| Похожие рефераты | Скачать .docx | Скачать .pdf |
Реферат: Отбеливание зубов
Федеральное агентство по науке и образованию
РГМУ имени Пирогова
Стоматологический факультет
Реферат
Отбеливание зубов
2009
Содержание
Введение
1. История развития отбеливания зубов
2. Общие положения
3. Проведение отбеливания
4. Нововведения в технологии отбеливания зубов
Заключительные выводы
Литература
Введение
В процессе жизнедеятельности человека зубы подвергаются воздействию различных органических и неорганических красителей. Под окрашиванием зубов следует понимать стойкий неестественный цвет зубной поверхности. Возросшие в последние годы эстетические требования пациентов обусловливают необходимость получения стоматологом исчерпывающей информации о современных методах отбеливания зубов, их эффективности и безопасности.
Все большее число пациентов хотят иметь ослепительно 6eлыe зубы, так как "голливудская" улыбка стала частью имиджа благополучного человека. Отбеливание зубов — сегодня одна из самых востребованных стоматологических процедур. Это процесс, который не только отбеливает поверхностные пятна на зубах но и меняет оттенок самого зуба с темного на болеe белый.
Раньше для достижения белого цвета зубов применяли такие методики, как изготовление коронок и виниров. Сегодня можно использовать разнообразные системы отбеливания зубов. Так называемые "отбеливающие" пасты и другие методы, которые действуют на принципе абразии, пытаются снимать поверхностные пятна с зубов, но не отбеливают сами зубы. Чтобы отбелить зубы, необходимо применить окислители, которые должны проникнуть эмаль и дентин зуба и там войти в реакцию с красящими веществами.
Современный стоматолог должен проводить отбеливание зубов так, как этого хотят его пациенты.
1 . История развития отбеливания зубов
Практика осветления зубов насчитывает более двух тысяч лет. В первом веке нашей эры римские врачеватели придерживались мнения, что использование мочи для чистки зубов в значительной мере способствует их осветлению. В XIV столетии наиболее распространенными стоматологическими услугами считались отбеливание и удаление зубов. Врачеватели славянских народов для получения более эффективного результата перед отбеливанием проводили сошлифовывание поверхностного слоя эмали металлическим напильником, после чего применяли слабый раствор азотной кислоты. Такую методику использовали вплоть до конца XVIII столетия[1] .
Особенно ярко интерес к вопросам эстетики улыбки и зубов проявился в начале XIX в. Еще в 1848 г. отбеливание депульпированных зубов проводили при помощи хлорной извести. Труман предложил наиболее эффективную методику отбеливания зубов, активным элементом в которой был хлор, получаемый из раствора кальция гидрохлорида и уксусной кислоты.
В конце XIX в. для депульпированных зубов в качестве отбеливающих средств с успехом использовали ряд других веществ: хлорид алюминия, щавелевую кислоту, пирозон (перекисный эфир), водородный диоксид (перекись водорода, или пергидроль), серную кислоту, натрия гипофосфат, хлорную известь и даже цианид калия. В настоящее время наиболее эффективными прямыми окислителями являются пирозон, супероксол и диоксид натрия, непрямыми — производные хлора.
"Живые" зубы также подвергались отбеливанию (с 1868 г.) при помощи щавелевой кислоты, а позднее — перекиси водорода или пирозона. К 1910 г. все методики отбеливания таких зубов включали использование перекиси водорода вместе с нагретым инструментом или световым воздействием[2] .
В 1918 году был открыт принцип активизации отбеливания с помощью теплового излучения, который с успехом применяется в наше время. Световое излучение высокой интенсивности вызывает быстрый подъём температуры в растворе перекиси водорода, что приводит к бурному ускорению химических процессов отбеливания[3] .
