| Скачать .docx | Скачать .pdf |
Реферат: Ультразвуковая диагностика внематочной беременности
Содержание:
1. Введение …………………………………………………………………..2
2. Классификация внематочной беременности…………………………….3
3. Трубная беременность…………………………………………………….3
4. Шеечная, брюшная, яичниковая, в замкнутом рудиментарном роге беременности……………………………………………………………..10
5. Дифференциальный диагноз внематочной беременности………….....13
6. Заключение……………………………………………………………….14
7. Литература………………………………………………………………..16
Внематочная (эктопическая) беременность – беременность, при которой имплантация плодного яйца происходит вне полости матки.
Частота внематочной беременности имеет стойкую тенденцию к росту во многих странах мира, в нашей стране она составляет от 1,3 до 6 % от общего числа больных в гинекологических стационарах, а в структуре причин материнской смертности занимает 7,4 %. В последние годы отмечается рост заболеваемости среди подростков и женщин 30-39 лет.
На сегодняшний день известны различные факторы, влияющие на возникновение эктопической беременности, которые приводятся далее.
Факторы риска аномальной нидации плодного яйца:
1. Воспалительные процессы малого таза , несмотря на значительные успехи современной терапии, остаются одной из основных причин. Среди факторов немаловажная роль принадлежит инфекциям, передающихся половым путем. При этом особое внимание отводится хламидиозу. Антихламидийные антитела выявляются у 64 – 83 % больных с внематочной беременностью.
2. Применение контрацептивов. Роль применения внутриматочного контрацептива в возникновении эктопической беременности неоднозначна. По некоторым данным, 18-20 % больных с внематочной беременностью до поступления в стационар использовали внутриматочный контрацептив. Использование гормональных контрацептивов также повышает риск эктопической беременности.
3. Реконструктивно-пластические операции на маточных трубах. Успехи таких операций в первую очередь определяются функциональным состоянием эндосальпинкса. Поэтому даже при использовании новейших методов хирургии, достаточно часто (до 25 %) внематочная беременность обнаруживается у больных, перенесших оперативное вмешательство на маточных трубах.
4. Экстракорпоральное оплодотворение (ЭКО). Первая беременность, наступившая вследствие ЭКО в 1976 г., была эктопической. До сих пор эта патология считается одним из самых грозных осложнений ЭКО, вероятность которой составляет 5,8-10,6 %, а частота гетеротопической – 1,9 %.
5. Опухоли и опухолевидные образования яичников. Изменение топографического положения органов малого таза опухолью или опухолевидным образованием яичников приводит к сдавлению просвета трубы, и, следовательно, нарушает ее транспортную функцию. Кроме этого, опухоли яичников могут сопровождаться нарушением секреции половых гормонов, что также отражается на функциональной активности труб.
6. Эндометриоз. Патогенез внематочной беременности при эндометриозе основывается на нарушениях взаимосвязи в системе гипоталамус – гипофиз – яичники – матка + органы-мишени и/или нарушениях синтеза простагландинов, в результате которых изменяется транспортная функция маточных труб.
7. Нарушение синтеза простагландинов. Основными механизмами действия простагландинов на маточные трубы являются процессы сокращения и расслабления мышечных волокон яйцеводов, регулирующие транспорт оплодотворенной яйцеклетки. Физиологическая регуляция транспортной функции трубы определяется соотношением ПГЕ/ ПГF2, при нарушении которого имеется вероятность нидации бластоцисты в маточной трубе.
8. Половой инфантилизм. Для полового инфантилизма характерны длинные, извитые, с уменьшенным просветом фаллопиевы трубы, что в сочетании с гормональными нарушениями, приводит к изменению их функциональной активности.
9. Эндокринные заболевания сопровождаются нарушениями в системе гипоталамус – гипофиз – яичники – матка + органы-мишени.
