| Скачать .docx | Скачать .pdf |
Реферат: Зрительная система человека
1. Вступление
По данным некоторых ученых 70% всех сведений человек получает из окружающего мира с помощью зрения, другие полагают, что цифра должна быть увеличена до 90%. Недаром А. М. Горький, которому пришлось несколько дней во время болезни пробыть с повязкой на глазах, писал о своем состоянии так: «Ничто не может быть страшнее, как потерять зрение,— это невыразимая обида, она отнимает у человека девять десятых мира».
Основная функция зрения состоит в различении яркости, цвета, формы, размеров наблюдаемых объектов. Наряду с другими анализаторами зрение играет большую роль в регуляции положения тела и в определении расстояния до объекта.
2. Зрительная система.
2.1 Вспомогательные образования глаза
К вспомогательным образованиям глаза относятся веки с ресницами, слезная железа, с помощью которой осуществляется увлажнение поверхности глаза и удаление инородных мелких частиц, а также мышцы, прикрепляющиеся к наружной поверхности глазного яблока, обеспечивающие его движение.
Веки располагаются спереди глазного яблока. Различают верхнее и нижнее веко. Основу век составляет хрящ, с наружной поверхности он покрыт кожей, а с внутренней - конъюктивой век. Коньюктива покрывает внутреннюю поверхность век и состоит из двуслойного или многослойного цилиндрического эпителия с бокаловидными клетками, рыхлой соединительной ткани, в которой находятся сплетения лимфоцитов, а также многочисленные кровеносные сосуды. В области края роговицы конъюктива проходит в ее эпителий.
Рис. 2 Слезная железа.
1- слезная железа.
2-выводные канальцы.
3-медиальный угол глаза .

Слезный аппарат состоит из слезной железы, выводных протоков и слезоотводящих путей. Слезная железа имеет альвеолярно-трубчатое строение и находится в боковом углу глазницы.

Рис.2
Слезный аппарат.
1 - слезный сосочек, 2 - слезное озеро: 3 - слезный каналец: 4 -слезный мешок: 5 - носослезный проток: 6 - свод слезного мешка;
7 - глазное яблоко; 8 - медиальный угол глаза.
Ее выводные протоки в количестве от 6 до 14 открываются в верхний коньюктивальный мешок. Слеза, вырабатываемая железой, омывает внешнюю поверхность роговицы тонким слоем слезной жидкости, за счет чего улучшаются оптические свойства этой поверхности. Далее слезная жидкость направляется в слезное озеро, откуда берут начало слезоотводящие пути. Их образуют слезные канальцы, слезный мешок и носослезный проток. Слезный мешок находится в нижнемедиальном углу глазницы, он имеет длину примерно 1.5 см. ширину - 0.5 см. Книзу слезный мешок переходит в носослезный проток, который открывается в нижний носовой ход. Парасимпатические волокна увеличивают, а симпатические тормозят секрецию слезной жидкости. Слезная жидкость увлажняет роговицу и конъюктиву, смывая механические частицы пыли. В ней также находится бактерицидное вещество лизоцим. Увеличение выделения слезной жидкости происходит при защитном мигательном рефлексе.
2.2 Строение глаза и движения глазных яблок.
Строение глаза
Глазное яблоко располагается в глазничной впадине лицевой части черепа.
Форму глазного яблока определяет наружная белочная оболочка глаза - склера, переходящая спереди в роговицу.
За роговицей располагается хрусталик, к которому прилегает радужка. Пространство между хрусталиком и роговицей заполнено жидкостью. Это пространство называют передней камерой глаза. Глазное яблоко заполнено стекловидным телом - прозрачной массой студенистой консистенции.