С 1915 года для лечения эндемического флюороза (так называемых "коричневых пятен из Колорадо") стали использовать соляную кислоту. Позднее, с 1939 года, данную патологию было предложено лечить при помощи состава 30% перекиси водорода и эфира, который наносили на марлевых полосках на вестибулярную поверхность зубов и нагревали при помощи специального инструмента. В 70-х годах XX столетия среди стоматологов особую популярность приобрела методика отбеливания витальных зубов с использованием терморокаталитической реакции разложения перекиси водорода высокой концентрации (25-35%). Однако, применение данного препарата приводило к возникновению целого ряда осложнений как со стороны слизистой оболочки ротовой полости, так и обрабатываемых зубов. Это в свою очередь поставило стоматологов перед проблемой разработки менее агрессивных технологии, позволяющих изменять приобретенный нежелаемый цвет зубов[4] .
Современными методами удается устранить или значительно уменьшить большинство видов внешнего и внутреннего окрашивания зубов. Отбеливанию лучше поддаются зубы, имеющие желтовато-коричневый оттенок, чем серовато-голубоватые зубы. Результаты отбеливания обычно стабильно сохраняются с небольшим (в 0,5 тона) потускнением в течение 1—2 лет. Так называемые тетрациклиновые зубы наиболее устойчивы к отбеливанию. Молекулы тетрациклина прочно связываются с минеральным компонентом эмалевых призм во время их формирования, поэтому лечение не дает быстрых результатов. Не всегда удается полностью решить проблемы эстетики при гипоплазии эмали, несовершенном амело- и дентиногенезе, тяжелых формах флюороза.
2. Общие положения
Существуют показания и противопоказания к отбеливанию зубов, зависящие от причины изменения цвета зубов, степени их потемнения, а также от общего состояния пациента и особенностей его полости рта.


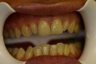
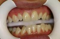
а) б)
Рис. 1. а) зубы до отбеливания, б) после отбеливания
Основные причины изменения цвета зубов:
- вследствие частого употребления таких напитков, как очень крепкий чай, кофе, а также курение табака, зубы приобретают цвет от желтокоричневого до почти черного. В подобных случаях изменяется цвет поверхностных слоев эмали;
- нарушение структуры зубов — так называемые тетрациклиновые зубы, поражение зубов флюорозом;
- проникновение пигментов в дентин в период его развития: например, билирубин вызывает окрашивание дентина у детей с тяжелыми поражениями печени;
- ошибки в лечении;
- травмы;
- возрастные изменения цвета.
Отбеливание зубов можно проводить в кабинете стоматолога, однако существуют методы, которые можно применять в домашних условиях.
В состав препаратов, используемых для отбеливания зубов, входят перекись водорода, карбамида пероксид и перборат натрия.
Перекись водорода. При проведении отбеливания перекись водорода проникает через органический матрикс эмали и дентина и происходит взаимодействие активных радикалов с ненасыщенными связями молекул, как, например, в реакции с b-каротином, когда в результате окисления окрашенная в яркий красный цвет молекула (b-каротина расщепляется на две бесцветные молекулы транс-ретинола:

Карбамид пероксида. Обычно его применяют в 10—15 % концентрации. Как правило, отбеливатели на основе карбамида содержат карбопол, замедляющий выделение перекиси водорода.
Перборат натрия. Препараты, содержащие этот отбеливатель, выпускают в виде геля или порошка. При отбеливании депульпированных зубов перборат натрия придает им блеск.
Следует знать, что при отбеливании зуба возможно такое осложнение, как "переотбеливание": происходят разрушение тканей зуба под действием реакции оксидации, декомпозиция структуры эмали, разрушение эмалевого матрикса. Зуб в результате может стать тусклым, порозным. Наиболее агрессивными являются растворы Н2 О2 30—35 % концентрации.
Частое осложнение отбеливания "живых" зубов — гиперестезия. В настоящее время этот ценный метод лечения депульпированных зубов у многих специалистов вызывает недоверие из-за корневой пришеечной резорбции.