Классификация эктопической беременности основана на локализации плодного яйца:
· Трубная беременность – до 98,5 %, притом, что ампулярный отдел поражается в 43-92 %, истмический – в 13-40 %, интерстициальный – в 2-2,8%;
· Яичниковая беременность – 0,1-1,3 %;
· Шеечная беременность – 0,1-0,4 %;
· Брюшная беременность – 0,1-0,9 %;
· Интралигаментарная беременность – 0,1 %;
· Беременность в рудиментарном роге – 0,2-0,9 %;
· Гетеротопическая беременность.
Трубная беременность
Возможны 4 варианта клинического течения трубной беременности:
1) прогрессирующая трубная беременность;
2) беременность, прервавшаяся по типу трубного аборта;
3) беременность, прервавшаяся по типу разрыва трубы;
4) неразвивающаяся трубная беременность.
Эхографические признаки эктопической беременности следующие:
- Достоверный признак: обнаружение вне полости матки плодного яйца с живым эмбрионом (плодом).
- Косвенные признаки:
· визуализация в проекции придатков матки гетерогенного образования, имеющего различную форму и размеры;
· отсутствие маточной беременности;
· увеличение размеров матки при отсутствии органических изменений миометрия или маточной беременности;
· утолщение срединного м-эха в результате стимуляции эндометрия прогестероном (децидуальная реакция);
· обнаружение ложного плодного яйца в полости матки;
· выявление свободной жидкости в углублениях малого таза;
· обнаружение киты желтого тела;
· зона гиперваскуляризации в придатковом образовании.
Ультразвуковая диагностика прогрессирующей эктопической беременности возможна в 5-29 % наблюдений. По мнению Е.В. Флоренсовой, столь большой разброс связан с данными, полученными из стационаров, куда попадают больные с клиническими признаками прерывания беременности, а также амбулаторных лечебных учреждений, где обследуются пациентки с минимальными клиническими проявлениями. По данным авторов, 76 % случаев внематочной беременности были выявлены врачами УЗД до обращения больных к гинекологу.
Диагностика достоверного признака развивающейся эктопической беременности основывается на обнаружении за пределами полости матки плодного яйца с эмбрионом, у которого имеются признаки жизнедеятельности: кардиальная пульсация, двигательная активность. Учитывая, что свыше 90 % случаев занимает трубная беременность, то для выявления обследуют область в проекции придатков, те есть от трубных углов тела матки, по ее заднебоковым поверхностям, к боковым стенкам малого таза и позадиматочное пространство. Таким образом, будут исследованы зоны возможной локализации трубной беременности интерстициального, перешеечного, ампулярного отделов, а также такие редкие места расположения как беременность в рудиментарном роге и интралигатурная.
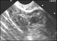
Обнаружение патологического образования в проекции придатков является наиболее точным из всех косвенных признаков. Данное образование представляет собой трубу с плодовместилещем. В тех случаях, когда имеется прогрессирующая трубная беременность малого срока, в просвете маточной трубы определяется полость амниона округло-овальной формы, внутри которой можно визуализировать желточный мешок в виде кольцевидной структуры. Особенностью визуализации плодного яйца в маточной трубе является хорошо определяемый хорион, который окружает полость амниона по периферии в виде ткани солидной структуры. Такая отчетливая визуализация хориона объясняется разной эхогенностью тканей. Если в полости матки трофобласт и эндометрий имеют одинаковые эхографические характеристики, то в просвете трубы, где слизистая очень тонкая, хорион хорошо определяется как зона повышенной эхогенности на гипоэхогенном фоне мышечного слоя стенки. Дополнительным эхогрфическим признаком является отсутствие связи выявленного образования с маткой и яичником, для чего помогает исследование имитации двуручного исследования. Применять этот прием следует очень осторожно, помня, что при форсированных движениях возможен разрыв трубы. Более щадящим методом, однако, менее надежным является глубокий вдох и выдох пациенткой, при котором происходит смещение внутренних органов.
|
|
||||||||
|
|
||||||||
Исключение внематочной беременности при наличии маточной может быть причиной ошибки диагностики гетеротопической беременности, которая встречается в 0,02 %, поэтому даже при обнаружении плодного яйца в полости матки необходимо внимательно обследовать область придатков.