Рис. 3 Схематический разрез глазного яблока. 1 - роговица: 2 - передняя камера; 3 - задняя камера: 4 - радужка; 5 - хрусталик:
6 - ресничная мышца: 7 - склера: 8 - сосудистая оболочка; 9 - сетчатка; 10 - стекловидное тело: 11 - сосок зрительного нерва: 12 - мышца века; 13 -конъюктива: 14 - хрящ нижнего века: 15 - железы хряща века; 16- мышца, однимающая верхнее веко: 17-ресницы: 18 - жировое тело глазницы; 19 -верхний конъюктивальный мешок.
Расположение отдельных частей глаза почти всегда неизменно. Такая устойчивость поддерживается как жесткой склерой, так и постоянным уровнем внутриглазного давления. Водянистая влага передней камеры глаза образуется благодаря процессу фильтрации из кровеносных капилляров цилиарного тела. Фильтрат
поступает в заднюю камеру глаза - пространство между радужной оболочкой и хрусталиком, и из него жидкость переходит в переднюю камеру. По краю камеры в месте соединения радужной оболочки и роговицы водянистая влага поступает в слезовой канал и венозную систему. Внутриглазное давление сохраняется постоянным, если количество выводимой через шлемов канал жидкости точно соответствует количеству жидкости, образующейся в цилиарном теле. Если же отток затруднен, то повышается внутриглазное давление, и возникает глаукома.
Рис. 4 Микроскопическое строение роговицы
1-передний эпителий. Пятислойный плоский неороговевающий эпителий покрывает переднюю поверхность роговицы и делает ее Идеально ровной .
2- базальная мембрана перед-
него эпителия ;
3 – собственное вещество.
Оно не имеет сосудов и сос -
тоит из накладывающихся
пластинок коллагеновых во-
локон. Степень набухания во-
локон определяет прозрачность
роговицы ;
4 – базальная мембрана заднего
роговичного эпителия
5 – однослойный плоский эпителий, покрывающий заднюю поверхность роговицы.
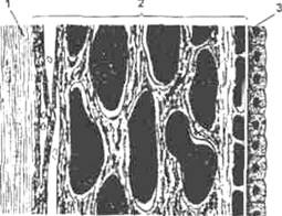
Под склерой находится сосудистая оболочка и кровеносные сосуды, которые питают сетчатку Сосудистая оболочка переходит в ресничное или цилиарное тело, в котором находятся гладкие мышечные волокна, образующие ресничную мышцу.

Рис. 5 Сосудистая оболочка.
1 - склера. Состоит из беспорядочно расположенных коллагеновых волокон; 2 - собственно сосудистая оболочка: 3 - пигментные клетки.
Самый передней отдел сосудистой оболочки образует радужную, регулирующую размер зрачка. В радужной оболочке имеются два рода мышц: кольцевые и радиальные. Наружный слой сетчатки, примыкающий к сосудистому слою, образован пигментными клетками. Внутренняя оболочка глазного яблока – сетчатка.
Она состоит из фоторецептивных клеток: колбочек и палочек. В месте пересечения сетчатки с оптической осью глаза располагается область наилучшего видения - желтое пятно, образованное громадным числом колбочек. Участок сетчатки, где сходятся отростки чувствительных нейронов, образующих зрительный нерв, лишен колбочек и палочек. Это место называют слепым пятном.
Движение глазных яблок
Движения глаз происходят при рассматривании как движущихся, так и неподвижных предметов. Глазное яблоко из положения, когда взгляд направлен прямо, может повернуться наружу на 42', внутрь - на 45°, вверх - на 54° и вниз - на 57°.
Движение глазных яблок всегда осуществляется содружественно. При рассмотрении близких предметов зрительные оси сходятся, а более далеких - расходятся. Сведение осей при рассматривании близких предметов называется конвергенцией, а разведение - дивергенцией. Движения глазного яблока осуществляются шестью мышцами: двумя косыми - верхней и нижней и четырьмя прямыми мышцами - наружной, внутренней, верхней, нижней (см. III, IV, VI пары ч.м.н.)


Рис. 6 Мышцы глазного яблока: А - вид сбоку, Б - вид сверху.
1 - прямая верхняя мышца; 2 - прямая нижняя мышца; 3 - нижняя косая мышца: 4 - верхняя косая мышца; 5 - прямая наружная мышца; 6 -прямая внутренняя мышца; 7 - мышца, поднимающая верхнее веко, 8 - блок фиброзно-хрящевой петли
![]()
![]()
![]()
1 2 3
![]()
![]()
глаз
![]()
![]()
![]()
![]()
4 5 6
![]()
нос
Рис. 7 Схема движений глазного яблока. 1 - верхняя прямая; 2 - нижняя прямая; 3 - нижняя косая; 4 -верхняя косая; 5 - наружная прямая; 6 - внутренняя прямая
Формирование изображения на сетчатке
Благодаря одновременному движению обоих глазных яблок получается четкое изображение на сетчатке. В случае нарушения содружественных движений глаз возникает косоглазие, и происходит расстройство бинокулярной фиксации предмета, т.к. изображение от разных глаз на сетчатке будет занимать на ней разное место.
При разглядывании предмета обоими глазами изображение от предметов попадает в идентичные участки сетчатки обоих глаз и поэтому изображения от двух глаз сливаются в одно. Если же изображение попадает на разные участки сетчатки, то оно будет представляться раздвоенным. В этом легко убедиться, надавливая слегка на один глаз сбоку, в результате чего будет "двоиться" в глазах.
При взгляде на любой предмет глаза совершают небольшие быстрые колебательные движения. Продолжительность отдельного такого перемещения равна сотым долям секунды, а между такими скачками существует время фиксации взора от 0.2-0.6 сек. При рассматривании любых объектов происходит как бы ощупывание контуров рассмотрения. Причем интерес наблюдателя к объекту, также как и его значение для человека влияют на частоту фиксации.
Зрачковые рефлексы
В норме зрачки обоих глаз круглые, и их диаметр одинаков. При снижении общей освещенности зрачок рефлекторно расширяется. Следовательно, расширение и сужение зрачка - это реакция на снижение и увеличение общей освещенности. Диаметр зрачка также зависит от расстояния до фиксируемого предмета. При переводе взгляда от дальнего предмета к ближнему зрачки сужаются.

