| Скачать .docx | Скачать .pdf |
Реферат: Значение и возможности ангиографии при неотложных состояниях
МОСКОВСКИЙ ГОСУДАРСТВЕННЫЙ МЕДИКО-СТОМАТОЛОГИЧЕСКИЙ УНИВЕРСИТЕТ
Кафедра лучевой диагностики
Заведующий кафедрой:д.м.н., профессор, член-корр. РАМН Васильев А.Ю.
Преподаватель: Перова Наталия Геннадьевна
ЗНАЧЕНИЕ И ВОЗМОЖНОСТИ АНГИОГРАФИИ
ПРИ НЕОТЛОЖНЫХ СОСТОЯНИЯХ.
Выполнил: студентка 20 группы
4 курса лечебного факультета
Солошенко Ольга Павловна
Москва
2009г
ОГЛАВЛЕНИЕ
1. АНГИОГРАФИЯ, ОБЩЕЕ ОПИСАНИЕ МЕТОДА……………………………………3
2. ЦЕРЕБРАЛЬНАЯ АНГИОГРАФИЯ……………………………………………………...4
3. КОРОНАРОГРАФИЯ……………………………………………………………………….6
4. ПУЛЬМОАНГИОГРАФИЯ………………………………………………………………...8
СПИСОК ЛИТЕРАТУРЫ……………………………………………………………………11
Ангиография – это метод рентгенологического исследования сосудов (артерий, вен, лимфатических путей), позволяющее определить место сужения или закупорки сосуда, место и степень патологического расширения сосудов (аневризма), наличие внутреннего кровотечения, степень распространения опухолевого процесса и другие болезни, которые выявить другим путем не удается. Исследование выполняется путем введения в сосуд специального контрастного вещества и одновременного выполнения рентгеноскопического исследования. Основным компонентом рентгеноконтрастных веществ, используемых для ангиографии, является йод.
Цель ангиографии
Метод ангиографии применяется для выявления патологии кровеносных сосудов (артерий, вен, лимфатических путей), что включает сужение сосудов (стеноз) или их закупорку (окклюзию). Данный метод чаще всего применяется для выявления атеросклеротических изменений в сосудах, в диагностике заболеваний сердца, оценки функции почек и выявления в них кист и опухолей, для выявления аневризм – патологических расширений сосудов, опухолей, тромбов, артериовенозных шунтов (патологический сращений артерии и вены) в головном мозге, а также для диагностики заболеваний сетчатки глаза. Кроме того, ангиография применяется как метод предоперационного исследования перед хирургическими вмешательствами на открытом сердце и головном мозге. Помимо перечисленного, ангиография нашла свое применение в диагностике места повреждения сосуда при ножевых и огнестрельных ранениях. В зависимости от целей исследования проводят общую или избирательную (селективную) ангиографию. При общей ангиографии контрастируют все основные сосуды изучаемой области, при селективной — отдельные сосуды.
Ангиографию выполняют только после общеклинического обследования и лишь в тех случаях, когда с помощью неинвазивных методов не удаётся диагносцировать болезнь и предполагается, что на основании картины сосудов или изучения кровотока можно выявить поражение собственно сосудов или их изменения при заболеваниях других органов. Но нужно помнить, что ангиография – инвазивное исследование, связанное с возможностью осложнений и с довольно значительной лучевой нагрузкой.
Накануне перед ангиографией пациент прекращает прием пищи. Если прокол намечается в области паховой складки или в подмышечной области. То может потребоваться бритье в этой области. Обычно для процедуры ангиографии не требуется анестезия, назначается седативный препарат (успокаивающее). До проведения ангиографии пациенту обязательно проводится аллергическая проба на контрастное вещество, которое ему будут вводить. Для этого в кожу пациента на руке вводится 0,1 мл контраста, после чего проводится наблюдение за местом вкола и общим состоянием пациента.
Непосредственно перед самой ангиографической процедурой пациенту устанавливается внутривенная система (капельница), в случае если во время процедуры понадобится вводить определенные препараты.
Место вкола обрабатывается антисептическим раствором и обезболивается местным анестетиком. Далее делается маленький кожный разрез для облегчения проведения иглы. В центре иглы для ангиографии имеется так называемый стилет – трубка, плотно заполняющая просвет иглы. После того, как игла введена в сосуд, врач вынимает из не стилет и вводит в ее просвет специальный проводник.
Через иглу проводник вводится до того места, где необходимо выполнять ангиографию. Это процесс контролируется на специальном рентгеновском мониторе. Как только проводник оказывается в нужном месте, игла, через которую он вводился, удаляется и на проводник продевается катетер, до места исследования. после чего проводник тоже удаляется.