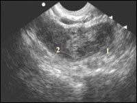
Увеличение размеров неизмененной по структуре матки при эктопической беременности отмечается в среднем у 20-30 % пациенток.
Децидуальная реакция представляет собой эндометрий повышенной эхогенности, переднезадний размер которого составляет 12-24 мм и четко отграниченный от миометрия. Кроме того, встречаются мелкие кистозные включения, преимущественно в проекции базального слоя. Утолщение М-эха при внематочной беременности встречается только в 14-27,8 % случаев, кроме этого, имеется идентичное эхографическое изображение гиперплазии эндометрия, что требует дифференциальной диагностики. В 33 % случаев отмечается толщина эндометрия до 3 мм и эхографическое изображение срединного комплекса, характерное для фазы регенерации.
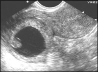
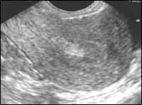
| Рисунок 5 |
|
|
| Эхокартина внематочной беременности |
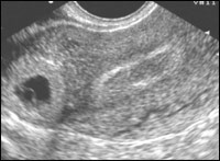
Ложное плодное яйцо – редко встречающийся признак, визуализируется как анэхогенное включение в полости матки, симулирующее полость амниона. Появление ложного плодного яйца связывают с гиперсекрецией трубчатых желез эндометрия или локальным скоплением крови в полости матки. Дифференциальная диагностика истинного и ложного плодовместилища основывается на его расположении в полости матки, форме и размерах, которые не соответствуют сроку гестации. Кроме того, ложное плодное яйцо визуализируется на границе смыкания стенок эндометрия, в то время как истинное плодное яйцо локализуется в толще какой либо стенки. В сроке 4-5 недель от дня последней менструации в истинном плодном яйце идентифицируется желточный мешок и элементы децидуальной оболочки, а в сроке 5-6 недель – определяется также эмбрион с признаками жизнедеятельности (табл. 1).
| Рисунок 6 |
|
|
| Эхокартина внематочной беременности |
Таблица 1. Дифференциально-диагностические признаки истинного и ложного плодного яйца в полости матки
| Признак |
Ложное плодное яйцо |
Истинное плодное яйцо |
| Локализация Форма Гиперэхогенный комплекс Размеры Желточный мешок Эмбрион Периферическая васкуляризация |
Между листками слизистой Овальная, неопределенная Нет Не соответствуют сроку Нет Нет Отсутствует |
В толще слизистой Округло-овальная + Соответствует сроку + + + |
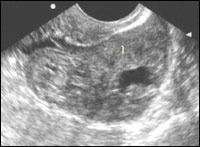
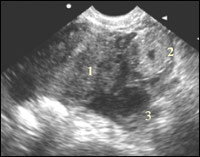
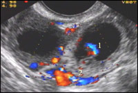
В ряде случаев трубная беременность сопровождается образования кист желтого тела. По данным А.Н. Стрижакова, они встречаются у каждой шестой больной с эктопической беременностью.
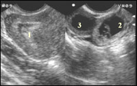
| Рисунок 7 |
|
|
|
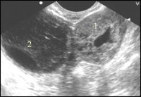
Рисунок 8 |
| Эхокартина внематочной беременности |
|
| Эхокартина внематочной беременности |
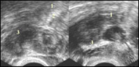
Диагностическая значимость эхографических признаков трубной беременности представлена в табл. 2.