Рис. 8. Схема иннервации радужной оболочки и ресничной мышцы.
1 - ресничный ганглий, (цилиарный): 2 -короткие ресничные нервы; 3 - верхний шейный симпатический ганглий; 4 -симпатические нервы, (цилиарная); 5 -ресничная мышца 6 - волокна капсулы хрусталика: 7 - радужная оболочка: 8 -роговая оболочка.9 – хрусталик. 10 -кольцевая мускулатура радужной оболочки.11 - радиальная мускулатура радужной оболочки .
В радужной оболочке имеется два вида мышечных волокон, окружающих зрачок: кольцевые, иннервируемые парасимпатическими волокнами глазодвигательного нерва, к которым подходят нервы от ресничного узла. Радиальные мышцы иннервируются симпатическими нервами, отходящими от верхнего шейного симпатического узла. Сокращение первых вызывает сужение зрачка (миоз), а сокращение вторых - расширение (мидриаз).
Диаметр зрачка и зрачковые реакции - важные диагностические признаки при повреждении мозга.
2.3 Светопреломляющий аппарат глаза
Глаз представляет собой сложную оптическую систему линз, которые образуют на сетчатке перевернутое и уменьшенное изображение внешнего мира.
Диоптрический аппарат состоит из прозрачной роговицы, передней и задней камер, заполненных водянистой волной, радужной оболочки, окружающей зрачок, хрусталика и стекловидного тела.
Преломляющая сила глаза зависит от радиуса кривизны роговицы, передней и задней поверхности хрусталика, от показателей преломления воздуха, роговицы, водянистой влаги, хрусталика, стекловидного тела. Знание этих показателей, а также некоторых дополнительных сведений позволило по специальным формулам рассчитать общую преломляющую силу диоптрического аппарата глаза. Она равна для глаза 58.6 диоптрий.
Преломляющая сила измеряется уравнением 1/f, где f- фокусное расстояние. Если оно задано в метрах, единицей преломляющей (оптической) силы, будет диоптрия. Само же фокусное расстояние

Рис. 9. Построение изображения.
АВ – предмет ; аб - его изображение ; 0 - узловая точка.
позади линзы зависит от разницы показателей преломления на границе двух поверхностей раздела и от радиуса кривизны раздела этих сред.
Основными преломляющими средами являются роговица и хрусталик. Хрусталик заключен в капсулу, которая прикреплена циановыми связками к ресничному телу. Благодаря сокращению ресничных мышц меняется кривизна хрусталика. 4