Факторы, влияющее на отбеливание:
- чистота зубов. Загрязнение поверхности зубов ухудшает процесс отбеливания;
- концентрация перекиси водорода.Чем выше концентрация перекиси водорода, тем более выражен эффект. Максимальная концентрация, применяемая для отбеливания, — 35 %. При добавлении геле-образующих агентов концентрация снижается до 25 %;
- физические факторы: температура (повышение температуры зуба на 10° С ускоряет химическую реакцию в 2 раза. Можно повышать температуру, ориентируясь на то, что пациент не испытывает дискомфорта); аргоновый и углекислый лазеры (лазерное излучение применяют для активации перекиси водорода в присутствии специальных катализаторов. Лазерная технология отбеливания способна обеспечить надежный результат за сравнительно короткое время. Такое отбеливание не оказывает практически никакого вредного воздействия на твердые ткани зубов. Под влиянием лазерного излучения молекула перекиси водорода расщепляется на воду и свободный радикал кислорода. Последний, реагируя с молекулой пигмента, вызывает обесцвечивание. Лазерная технология отбеливания позволяет устранить практически любой вид окрашивания эмали и отбелить зубы на 8—10 ступеней по шкале VITA. Желтый и коричневый пигменты чувствительны к свету аргонового лазера, а голубой и черный — к инфракрасным лучам углекислого лазера);
- освечивание. Дополнительное воздействие на отбеливатель ультрафиолетового света или света лампы для полимеризации композитных пломб;
- рН-фактор. Оптимальное значение рН для перекиси водорода от 9,5 до 10,8;
- время. Существует прямая пропорциональная зависимость: чем больше экспозиция, тем выраженнее эффект.
Местные противопоказания к проведению отбеливания:
- большая пульпарная полость, так как возможна гиперестезия;
- значительные обнажение корней и убыль эмали, обширные реставрации, наличие пломб с плохим краевым прилеганием, выраженные воспалительные, явления в пародонте;
- нельзя отбелить зубы у злостного курильщика.
Общие противопоказания:
- беременность и кормление грудью. Влияние отбеливания на организм беременной не изучено, поэтому стоматолог должен рекомендовать воздержаться от проведения отбеливания в течение нескольких месяцев;
- наличие аллергической реакции на перекись водорода. Мягкие ткани полости рта следует изолировать коффердамом.
Существуют также местные противопоказания[5] .
1. Крупная пульпарная камера зубов. Проникновение отбеливающего агента в дентин и близко к пульпе может вызвать гиперестезию зубов.
2. Наличие кариозных полостей.
3. Наличие некариозных поражений (эрозий и т. д.). Проведение отбеливания в этом случае обязательно приведет к усилению или развитию выраженной гиперестезии.
4. Значительная убыль эмали в результате патологической или возрастной стираемости, глубокие трещины на поверхности эмали.
5. Ортодонтическое лечение.
6. Наличие пломб сомнительного качества, которые необходимо заменить из-за негарантированного краевого прилегания.
7. Наличие острых и обострение хронических заболеваний пародонта, а также таких явлений, как рецессия десны, обнажение корней зубов и зубные отложения.
8. Заболевания слизистой оболочки рта.
В процесс отбеливания, как правило, не включают моляры. Для наглядности эффекта отбеливания эту процедуру лучше проводить раздельно на зубах верхней и нижней челюстей.
3. Проведение отбеливания
Проведение отбеливания в стоматологическом кабинете (методика для "живых" зубов).
1. Перед отбеливанием необходимо сфотографировать зубы или определить цвет, используя шкалу VITA.
2. Ткани десны лучше покрыть герметиком типа "Орасил", причем наносить его следует как с вестибулярной, так и с оральной стороны.
3. Наложение коффердама обязательно. Нельзя пользоваться лигатурами из невощеных флоссов, так как они являются аккумуляторами кислоты; следует применять специальные корды.
4. Поверхность зубов необходимо очистить пемзой.