Таблица 2. Эхографические критерии внематочной беременности
| Признак |
Чувствитель-ность, % |
Специфич-ность, % |
| Плодное яйцо с желточным мешком или эмбрионом Округлое включение в проекции маточной трубы Неоднородное образование, расположенное отдельно от яичника Обнаружение жидкости Умеренное или большое количество свободной жидкости Эхогенные включения в жидкости Кисты в эндометрии |
8-34 40-68 89-100 46-75 29-63 56 21 |
100 100 92-99 69-83 21-96 96 92 |
В случаях отсутствия достоверного признака эктопической беременности необходимо найти сумму косвенных, и чем больше их обнаружено, тем точнее диагностика.
В практической работе часто приходится сталкиваться с прервавшейся беременностью. Если произошел разрыв трубы, то образуется конгломерат, примыкающий к заднебоковой поверхности матки, состоящий из разорвавшейся трубы, плодовместилища, сгустков крови и геморрагического содержимого, а также петель кишечника и сальника. Патогномоничных эхографических признаков данного состояния нет, во многом ультразвуковое изображение зависит от степени выраженности и длительности кровотечения, давности прерывания, срока беременности, наличия или отсутствия спаечного процесса. Прерывание по типу трубного аборта эхографически не отличается от разрыва трубы.
При нарушенной трубной беременности в проекции маточной трубы обнаруживается образование с нечеткими, неровными контурами и гетерогенной, кистозно-солидной структуры, часто в общем конгломерате с яичником.
Трубная беременность, особенно прервавшаяся, в 60 % случаев приводит к появлению свободной жидкости в малом тазу, а при кровотечении свыше 300-400 мл позволяет констатировать не только трубы, но и связочный аппарат матки и яичников. Геморрагическая жидкость при ультразвуковом исследовании имеет рассеянные эхогенные включения различного размера, а сгустки крови визуализируются как образования неправильной формы и повышенной эхогенности. Однако необходимо учитывать возможность скопления жидкости в околоматочном пространстве в результате других патологических или физиологических процессов (экссудат при воспалении внутренних половых органов или апоплексии кист яичников, а также овуляторная жидкость). Этот эхографический признак имеет значение только в сочетании с другими ультразвуковыми признаками внематочной беременности.
Нарушения развития трубной беременности может влиять на изображение срединного комплекса матки. При неразвивающейся или прервавшейся беременности в 10-61 % случаев имеется расширение полости матки за счет гематометры и фрагментов гравидарного эндометрия.
|
|
||||||
|
|
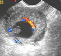
Используя методику цветового картирования, в придатковом образовании определяется зона гиперваскуляризации, которая представляет собой трофобластический кровоток, отражающий интенсивное кровоснабжение эктопического эмбриона. Частота определения кровотока составляет 80-92 % случаев. Отсутствие визуализации трофобластического кровотока наблюдается при диаметре плодного яйца менее 10 мм или при прерывании беременности в малом сроке. По мере роста плодного яйца и пенетрации ворсин хориона в стенку маточной трубы начинает регистрироваться периферический кровоток с нарастающей интенсивностью, а в акушерском сроке беременности более 6 недель, имеется замкнутое кольцо из цветовых локусов.
Трофобластический артериальный кровоток при прогрессирующей трубной беременности характеризуется высокой конечно-диастолической скоростью, при этом отмечается низкорезистентный тип кривой скорости кровотока с тенденцией снижения численных значений ИР по мере увеличения срока беременности, показатели которых составляют 0,35-0,53.
|
|
||||||
|
|||||||
При неразвивающейся трубной беременности в зоне хориона регистрируется обеднение сосудистого рисунка вплоть до единичных цветовых локусов, преимущественно за счет венозных сосудов, однако, артериальные сосуды имеют ИР от 0,36 до 0,53, что характерно для трофобластического кровотока при прогрессирующей беременности.
Данные цветового картирования и допплерографии позволяют планировать объем и метод оперативного лечения, а также вовремя диагностировать персистенцию трофобласта после органосохраняющих операциях на трубах.