Рис. 10 Хрусталик и ресничный поясок.
1 - вещество хрусталика. Состоит из ядра и коры, 2 - кора хрусталика; 3 - ядро хрусталика, 4 - эпителий хрусталика: 5 - задняя поверхность хрусталика, 6 - волокна хрусталика; 7 - капсула хрусталика. Прозрачная мембрана до 15 мкм толщиной, которая окружает хрусталик. Служит местом прикрепления ресничного пояска; 8 - ресничный поясок. Фиксирующий аппарат хрусталика, состоящий из радиально ориентированных волокон различной длины: 9 - волокна пояска Они начинаются от капсулы хрусталика и переходят в ресничное тело.
Прохождение световых лучей через поверхность, разграничивающую две среды с разной оптической плотностью, сопровождается преломлением лучей (рефракцией). Например, при прохождении лучей через роговицу наблюдается их преломление, т.к. оптическая плотность воздуха и роговицы сильно отличаются. Далее лучи от источника света проходят через двояковыпуклую линзу - хрусталик. В результате преломления лучи сходятся в некоторой точке сзади хрусталика - в фокусе. Преломление зависит от угла падения световых лучей на поверхность линзы: Чем больше угол падения, тем сильнее преломляются лучи. Лучи, падающие на края линзы, больше преломляются, чем центральные лучи, проходящие через центр перпендикулярно линзе, которые совсем не преломляются. Это ведет к появлению на сетчатке размытого пятна, что уменьшает остроту зрения. Острота зрения отражает способность оптической системы глаза получать четкие изображения на сетчатке.
2.3.1 Несовершенство оптической системы глаза
В качестве оптической системы глаз не является совершенным. Объясняется это несколькими причинами.
Одна из них заключается в том, что поверхность роговицы несимметрична относительно оптической оси глаза. Кривизна роговицы в верхних и нижних ее частях несколько больше, чем в боковых - левой и правой. Это уменьшает четкость изображения на сетчатке.
Второе явление получило название сферической аберрации. Дело в том, что фокусное расстояние для лучей, которые проходят
А

Рис. 11 Схема сферической аберрации.
Центральные лучи 1-1 собираются в фокусе f3 лежащем на сетчатке:
краевые лучи 2-2 и 3-3 собираются в фокусах f2 и f1, лежащих перед сетчаткой. Вертикальные линии А-А перед хрусталиком изображают радужную оболочку, не пропускающую краевых лучей, что способствует четкости изображения.
через оптическую ось, и лучей, проходящих через периферические части хрусталика, различается. Это обуславливает появление на сетчатке размытого изображения. Частичной компенсацией этого явления может быть отсекание периферических лучей, падающих на хрусталик. В этом случае четкость изображения увеличивается. Это и происходит при сужении зрачка.
Третья причина несовершенств оптической системы глаза вызвана следующим. Простые линзы преломляют свет разной длины волн неодинаково. Свет с более короткой длиной волны в пределах видимой части спектра преломляется больше, чем с более длинной. Это явление было названо хроматической аберрацией.
Следующий дефект зрения связан с нарушением процессов аккомодации. Под аккомодацией понимается приспособление глаза к видению разноудаленных предметов. Механизм аккомодации заключается в следующем. Изменение кривизны хрусталика вызывается сокращением ресничных мышц, которые изменяют выпуклость
хрусталика. Хрусталик находится в капсуле, которая прикреплена к связкам, в свою очередь, связанным с ресничным телом. Связки всегда натянуты, и их натяжение передается капсуле, сжимающей и уплотняющей хрусталик. В ресничном теле находятся гладкие мы-