В зависимости от типа проводимой ангиографии, контрастное вещество вводится либо шприцом вручную, либо специальным прибором. Чаще сего используется специальный прибор. Перед использованием такого прибора врач непосредственно сам вводит небольшое количество контраста, чтобы убедиться в том, что катетер стоит в соответствующем месте. Пациента предупреждают, что сейчас ему будут вводить контраст, и он должен сохранять спокойствие. Во время ведения контраста могут встречаться такие побочные эффекты, как головная боль, головокружение, сердцебиение, тошнота, приливы и боль в грудной клетке, но они, обычно, быстро проходят. Чтобы увидеть в разных ракурсах участок сосуда, пациента просят несколько раз поменять положение, иногда могут потребоваться дополнительные инъекции.
Во время процедуры ангиографии делается серия рентгенологических снимков. Вводимый раствор контрастного вещества быстро растворяется в кровеносном русле ввиду высокой скорости кровотока. Поэтому снимки должны делаться быстро. Во многих центрах при ангиографии применяется цифровая съемка. Это позволяет обрабатывать изображения на компьютере.
После окончания процедуры ангиографии катер осторожно удаляется. Место прокола прижимается пальцем, после чего на это место ставится мешочек с песком на 10-2 минут, чтобы не образовалась гематома. После чего накладывается давящая повязка на сутки.
Вышеописанный метод проведения ангиографии изменяется в зависимости от исследуемого органа.
Ограничения использования ангиографии
У пациентов с заболеваниями почек имеется риск отрицательного влияния рентгеноконтраста на их функцию. Метод ангиографии может быть противопоказан также пациентам с нарушениями свертывания крови, при наличии у них аллергических реакций на контрастное вещество или на йод. В настоящее время выпускаются новые типы контрастных веществ, не содержащих йода и имеющих меньшую частоту побочных аллергических реакций.
Ввиду того, что облучение ионизирующей радиации неблаготворно влияет на плод, ангиография не рекомендуется беременным женщинам
К неотложным состояниям относятся заболевания, угрожающие жизни и требующие незамедлительной диагностики и лечения. В данном реферате рассмотрены заболевания головного мозга, легких, сердца, которые можно диагностировать и лечить с помощью ангиографии.
Церебральная ангиография
Церебральная ангиография подразумевает применение рентгеноконтрастных веществ для получения изображения церебральных сосудов. Контрастное вещество обычно вводят в бедренную, сонную или плечевую артерию. Чаще всего пунктируют бедренную артерию, так как это позволяет контрастировать сразу 4 сосуда: 2 сонные и 2 позвоночные артерии. Исследование показано в тех случаях, когда результаты КТ и магнитно-резонансной томографии (МРТ) головного мозга, магнитно-резонансной ангиографии или спинномозговой пункции позволяют предположить поражение церебральных сосудов.
Цель
- Диагностировать поражение церебральных сосудов, включая аневризмы, артериовенозные мальформации, тромбоз, сужение, окклюзию.
- Выявить спазм сосудов и их смещение, обусловленное внутричерепной опухолью, гематомой, отеком головного мозга, вклинением его структур, повышением ВЧД или гидроцефалией.
- Оценить локализацию клипсов, наложенных на сосуды головного мозга во время операции, и состояние самих сосудов в послеоперационном периоде.
Оборудование
Контрастное вещество, автоматический инжектор для введения контрастного вещества; рентгеновский аппарат, позволяющий делать серийные снимки в 2 проекциях, иглы для пункции артерии (18-го или 19-го калибра длиной 6,25 см для взрослых и 20-го калибра длиной 3,75 см для детей), артериальные катетеры (для введения контрастного вещества в бедренную артерию).
Меры предосторожности
- Выполнение церебральной ангиографии противопоказано пациентам с заболеваниями печени, почек и щитовидной железы.
- Исследование также противопоказано при непереносимости йода и рентгеноконтрастных веществ.
- Если пациент ежедневно получает аспирин или антикоагулянты, необходимо особенно тщательно накладывать давящую повязку на место пункции артерии. В некоторых случаях прием антикоагулянтов необходимо прекратить за 3 дня до исследования.
Предостережение. Место пункции необходимо регулярно осматривать для своевременного выявления гематомы или кровотечения. При развитии этих осложнений следует немедленно уведомить врача.
Виды церебральной ангиографии
Ангиография внутренней сонной артерии (каротидная ангиография) применяется при диагностике патологических процессов в больших полушариях головного мозга. Ее выполняют путем чрескожной пункции общей сонной артерии на шее, либо посредством катетеризации через бедренную артерию.
