часа. Это улучшит кровообращение, препятствует образованию пролежней, возникновению экзем и препятствует развитию гипостатичекой пневмонии.
Заключение:
В настоящее время очень часто встречаются различных этиологий пневмонии. Это связанно и с плохим состоянием экологии окружающей среды, и со скученностью животных и людей. В сельском хозяйстве всё чаще применяют привязное содержание животных. Так же наблюдается тенденция к уменьшению площадей пастбищ и выгульных дворов. Для нормального функционирования организма животным необходим активный моцион. Его отсутствие или резкое количественное уменьшение ведет к снижению резистентности организма и возникновению многих внутренних незаразных, акушерско-гинекологических и хирургических заболеваний.
Во избежание возникновения гипостатической (застойной) пневмонии в первую очередь необходимо обеспечить животным хорошую вентиляцию легких. И самый простой, дешевый и рентабельный способ это устроить – обеспечить животным активный моцион круглогодично.
Список используемой литературы:
1. Медицина для всех № 2 (17), 2000 - »» КЛИНИЧЕСКАЯ МИКРОБИОЛОГИЯ И АНТИМИКРОБНАЯ ТЕРАПИЯ
2. www.mirslovarei.com
3. www.stomed.ru
4. www.vikihealth.ru
5. www.allvet.ru
6. www.ogmastudents.narod.ru