5. Если цвет зубов изменен очень сильно, то можно протравить их поверхность 35 % фосфорной кислотой в течение 5—7 с для обеспечения лучшего проникновения отбеливающего раствора. Кислоту смывают водой.
6. Перед нанесением отбеливателя на область нижней губы накладывают салфетку, которая впитает излишки отбеливателя.
7. На высушенную поверхность зубов накладывают марлевую салфетку, пропитанную отбеливателем.
8. Для активации отбеливателя можно использовать лампу для отверждения композита.
9. Процесс отбеливания с освечиванием длится 3—5 мин. Химическая реакция проходит самостоятельно в течение 9 мин. Затем зубы отмывают водой комнатной температуры в течение 1 мин и снимают коффердам.
10. Отбеленные зубы необходимо отполировать и покрыть 1,1 % фторсодержащим гелем для предотвращения гиперестезии.
Врач должен предупредить пациента о необходимости воздержаться от употребления пищи и напитков, содержащих пигменты, а также от курения в течение 48 ч.
"Домашнее отбеливание". В домашних условиях можно проводить отбеливание только "живых" зубов. Концентрация отбеливателя не должна превышать 10—12 % (10 % раствор перекиси карбамида эквивалентен 3 % раствору перекиси водорода, он составляет 1/10 концентрации отбеливающего раствора, применяемого в стоматологическом кабинете). Как правило, результаты заметны уже через 2—3 нед, а полностью процесс завершается через 5—6 нед. Наилучшие результаты наблюдаются у 91 % пациентов с приобретенной или генетически обусловленной окраской зубов и несколько худшие — у лиц с "тетрациклиновыми" зубами.
В домашних условиях применяют "дневные" и "ночные" отбеливатели. Для наложения таких отбеливателей на зубы надевают каппу, в нее помещают отбеливатель. Пациент носит каппу в течение определенного времени в соответствии с инструкцией. Перед тем как надеть каппу, надо хорошо почистить зубы. Все "домашние" отбеливатели содержат синтетический полимер карбопод, который обеспечивает хорошую ретенцию каппы в полости рта и замедляет реакцию выделения кислорода.

Рис. 2. Каппа
Использование каппы с прорезями позволяет проводить избирательное отбеливание, не затрагивающее соседние зубы.
Отбеливание депульпированных зубов. Нередко "мертвые" зубы сильно отличаются от соседних "живых" цветом и прозрачностью. Как правило, это связано с неправильным лечением, каналов или с дегенеративными изменениями пульпы.

Рис. 3: а — с эмали и дентина депульпированного зуба удален пломбировочный материал, б — устье корневого канала изолировано фосфат-цементом, внутрь коронки нанесен отбеливающий гель, в — "отбеливание на ходу". 1 — фосфат-цемент, 2 — отбеливающее вещество, 3 — герметичная пломба
Признаки неправильного лечения корневых каналов:
- наличие в полости зуба остатков коронковой пульпы. Такое случается, если при проведении эндодонтического лечения полость зуба раскрыта неправильно и на ее стенках остаются обрывки тканей коронковой пульпы;
- остатки пломбировочного материала, которым запломбирован канал, в коронковой части зуба. Это приводит к изменению цвета и снижению прозрачности коронки зуба;
- пломбирование корневого канала материалом, окрашивающим коронку зуба (резорцин-формалиновая и эндометазоновая пасты, серебряные штифты);
- дегенеративные изменения пульпы вызывают интенсивное окрашивание коронки. Механизм окрашивания связан с тем, что при повреждении пульпы (травма) происходит кровоизлияние в полость зуба, эритроциты подвергаются гемолизу и выделяется гемоглобин. В результате деятельности бактерий образуется сульфид железа (очень темный пигмент):
Травма => Свободные эритроциты
Гемолиз => Гемоглобин
Железо + H2 S => Сульфид железа
Этапы отбеливания депульпированных зубов:
- определяют причину изменения цвета коронки зуба;
- убеждаются, что зуб "мертвый", применив тест на электрочувствительность;
- получают рентгеновский снимок;
- фотографируют зуб или определяют цвет по шкале VITA;
- при помощи пуговчатого зонда убеждаются, что полностью сохранены ткани зуба в наддесневой области и эпителиальное прикрепление;
- зуб, подлежащий отбеливанию, изолируют коффердамом;
- на глаза пациента надевают защитные очки;
- материал, которым запломбирован корневой канал, изолируют стеклоиономерным цементом;
- в полость зуба вносят отбеливатель;
- нагревают вестибулярную поверхность зуба;
- если желаемый эффект не достигнут, то в полость вносят отбеливающую пасту длительного действия.