Для распознавания патологических процессов в области задней черепной ямки исследуют сосуды вертебробазилярной системы (вертебральная ангиография) путем катетеризации позвоночной артерии.
Селективная тотальная церебральная ангиография осуществляется катетеризационным методом, поочередно контрастируют все сосуды, участвующие в кровоснабжении головного мозга. Метод обычно показан больным, перенесшим субарахноидальное кровоизлияние, для обнаружения источника кровотечения (как правило, артериальной или артериовенозной аневризмы).
Суперселективную церебральную ангиографию (катетеризацией отдельных ветвей средней, задней или передней мозговой артерий) обычно применяют для выявления поражений сосудов и для выполнения эндоваскулярных вмешательств (например, установка окклюзирующего баллона в афферентном сосуде аневризмы для ее выключения из кровообращения).
Виды внутрисосудистой эмболизации.
1. Эмболизация в потоке (неуправляемая).
2. Стационарная баллон-окклюзия питающих артерий СМ.
3. Комбинация временной или постоянной баллон-окклюзии с эмболизацией в потоке.
4. Суперселективная эмболизация или тромбирование АВМ. (N-бутилцианоакрилат (Hystoacryl) + жирорастворимое контрастное вещество). Рис.1.
![]() |
![]() |
Рис.1 Ангиограмма больной с аневризмой левой височной доли до операции. |
Контрольная ангиограмма той же больной после эмболизации |
Нормальная картина
Во время артериальной фазы ангиографии контрастируются поверхностные и глубокие церебральные артерии и артериолы, во время венозной фазы - поверхностные и глубокие вены. При нормальном (симметричном) сосудистом рисунке результаты оценивают с учетом анамнеза и клинической картины.
Отклонение от нормы
Изменение диаметра и просвета сосуда могут быть обусловлены его спазмом, наличием атеросклеротической бляшки, артериовенозного свища, артериовенозной мальформации или артериосклероза. Обеднение кровотока может быть следствием развития ВЧГ. Смещение сосудов позволяет судить о наличии опухоли или отека головного мозга, размерах объемного образования или нарушении оттока спинномозговой жидкости. Церебральная ангиография позволяет получить изображение сосудов, кровоснаб-жающих опухоль, и уточнить ее локализацию и происхождение. По изменению архитектоники ветвей наружной сонной артерии можно судить о наличии вне-мозговых опухолей, чаще всего менингиомы, которая может располагаться как вне, так и в пределах больших полушарий.
Факторы, влияющие на результат исследования
- Смещение головы во время проведения исследования (плохое качество снимков).
- Невозможность удаления металлических объектов из зоны облучения (плохое качество снимков).
Коронарная ангиография – это малоинвазивная процедура, которая проводится как с диагностической, так и лечебной целью. Метод коронарной ангиографии был представлен в конце 1950-х годов, и впервые применен на практике в 1960 году Соунсом и Шайри. Открытие метода коронарной ангиографии произошло случайно детским кардиологом Соунсом из клиники Кливленда, когда он ввел рентгеноконтрастное вещество в коронарную артерию вместо левого желудочка.
Коронарная ангиография является одной из процедур в кардиохирургии. Этот метод позволяет визуализировать такие изменения коронарных сосудов, как закупорку, сужение, повторное сужение, тромбоз или аневризматическое расширение просвета этих сосудов. Закупорка просвета артерий приводит к возникновению инфаркта миокарда, который может быть остановлен (в условиях специально оборудованного стационара) благодаря применению тромболитической терапии (рис.2) и/или установки стента (рис.3). Сейчас простая процедура коронарной катетеризации занимает не более 5-8 минут, при частоте осложнений 0,1%. Стентирование - весьма эффективный метод, во время выполнения ангиопластики при надувании баллончика на нем находится стент – цилиндрической формы каркасная проволока, которая расширяет стенозированный участок сосуда и не позволяет просвету артерии сужаться в дальнейшем. (Рис.2.) На стент может быть нанесено лекарственное вещество, способствующее эпителизации и предотвращающее тромбообразование.

Рис.2 Тромбированная артерия (1). Та же артерия после тромболизиса (2)
Рис.3
Ангиографическое изображение до (слева) и после (справа) полную окклюзию правой коронарной артерии. Окклюзия характеризуется сужением, нехваткой коллатералей и отсутствием кальцификации. Было установлено 3 стента с лекарством (3.5 x 33, 3.5 x 33, and 3.5 x 23).
Ангиопульмонография , или легочная артериография, представляет собой рентгенологическое исследование легочного кровообращения после введения йодсодержащего рентгеноконтрастного вещества в легочную артерию или одну из ее ветвей. При ее выполнении могут возникнуть такие осложнения, как тромбоз артерии, перфорация или разрыв сердечной мышцы, желудочковые аритмии, обусловленные раздражением миокарда, и острая почечная недостаточность из-за повышенной чувствительности к контрастному веществу.