Рис. 12 Схема рефракции в дальнозорком (1), нормальном (2) и близоруком (3) глазу
щечные волокна. При их сокращении тяга связок ослабляется, а значит, уменьшается давление на хрусталик, который вследствие своей эластичности принимает более выпуклую форму. Сокращение мышц регулируется парасимпатической и симпатической частями вегетативной нервной системы.
Нарушение преломления лучей выступает в двух формах - близорукости (миопии) и дальнозоркости (гиперметропии).
Близорукость может быть обусловлена или большой длиной глазного яблока, или повышенной преломляющей способностью хрусталика. В этом случае главный фокус преломления будет располагаться не на сетчатке, а перед ней.
Дальнозоркость объясняется или уменьшением преломляющей силы хрусталика, или уменьшением величины глазного яблока. В этих случаях фокус будет находиться за сетчаткой.
Помимо перечисленных выше дефектов оптической системы глаза могут происходить изменения внутреннего состава хрусталика и стекловидного тела, ведущие к их помутнению. Поэтому при преломлении света наблюдается его диффузное рассеивание. При рассмотрении белого фона поверхности человек видит мелькающие кружочки, точки и т. д.
2.4 Зрительное восприятие
2.4.1 Поля зрения
Если фиксировать глазом какую-либо точку, ее изображение падает на желтое пятно. И в этом случае мы видим точку центральным зрением. Точки, изображение которых падает на остальные
области сетчатки, видимы периферическим зрением. Совокупность точек, одновременно видимых глазом при фиксации взгляда в одной точке, называют полем зрения. Измерение границы поля периферического зрения производят прибором, называемым периметром. Граница поля зрения для бесцветных предметов составляет книзу 70", кверху - 60° и кнаружи - 90°. Поля зрения для различных цветов неодинаковы, больше всего они для бесцветных предметов.
Рис.13Схема аппарата для периметрии. Поле зрения оценивается монокулярно.
Испытуемый располагается перед аппаратом таким образом, что его глаз совпадает с центром полусферы и фиксирует взглядом точку на ее полюсе (Ф). Врач проверяет правильность фиксации через специальное отверстие и перемещает световое пятно по поверхности сферы прибора с помощью проекционной системы, управляемой ручкой Р. Световое пятно может иметь разную величину, яркость и цвет. Как только испытуемый замечает пятно, он подает сигнал, и это положение пятна регистрируется на бумаге, закрепленной на подставке П. А Результат определения границ нормального поля зрения для белого, синего и красного стимулов. СП - слепое пятно. Точка фиксации соответствует центру концентрических кругов, обозначающих удаленность стимула от точки фиксации (в угловых градусах).
2.4.2 Оценка расстояния
Восприятие глубины и оценка расстояния возможны как при зрении одним глазом (монокулярное зрение), так и двумя глазами (бинокулярное зрение). При бинокулярном зрении оценка расстояния происходит точнее.
2.4.3 Цветовое восприятие
Восприятие цвета колбочками связано с наличием трех их типов, которые соответственно реагируют на синий, зеленый и красный цвета. Промежуточные цвета воспринимаются при одновременном возбуждении колбочек двух типов и более. Отсутствие различения отдельных цветов называется частичной цветовой слепотой. Нарушение цветовосприятия называется дальтонизмом. Есть люди, которые не могут воспринимать красный, зеленый и другие цвета.
2.5 Сетчатка.
Пигментные клетки. Палочки и колбочки расположены на задней поверхности сетчатки, поэтому падающий в глаз свет проходит через два других слоя и только тогда достигает наружных сегментов фоторецепторов. Таким образом, светочувствительные участки находятся в глубине сетчатки. Почему сетчатка устроена таким странным образом, что фоторецепторы находятся в глубине сетчатки, а не ближе к поверхности, точно неизвестно. Одна из возможных причин заключается в том, что позади рецепторов находится пигментный слой клеток, содержащий черный пигмент меланин. Меланин поглощает пришедшие через сетчатку световые лучи и не дает им отражаться назад и рассеиваться внутри глаза. Он играет ту же роль, что и черная окраска внутренних поверхностей фотокамеры. Клетки, содержащие меланин, способствуют также химическому восстановлению светочувствительного зрительного пигмента, который обесцвечивается на свету. Для выполнения этих функций необходимо, чтобы меланин находился вблизи от рецепторов.
2.5.1 Слои сетчатки
Сетчатка состоит из трех слоев. Самый наружный слой сетчатки от центра глазного яблока представлен фоторецепторами палочками и колбочками. Затем идет промежуточный слой, содержащий
Рис. 14 Слои сетчатки

1 - фоточувствительный слой. Состоит из тел фоторецепторов:
2 - промежуточный слой. Он состоит из тел биполярных и амакриновых нейронов;3 - внутренний слой. Образован ганглиозными клеткам.
биполярные нейроны, которые связывают фоторецепторы с клетками третьего слоя. Третий, внутренний, слой образован ганглиозными клетками, дендриты которых соединены с биполярными клетками, а аксоны образуют зрительный нерв.

Рис.15 Строение сетчатки. 1 - палочка, 2 - мембранные диски, 3 - колбочка; 4 - складки; 5 -плазматическая мембрана; 6 - пара ресничек; 7 - митохондрии; 8 - ядро;9 - концевое утолщение: 10 -горизонтальная клетка: 11 -синаптические окончания: 12 -биполярная клетка; 13 амакриновая клетка; 14 -направление лучей света; 15 -нейроны зрительного нерва; 16 -внутренний поверхностный слой:
17 - промежуточный слой; 18 -синаптический участок; 19 -внутренний сегмент, 20 - слой фоторецепторов; 21 - сужение: 22 - наружный сегмент; 23 - эпителий сосудистой оболочки; 24 - склера;
25 - пигментный слой.
2.5.2 Фоторецепторы
У человека слой рецепторов сетчатки состоит примерно из 120 млн. палочек и 6 млн. колбочек.
Палочки и колбочки выполняют разные функции. Палочки осуществляют темновое видение, колбочки - цветовое. Более чувствительны к свету палочки. Они обеспечивают зрение при слабом освещении. Несмотря на различные функции, палочки и колбочки сходны по своему строению. Фоторецептор состоит из 4 участков:
наружный сегмент, перетяжка, внутренний сегмент, синоптическая область.
Наружный сегмент. Это светочувствительный участок, где световая энергия преобразуется в рецепторный потенциал. Весь наружный сегмент заполнен мембранными дисками, образованными плазматической мембраной и отделившимися от нее. В палочках число этих дисков составляет 600-1000, и они представляют собой уплощенные мембранные мешочки, уложенные наподобие стопки монет. В колбочках мембранных дисков меньше, и они представляют собой складки плазматической мембраны.
Образование мембранных дисков или складок плазматической мембраны увеличивает площадь фоторецептивной поверхности мембраны и позволяет увеличить общее количество молекул зрительного пигмента в них.