Закрыть полость зуба только временным пломбировочным материалом недостаточно, так как его может повредить выделяющийся кислород, поэтому обязательно использование композитов.
"Побеление" коронки зуба неоднородно. Наиболее полное изменение цвета наблюдается в области режущего края, далее в порядке убывания следуют средний отдел и пришеечная область, что, по-видимому, объясняется неодинаковой прозрачностью твердых тканей коронки зуба на различных участках.
При оценке отдаленных результатов отбеливания зубов минимальные изменения цвета выявлены у 74 % пациентов через 1,5 года и у 62 % — через 3 года.
Можно провести коррекцию изменения цвета дефектов минерализации эмали зубов с помощью микроабразии. Микроабразия — это удаление микроскопически тонкого слоя эмали (12—26 мкм во время аппликации и до 200 мкм за сеанс) с помощью пасты, содержащей кислоту и абразив.

Рис. 4. Микроабразия эмали
В конце 80-х годов Т.П. Кролль предложил смесь хлористоводородной кислоты, карборунда и кремниевого геля для микроабразии эмали. На основе этой смеси в 1990 г. была выпущена паста под названием "Према".
Показанием к микроабразии при коррекции цвета является наличие белых и коричневых пятен на эмали в пределах ее поверхностных слоев при гипоплазии, флюорозе.
После проведения отбеливания по данной методике в ряде случаев улучшается структура поверхностного слоя эмали.
Техника проведения микроабразии достаточно проста. Абразивное средство помещают в резиновую чашечку и медленными вращениями наконечника втирают в эмаль. Зуб периодически промывают водой. В процессе микроабразии необходимо контролировать все поверхности зуба, чтобы не было значительного истончения эмали. Как правило, данную процедуру осуществляют в одно посещение. После микроабразии формируется поверхностный беспризменный слой, который хорошо передает блеск и прозрачность эмали.
Меры безопасности при микроабразии эмали: для пациента — наличие коффердама; для врача — резиновые перчатки, использование нйзкоскоростного наконечника; для пациента и врача обязательны защитные очки.
Более полноценный и долгосрочный результат наблюдается при сочетании отдельных видом отбеливания зубов: "домашнеого" и клинического, "домашнего" и внутрикоронкового, микроабразии и "домашнего" отбеливания.
Следует помнить, что при помощи инструментов и методов профессиональной гигиены можно добиться хорошего косметического эффекта. От налета и зубных отложений можно достаточно хорошо очистить зубы, используя ультразвук и методику "Эр-Флоу".
Врач, занимающийся отбеливанием зубов, обязательно должен учитывать все показания и противопоказания к проведению этой процедуры.
При профессиональном отбеливании с применением перекиси водорода в качестве отбеливающего агента особенно необходимо чувство меры. При слишком длительной экспозиции отбеливателя может возникнуть феномен "переотбеливания" или состояние "хронического отбеливания", сопровождаемое разрушением эмалевого матрикса. "Переотбеленные" зубы тусклые, меловидные, пористые[6] . Такой эффект относят к осложнениям профессионального отбеливания.