Сочетание всех косвенных ультразвуковых признаков в совокупности с данными ЦДГ значительно повышает вероятность правильного диагноза, приближаясь к 97-99%. Однако в практической работе не всегда удается обнаружить достаточно эхографических данных. Поэтому при подозрении на эктопическую беременность необходимо качественное (тетс-полоска) или количественное (лабораторное) определение хорионического гонадотропина, после чего решать вопрос о целесообразности динамического ультразвукового наблюдения.
Одной из разновидностей трубной беременности является интерстициальная, когда нидация происходит в межмышечном отделе маточной трубы.
При ультразвуковом исследовании плодное яйцо визуализируется в толще миометрия в проекции одного из маточных углов.
Шеечная, брюшная, яичниковая, в замкнутом рудиментарном роге беременности
Шеечная беременность характеризуется нидацией плодного яйца в цервикальном канале, дистальнее области внутреннего зева. Если плодное яйцо имплантируется в шейке и области перешейка, то такая локализация называется шеечно-перешеечной.
Факторы, предрасполагающие к развитию шеечной беременности следующие:
· Дистрофические изменения эндометрия (травматические повреждения во время абортов, диагностических выскабливаний, синехии, эндометрит).
· Длительное использование внутриматочных контрацептивов.
· Эндометриоз.
· Субмукозная миома.
· Аномалии развития матки.
· Консервативное лечение шеечной беременности.
· Изменение способности плодного яйца к нидации.
Эхографическими признаками шеечной беременности являются:
- визуализация плодного яйца с трофобластом в цервикальном канале;
- гравидарная реакция эндометрия;
- увеличение размеров шейки матки;
- отрицательный симптом «скольжения».
Плодное яйцо, расположенное в цервикальном канале, имеет овоидную форму в связи с ригидностью мышечного слоя, а также отсутствием выраженной децидуальной реакции слизистой шейки матки.
Гравидарная реакция эндометрия, вероятно, и как при трубной беременности, выявляется не всегда. Имеется сообщение о расширении полости матки до 1-2 мм за счет анэхогенного содержимого при шеечной беременности.
Симптом «скольжения» позволяет выявить подвижность плодного яйца в цервикальном канале и тем самым дифференцировать неполный аборт и шеечную беременность. Для этого необходимо осторожно надавить на шейку матки ТВ датчиком, одновременно наблюдая за стенками цервикального канала и плодным яйцом. В случае шеечной беременности плодовместилище по отношению к стенкам канала неподвижно.
При оценке границ полости амниона и зоны хориона в сроках, превышающих 5-6 недель, можно определить место инвазии трофобласта. Показатели цветового картирования и спектральной допплерометрии не зависят от локализации беременности. В отличие от хирургической тактики прежних лет, в последние годы все чаще прибегают к разным видам органосохраняющих операций на шейке матки с целью сохранения репродуктивной функции женщины. Однако успех операций напрямую зависит от срока беременности, так как толщина непораженного мышечного слоя для этих методах должна быть более 5 мм.
Брюшная беременность может возникнуть вследствие имплантации плодного яйца на висцеральном или париетальном листках брюшины (первичная брюшная беременность), либо вследствие трубного аборта (вторичная брюшная беременность).
Считается, что риском возникновения брюшной беременности является длительное вторичное бесплодие.
Возможности эхографии в диагностике зависят от топографии имплантации. При первичной брюшной беременности плодное яйцо локализуется в области передней брюшной стенки, сальника, брыжейки кишечника, печени, селезенки, а при вторичной – широкой связки матки, крестцово-маточных связок, наружной поверхности матки. При вторичной брюшной беременности имеется возможность обнаружения эмбриона в I триместре, однако, эхографические признаки не отличаются от таковых при трубной беременности. Имеется описание случая диагностики брюшной беременности в 11 недель гестации, которая была расположена в полости малого таза. Визуализация плодного яйца, расположенного в брюшной полости, маловероятна. Как правило, диагностируется брюшная беременность во II триместре.