Рис.16 Структура мембранного диска наружных сегментов палочек и мембранных складок наружных сегментов колбочек.
Следовательно, повышается вероятность поглощения фотонов света. Компактное расположение таких структурных единиц стопкой на пути светового луча увеличивает коэффициент поглощения фоторецептора, что ведет к повышению его абсолютной чувствительности.
Перетяжка . В этой области наружный сегмент почти полностью отделен от внутреннего впячиванием наружной мембраны. Связь между сегментами осуществляется через цитоплазму и пару ресничек, переходящих из одного сегмента в другой.
Внутренний сегмент . Здесь происходят интенсивные обменные процессы. Наблюдается большое количество митохондрий, образующих энергию для процессов зрения, и полирибосом, на которых синтезируются белки, участвующие в образовании мембранных дисков и зрительного пигмента. В этом же участке расположено ядро клетки.
Синоптическая область. В этом участке клетки образуются синапсы с биполярными нервными клетками, к которым поступают
импульсы от нескольких фоторецепторов, т.е. происходит суммирование возбуждения от нескольких фоторецепторов на биполярной клетке. Этот процесс называют конвергенцией. Это уменьшает остроту зрения, но повышает светочувствительность. В случае связи одной колбочки с одной биполярной и одной ганглиозной клеткой обеспечивается большая острота зрения.
2.5.3 Фотохимические реакции
Фотохимические процессы в принципе одинаковы у всех животных, как у беспозвоночных, так и у позвоночных. В палочках у человека содержится пигмент родопсин, а в колбочках - иодопсин. Родопсин представляет сложную молекулу, состоящую из липопротеина и ретиналя - альдегидной формы витамина А. При действии света происходит цикл фотохимических реакций, ведущих к расщеплению родопсина. Вслед за фотохимическими процессами происходят биоэлектрические изменения рецепторного потенциала, и далее возбуждение через биполярные нервные клетки переходит к ганглионарным клеткам, и по зрительному нерву достигает центральной нервной системы. В темноте происходит ресинтез родопсина. Процесс обновления наружных сегментов палочек осуществляется постепенно. Например, у некоторых обезьян - макак и резусов - каждая палочка обновляется за 9-12 дней. Эту функцию обновления, а также хранения витамина А и его производных выполняют пигментные клетки. Глаз предохраняет себя от избыточной освещенности путем изменения величины зрачка. Помимо этого сама сетчатка способна компенсировать увеличение яркости: существуют колбочки и палочки, функционирующие в разных диапазонах яркости, происходит перестройка рецептивных областей.
Если на сетчатку попадает мало света, то синтез родопсина интенсифицируется, и концентрация родопсина увеличивается. Это фотохимическая основа темновой адаптации глаза. Одновременно зрение переходит на палочковую систему с помощью горизонтальных клеток и рецептивные поля этих нейронов увеличиваются. Также размер зрачка увеличивается.
2.5.4 Промежуточный слой
Промежуточный слой сетчатки содержит как биполярные, так и горизонтальные и апокриновые клетки. Биполярные клетки имеют входы от рецепторов, и часть их передает сигналы непосредственно к ганглиозным клеткам. Кроме такой прямой передачи импульсов в ганглиозные клетки существует и другой путь. Благодаря наличию горизонтальных и амакриновых клеток информация от рецепторов может распространяться параллельно сетчатке. Уже здесь происходит обработка зрительной информации.
2.6 Зрительные пути
Зрительная информация передается в головной мозг по аксонам ганглиозных клеток сетчатки, образуя зрительный нерв. В его составе примерно 1 млн. волокон. Количество ганглиозных клеток более чем в 100 раз меньше числа фоторецепторных клеток.
![]()
![]()
![]()