Добавим, что процесс отбеливания не может идти беспредельно и из зубов темно-коричневого цвета никогда не сделать молочно-белых. Как правило, реально осветление зубов на 1,5—2 тона по шкале VITA. Наибольший эффект дает отбеливание зубов желто-коричневой гаммы; серая гамма поддается отбеливанию хуже.
4. Нововведения в технологии отбеливания зубов
В последнее время применяется дифференцированный подход в случае изменения зубов вследствие приема антибактериальных препаратов тетрациклинового ряда. В прошлом такие пациенты не считались имеющими показания к отбеливанию и у них использовали другие методики. В настоящее время этим пациентам для устранения большей части изменений требуется проведение отбеливания перед сном на протяжении от двух до шести месяцев.
Другим существенным нововведением в технологии отбеливания является применение нитрата калия в случаях наличия у пациентов гиперчувствительности. При осуществлении процедуры отбеливания необходимо учитывать беременность, большое количество выполненных пломбирований, а также вкусовые ощущения. Но ни одна из этих проблем по своей значимости не является столь актуальной, как гиперчувствительность. При возникновении этого феномена пациенты, как правило, прекращают терапию.
Нитрат калия представляет собой стандартный ингредиент десенсибилизирующих зубных паст. В случае применения такой зубной пасты эффект развивается не ранее чем через три недели, а при непосредственном нанесении нитрата калия на поверхность зуба — по истечении 30 минут. Ряд производителей предлагают отбеливающие гели, содержащие нитрат калия. Это не является универсальным решением, поскольку не у всех возникает гиперчувствительность, а добавление нитрата калия снижает эффективность отбеливания. Более оптимально проведение десенсибилизирующей терапии по показаниям путем нанесения аппликаций азотнокислого калия и соединений фтора. Отбеливание в домашних условиях при помощи 20% перекиси карбамида столь же эффективно, как и фототерапия с применением 35% перекиси водорода в кабинете врача. Более того, использование в амбулаторных условиях фототехнологий, вне зависимости от их разновидности (лазер, плазменная дуга), не показало каких-либо преимуществ в ходе исследований со слепым контролем. Высокий первоначальный интерес к инструментально-технологическим методам отбеливания был обусловлен рекламным преувеличением радикальности одноразовой терапии. В реальных условиях требуется от двух до шести посещений врача при существенно больших расходах по сравнению с лечением в домашних условиях. Кроме того, потенциальная опасность повреждения нерва вследствие температурных изменений, вызываемых источником света при фотопроцедурах, а также химического ожога 35% перекисью водорода также делают методом выбора методику отбеливания в домашних условиях.
Принятие решения о "ночном" или "дневном" отбеливании представляет собой актуальный вопрос. Половина активного отбеливающего ингредиента подвергается утилизации. Вторая половина расходуется на протяжении последующих десяти часов. Вот почему с экономической точки зрения "ночная" методика предпочтительнее. Кроме того, многократное нанесение геля в течение дня способствует возникновению гиперчувствительности. — Предлагаются отбеливающие гели с различным диапазоном активности в зависимости от содержания активного ингредиента (10-20%). Американская стоматологическая ассоциация на основании имеющихся данных клинической безопасности рекомендует исключительно 10% перекись карбамида. В то же время, нет оснований отказываться от использования более концентрированных препаратов. Однако следует иметь в виду, что более концентрированные агенты обеспечивают незначительно более высокую интенсивность отбеливания при существенно более высокой вероятности развития гиперчувствительности. Отличные результаты дает применение 10% геля в течение незначительно более длительного периода времени. Независимо от уверений производителя, изложенных в прилагаемой документации, двухнедельный курс терапии не является оптимальным. Процедуру следует проводить до получения желаемого пациентом эффекта или же до прекращения дальнейшего изменения цвета зубов.
Лазерное отбеливание. Является сравнительно новым методом, и только недавно получило одобрение федерального управления по использованию лекарственных препаратов. Несмотря на свое громкое имя, лазерное отбеливание — это разновидность простого отбеливания, выполняемого врачом в офисе.