Эхографическими признаками брюшной беременности являются:
- выраженное маловодие;
- атипичное (высокое) расположение плода;
- утолщение плаценты;
- нечеткий и неровный контур плаценты;
- отсутствие изображения стенки матки;
- задержка развития плода;
- аномалии развития плода;
- гемоперитонеум.
А.Н. Стрижаков и соавт. сообщают, что, согласно статистическим данным, в 35-75 % случаев возникают такие аномалии развития плода как гипоплазия легких, аномалии лица, что, возможно, связано с маловодием.
Прогноз для развития беременности неблагоприятный, чаще всего возникают опасные для жизни матери кровотечения вследствие инвазии сосудов плаценты в стенки паренхиматозных органов, кишечника и магистральных сосудов брюшной полости, поэтому при выявлении брюшной беременности производят срочное родоразрешение. Материнская смертность при этом виде эктопической беременности достигает 20 %, а перинатальная – 80-91 %.
Интралигаментарная беременность развивается между листками широкой связки матки и имеет те же эхографические признаки, что и брюшная беременность.
Яичниковая беременность возникает при оплодотворении яйцеклетки непосредственно в яичнике (первичная) или вследствие трубного выкидыша путем повторной имплантации (вторичная).
Факторами риска считаются перенесенные воспалительные заболевания органов малого таза, применение стимуляторов овуляции, внутриматочные контрацептивы.
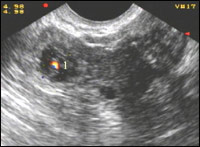
Эхографическая диагностика яичниковой беременности ранних сроков не возможна, так как плодное яйцо, желточный мешок симулируют фолликул или желтое тело. Не помогает применение цветового картирования и ДГ в связи с тем, что в сроке до 5 недель беременности область хориона аваскулярна, а гиперваскуляризация и низко-резистентный тип кровотока характерны как для трофобластического кровотока, так и для желтого тела.
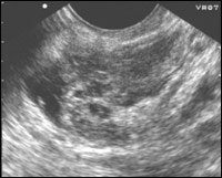
| Рисунок 16 |
|
|
| Эхокартина внематочной беременности |
Как правило, этот вид эктопической беременности остается нераспознанным в связи с апоплексией и кровотечением на ранних сроках. Если беременность прогрессирует, то ультразвуковая диагностика возможна только при визуализации эмбриона, что встречается довольно редко или при обнаружении в плодном яйце желточного мешка в совокупности с данными хорионического гонадотропина.
Беременность в замкнутом рудиментарном роге возникает вследствие транперитонеальной миграции оплодотворенной яйцеклетки или сперматозоида. Развитие беременности в замкнутом рудиментарном роге рано приводит к его разрыву в связи со значительным дефектом строения эндометрия и выраженной гипоплазией миометрия. Однако имеется эхографическое описание двух случаев прогрессирующей беременности в сроке 11-12 недель, подтвержденных с помощью магнитно-резонансной томографии.
Дифференциальный диагноз внематочной беременности
Прогрессирующую эктопическую беременность следует дифференцировать с маточной беременностью малого срока. Эхографию на первой неделе задержки менструации следует провести всем женщинам, имеющим повышенный риск на внематочную беременность. К факторам риска относятся:
· беременность, наступившая вследствие ЭКО;
· реконструктивно-пластические операции на трубах и шейке матки;
· длительное бесплодие;
· аномалии развития внутренних половых органов;
· применение внутриматочной или гормональной контрацепции;
· опухоли или опухолевидные заболевания яичников;
· эндометриоз и миома матки;
· эндокринные нарушения;
· перенесенные воспалительные заболевания органов малого таза.
При ТВ сканировании диагностика маточной беременности возможна с 4-5 недель от дня последней менструации, когда диаметр плодного яйца составляет 2-4 мм. в сроке 5-6 недель беременности визуализируется эмбрион, копчико-теменной размер которого составляет 4-5 мм, а кардиальная пульсация начинает определяться с 6 недель, что можно зафиксировать с помощью допплерографии. Обнаружение живого эмбриона в полости матки является достоверным признаком маточной беременности.