Рис.17 Структура сетчатки
Падающий свет
Таким образом, импульсы от фоторецепторов далее подходят к биполярным клеткам. Каждая такая клетка связана с несколькими палочками и колбочками. В свою очередь, одна ганглиозная клетка контактирует со многими биполярными клетками. Фоторецепторы, соединенные с одной ганглиозной клеткой, образуют рецептивное поле ганглиозной клетки. Причем, рецептивные поля ганглиозных клеток перекрывают друг друга, что связано с наличием горизонтальных и амакриновых клеток, соединяющих по горизонтали биполярные и ганглиозные клетки. Поэтому одна ганглиозная клетка может быть связана с десятками тысяч фоторецепторов. В сетчатке есть центробежные нервные волокна, которые могут регулировать количество нейронов, охваченных возбужден.
В мозге человека аксоны от левых половин сетчатки обеих глаз направляются к левой половине зрительной коры, а аксоны от правых половин сетчатки обеих глаз - к правой стороне зрительной коры. Аксоны, идущие от носовых половин обеих сетчаток, пересекаются. Место их пересечения называют зрительным перекрестом или хиозмой. После пересечения образуется зрительный тракт, который проходит через коленчатые тела, четверохолмие и другие мозговые структуры и поступает в корковый конец зрительного анализатора.
Перекрещиваются только внутренние волокна, начинающиеся от медиальной (носовой) половины сетчатки. Наружные или височные волокна проходят через плазму не перекрещенными. Каждый зрительный тракт содержит волокна от внутренней половины сетчатки глаза противоположной стороны и наружной половины
сетчатки глаза своей стороны. Таким образом, зрительный тракт содержит волокна от одноименных половин сетчатки обоих глаз - левых и правых. Следовательно, правый зрительный тракт проводит раздражение от левых половин полей зрения обоих глаз,
а левый - правых.
Поля зрения
Височная носовая носовая височная