Цель
- Подтвердить или исключить тромбоэмболию легочной артерии в сомнительных случаях.
- Оценить патологические изменения легочного кровообращения.
- Оценить состояние кровообращения по малому кругу перед оперативными вмешательствами по поводу врожденных пороков сердца.
- Определить локализацию крупного эмбола перед его удалением.
Оборудование
Инструментальный стол для ангиографии, 50 мл контрастного вещества, рентгеновский аппарат, катетеры для ангиографии с проводниками, Оборудование для мониторинга жизненно важных показателей (ЭКГ, насыщение артериальной крови кислородом, АД, давление в легочной артерии), набор для проведения реанимационных мероприятий.
При тромбоэмболии легочных артерий ангиопульмонографию выполняют экстренно на фоне интенсивных реанимационных мероприятий. При общей ангиопульмонографии рентгеноконтрастный препарат вводят (чаще через катетер) в верхнюю полую вену, правые предсердие и желудочек либо через локтевую, подключичную и бедренную вены с той или другой стороны. При селективной ангиопульмонографии под контролем рентгенотелевидения катетер проводят по нижней (через бедренную вену) или верхней (через вены верхней половины тела) полым венам, правому предсердию и желудочку в легочный ствол, куда и вводят рентгеноконтрастный препарат. Катетер может также быть введен в правую или левую легочную артерию и в сосуды меньшего порядка. При ангиопульмонографии при необходимости выполняют лечебные процедуры, например через катетер удаляют тромб легочной артерии или размягчают его ферментами.

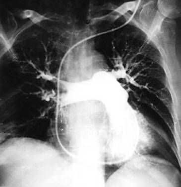
Рис. 4. Ангиопульмонограмма больного с массивной легочной эмболией. Имеется поражениеобеихглавныхлегочныхартерий


Рис. 5
63-летний мужчина с одышкой на протяжении 24 часов. Дефекты в ветвях левой нижней доли левого лёгкого (указано стрелками) свидетельствуют об острой эмболии.
Рис. 6
Острая эмболия. На ангиограмме левого лёгкого виден дефект в сосуде заднего сегмента (стрелка). Уменьшение перфузии в 3-ёх сегментарных артериях верхней левой доли (короткая стрелка)
Меры предосторожности
Предостережение. Ангиопульмонография противопоказана во время беременности.
- На кардиомониторе необходимо отслеживать появление желудочковых аритмий в результате раздражения миокарда при прохождении катетера через камеры сердца.
- Следует помнить о возможности повышенной чувствительности к контрастному веществу (одышка, тошнота, рвота, обильное потение, увеличение ЧСС, онемение конечностей).
- На случай развития аллергической реакции под рукой должен быть необходимый набор для реанимационных мероприятий.
- Следует измерять давление в правых отделах сердца и в легочной артерии. Конечное диастолическое давление в правом желудочке обычно не превышает 20 мм рт. ст., систолическое давление в легочной артерии обычно меньше или равно 70 мм рт. ст. Повышение значений этих показателей увеличивает риск летального исхода, связанного с исследованием.
Нормальная картина
В норме имеет место симметричный и свободный ток контрастного вещества по малому кругу кровообращения.
Отклонение от нормы
Препятствием для кровотока могут служить эмболы, другие патологические изменения легочных сосудов и опухоли.
СПИСОК ЛИТЕРАТУРЫ
1. Линденбратен Л.Д., Королюк И.П. Медицинская радиология (основы лучевой диагностики и лучевой терапии): Учебник. – 2-е изд., перераб. и доп. – М.: Медицина, 2000.- 672 с: ил. (Учеб. лит. Для студентов мед. вузов).
2. Методы лучевой диагностики: учебное пособие / Под общ. ред. Л.П. Сапожковой – М.: Феникс, 2007. – 138с.
3. Руксин В.В. Неотложная кардиология. – 4-е изд., перераб. и доп.- СПб.: «Невский Диалект»; 2001.-503с.: ил.
4. Сумин С. А. Неотложные состояния. / 2-е изд., стереотип. – Москва, «Фармацевтический мир», 2000.-464с.
5. Синицын В.Е., Терновой С.К., Шехтер А.И. Лучевая диагностика и терапия: Учебник в 2т. – М.: Медицина, 2008.- 588 с : ил . (Учеб . лит . Для студентов мед . вузов ).
6. Hopkins R. Radiology for Anaesthesia & Intensive Care. GMM 2003.