С целью исключения гетеротопической беременности, особенно у женщин после ЭКО, несмотря на наличие эмбриона в полости матки, необходимо обследовать область придатков.
В связи с полиморфностью тубоовариального конгломерата при прервавшейся внематочной беременности, дифференциальный диагноз следует проводить со следующими заболеваниями:
· апоплексией яичника или кисты;
· перекрутом яичника (кисты) или маточной трубы;
· кистой желтого тела;
· доброкачественными и злокачественными опухолями яичников;
· тубоовариальным образованием воспалительной этиологии;
· субсерозной миомой матки с явлениями нарушения питания;
· аппендицитом.
При обнаружении патологического образования в проекции придатков у женщины репродуктивного возраста врач ультразвуковой диагностики всегда должен исключить внематочную беременность.
Дифференциальный диагноз между апоплексией киты яичника и прервавшейся трубной беременностью можно провести в том случае, если имеются такие признаки эктопической беременности как увеличение размеров матки и децидуальная реакция эндометрия.
При перекруте кисты яичника ровный контур правильного по форме образования может отличить нарушенную трубную беременность, при которой отмечается нечеткий и неровный контур образования неправильной формы. Эти же дифференциально-диагностичекие признаки помогают исключить функциональные кисты и доброкачественные опухоли яичников, субсерозную миому матки. За исключением кисты желтого тела остальные перечисленные заболевания при цветовом картировании и ДГ не дают гиперваскуляризации с низко-резистентным типом кровотока. Киста желтого тела, имеющая аналогичные допплерометрические характеристики с трофобластическим кровотоком, не влияет на менструальный цикл и, соответственно, отсутствует основной клинический признак – задержка менструации.
Наибольшие трудности возникают при дифференциальной диагностике нарушенной трубной беременности с тубоовариальными образованиями воспалительного генеза, так как эхографические признаки придатковых образований в этих случаях идентичные. Не помогают и данные изменений эндометрия, которые имитируют эндометрит. В этих случаях единственным ультразвуковым критерием являются статистические достоверные данные ИР, показатели которого при трубной беременности имеют средние значения 0,42±0,04, а при воспалительном процессе – 0,64±0,04.
Если имеется правостороннее патологическое образование, то его необходимо дифференцировать с аппендицитом. Для его идентификации можно использовать имитацию двуручного исследования, которое должно проводиться осторожно.
Заключение
Несмотря на возможности, ультразвуковая дифференциальная диагностика эктопической беременности остается чрезвычайно сложной проблемой и при подозрении на нее необходимо определение хорионического гонадотропина. К лабораторным показателям также надо относиться критически, не забывая о хорионпродуцирующих опухолях. Таким образом, только комплексная оценка клинических симптомов, лабораторных данных и ультразвуковых признаков позволяет избежать ошибок, которые могут стоить пациентам жизни.
Литература:
1. Демидов В.Н., Зыкин Б.И. Ультразвуковая диагностика в гинекологии. – М.: Медицина, 1990.
2. Буланов М.Н. Ультразвуковая диагностика в гинекологической практике. CD – М. 2002.
3. Федорова Е.В., Липман А.Д. Применение цветового доплеровского картирования и допплерометрии в гинекологии. – М.: Видар-М, 2002.
4. Акушерство и гинекология. Пер. с англ. / Под ред. Г.М. Савельевой, Л.Г. Сичинава. – М.: ГЭОТАР Медицина 2009.
5. Стрижаков А.Н., Давыдов А.И., Шахламова М.Н., Белоцерковцева Л.Д. Внематочная беременность. – М.: Медицина, 2001.
6. Озерская И.А. Эхография в гинекологии. – М.: Медика, 2005.