Рис.18 Зрительный анализатор. Нарушения полей зрения при поражении:
I - зрительного нерва; II - внутренних отделов зрительного перекреста;
III - левого наружного отдела зрительного перекреста: IV - левого зрительного тракта.
Нужно учесть, что преломляющие среды глаза проецируют на сетчатку обратное изображение видимого, а это значит, что предметы правого поля зрения воспринимаются левым половинами сетчатки и далее зрительные импульсы передаются по левому зрительному тракту.
В зрительной коре спроецированы все мельчайшие участки сетчатки, и именно в коре зрительные сигналы интерпретируются. Различные нейроны возбуждаются от различных раздражителей. Это могут быть цвет, контраст, движение, контуры предмета, разрывы в контуре. Некоторые нейроны реагируют на предъявление изображений лиц. И при участии как лобных, так и других отделов мозга осуществляется интерпретивная функция коры, в результате чего формируется зрительное восприятие мира.
От сетчатки импульсы подходят также к гипоталамусу, благодаря чему происходит согласование внутреннего циркадного ритма сна и бодрствования со сменой дня и ночи. Зрительные сигналы по таламическим путям достигают теменных зрительных ассоциативных зон. Ганглиозные клетки сетчатки связываются с вестибулярным аппаратом и с мозжечком.
Заключение.
3.1 Глаза ребенка выполняют значительную зрительную работу. От того, как соблюдаются правила гигиены, зависит и утомление органов зрения, и сохранение их полноценной функции на будущее.
Ученые связывают нарушение зрения с общим состоянием организма, поэтому занятия физической культурой крайне необходимы детям. Ведущие ученые рекомендуют привлекать детей к занятиям в основной группе по физической культуре. Эти дети могут сдавать нормы ГТО, посещать уроки физкультуры, заниматься в спортивных секциях, участвовать в соревнованиях, что имеет не только оздоровительное, но и психологическое значение. Разумеется, физические нагрузки должны дозироваться с учетом возраста и подготовленности ребенка.
Кроме того, для учащихся младших классов рекомендуется включать в занятия физической культурой (например, в уроки физкультуры) специальные упражнения (2—3) для глаз, например, такие: при исходной позиции ноги на ширине плеч. руки в стороны, круговые движения руками вперед и назад. В это время следить за кончиком большого пальца. Повторить 3—4 раза. Второе упражнение такое. Исходная позиция: сидя на стуле, скамейке, зажмурить и открыть глаза. Выполняется в среднем темпе, повторить 3—4 раза.
Каждый учащийся уже в начальной школе должен овладеть рядом важных навыков. Из них самый трудный для усвоения: соблюдение необходимого расстояния от глаз до рабочей поверхности (тетради, книги). Овладение правилами самоконтроля и применение их. Кроме того, в начальной школе ребенок должен выработать навыки:
заниматься при достаточном и правильном освещении;
соблюдать ритм зрительной работы, гигиену просмотра телевизионных передач;
выполнять гимнастику для глаз и уметь давать глазам отдых.
3.2. К сожалению, есть семьи, где этим нормам не уделяется внимание или даже поощряется, когда дети подолгу смотрят телевизор, дети заняты и не мешают взрослым.
Рассматриваемый нами вопрос, как никакой другой, требует единства требований к детям со стороны школы и семьи. Учителю полезно рассказать родителям о рекомендациях, которые он дал детям; пояснить, что длительный просмотр телепередач приводит к утомлению нервной системы, зрения, отнимает время от прогулок, двигательной активности.
Гигиенические исследования показывают, что некоторые школьники просиживают перед телевизором до 14 и даже до 30 и более часов в неделю.
Вот почему о просмотре телевизионных передач нужно упоминать, когда речь идет о рациональном отдыхе детей, о причинах детской нервозности, о несоблюдении режима дня. Но более всего просмотр телепередач связан с гигиеной зрения.
3.3. Рекомендуется проводить с учащимися следующую целенаправленную воспитательную работу но охране зрения.
В 1 классе охране зрения служит прежде всего воспитание правильной посадки во время занятий; советы родителям об организации рабочего места ребенка дома (мебель, соответствующая росту ребенка, достаточное освещение); рекомендации о перерывах во время зрительной работы.
Во 2— 3 классах хорошо провести краткую беседу с учащимися на тему «Как надо заботиться о сохранении хорошего зрения» примерно такого содержания:
1. При помощи глаз мы узнаем о цвете, форме, размерах предметов. Глаза помогают нам познавать окружающий нас мир, учиться, выполнять различную работу. Человеку с плохим зрением труднее стать летчиком, моряком, достичь успехов в спорте, на сцене. Зрение нужно беречь.
2. Зрение портится во время работы при плохом освещении, при малом расстоянии от глаз до книги (тетради), чтении лежа, длительном просмотре телевизионных передач.
3. Для того чтобы сберечь зрение, нужно заниматься при достаточном освещении, свет должен падать слева, должны соблюдаться: необходимое расстояние от глаз до книги и правильная посадка во время занятий, выполняться простейшая гимнастика для глаз.
Говоря об уходе за глазами, учитель отмечает, что при утреннем умывании следует промывать и глаза, нельзя тереть и трогать глаза руками. При изучении вопроса «Гигиена органов чувств» полезно еще раз проверить все упомянутые выше умения детей по гигиене зрения.
Заслуживает одобрения следующий прием, который используют многие педагоги; стол учителя ставят у доски, на столе лампа.
Один из учеников показывает все упомянутые приемы самоконтроля, а класс проверяет и дает им оценку, затем эти приемы дети проделывают сами, сидя за партами.
Список литературы
Семенов Э. В. Физиология и анатомия. Москва 1997г. Коростелев Н. Б. Воспитание здорового школьника. Москва 1986г.
Судаков К. В. Избранные лекции по нормальной физиологии. Москва 1992г.
Анатомия человека. В 2 т. /Под ред. М. Р. Сапина. Москва 1993г.
Российский Открытый Университет
Психолого-педагогический факультет
ПО – 95
Контрольная работа
Предмет: Психофизиология.
Тема:
Зрительная система.
Выполнил:
Преподаватель :
НОВОМОСКОВСК
1999
СОДЕРЖАНИЕ
1. Вступление ------------------------------------------------ 1
2. Зрительная система ------- - ----------------------------- 1
2.1 Вспомогательные образования глаза-------------- 1
2.2 Строение глаза и движение глазных яблок------- 2
2.3Светопреломляющий аппарат глаза---------------- 7
2.3.1 Несовершенство оптической системы
глаза-------------------------------------------------------- 8
2.4 Зрительное восприятие------------------------------ 10
2.4.1 Поля зрения--------------------------------------- 10
2.4.2 Оценка расстояния------------------------------ 11
2.4.3 Цветовое восприятие--------------------------- 11
2.5 Сетчатка------------------------------------------------ 11
2.5.1 Слои сетчатки----------------------------------- 11
2.5.2 Фоторецепторы--------------------------------- 12
2.5.3 Фотохимические реакции-------------------- 14
2.6 Зрительные пути------------------------------------- 14
3. Заключение ---------------------------------------------- 17
3.1 Зрение ребенка-------------------------------------- 17
3.2 Отношение семьи к гигиене зрения------------ 17
3.3 Воспитательная работа с учащимися----------- 18