Процедура во многом похожа: губы и десны изолируются, на зубы наносится отбеливающий гель. Единственная разница в том, что для активации отбеливающего агента используется аргоновый лазер вместо лампы.

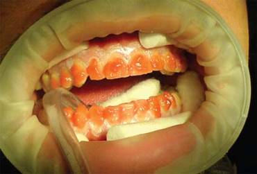
Рис. 5. Активированный отбеливающий гель нанесен на зубы
Разработчики утверждают, что эта процедура дает лучший результат, чем стандартное отбеливание. Но ещё не завершены клинические исследования, чтобы обосновать такие заявления. Лазерное отбеливание дороже обычного, цены колеблются между $750 и $2000 за два ряда зубов.
Таблица 1. Сравнение методов отбеливания зубов
| Способ отбеливания | Процедура | Время | Стоимость (за оба ряда зубов) | Преимущества | Недостатки |
| 1) Простое отбеливание в офисе у стоматолога | Стоматолог изолирует губы, десны, мягкие ткани полости рта пациента. Отбеливающий агент наносится на зубы, и затем активируется с помощью специальной лампы. | 1-2 часа | $600-$1200 | Наилучшие результаты на сегодняшний день. Быстро и удобно. | Относительно дорого. |
| 2) Лазерное отбеливание | Похоже на простое отбеливание, с той лишь разницей, что для активации отбеливающего агента используется лазер. | 1-2 часа | $750-$2000 | Сторонники утверждают, что результат лучше, чем при простом отбеливании. Быстро и удобно. | Дорого |
| 3) Домашние отбеливающие системы, приобретенные у врача | Доктор создает специальную форму (каппу) для ваших зубов. Каждый вечер пациент помещает отбеливающий агент в форму, которую одевает на свои зубы. | 2-3 недели | $300-$500 | Хороший результат. Под контролем лечащего врача. | Наличие геля и форм во рту в течении длительного времени. |
| 4) Домашние отбеливающие системы, приобретенные в магазине. | Пациент помещает отбеливающий агент в зубную форму; одевает форму на зубы на ночь. | 2-3 недели | $30-$300 | Недорого. | Не рекомендуется. Слабый результат. Стандартные зубные формы не обеспечивают защиты против проглатывания отбеливателя. Наличие геля и форм во рту в течении длительного времени. |
Заключительные выводы
Известно, что красивые "жемчужные" зубы являются символом здоровья и преуспевания современного человека. Поэтому стремление к светлой привлекательной улыбке вызвало развитие еще одного из направлений эстетической стоматологии — отбеливания зубов.
Растет спрос населения на наиболее оптимальные способы обеспечения белого цвета зубов, что обусловливает появление большого числа соответствующих технологий и коммерческих продуктов. Возникает проблема индивидуального подбора продуктов и технологий в каждом конкретном случае.
Для решения данного вопроса необходима консультация наблюдающего стоматолога. В случае, если пациент серьезно обеспокоен цветом своих зубов, необходимо установить причину его изменения и определить метод, который обеспечил бы отбеливание. Стоматологу нужно установить природу пятнообразования и потерклестественного цвета зубов. Серия рентгенологических исследований поможет выявить возможную связь изменений цвета с нарушением иннервации ("мертвый" нерв), После завершения обследования специалист должен наметить наиболее оптимальный план лечения.
Широкий арсенал методик и препаратов для коррекции измененных в цвете эмали и дентина требует от стоматолога знания как причин изменения естественного цвета зубов, так и применения адекватного технологического процесса отбеливания.
Литература
1. Иоффе Е. Зубоврачебные заметки. Отбеливание зубов // Новое в стоматологии, 1998, № 4. С. 29-33.
2. Как получить ослепительную улыбку? // http://www.andreev.org/articles/white-smile.html
3. Максимовский Ю.М., Макеева И.М., Жохова Н. С. Да или нет отбеливанию зубов // Стоматология для всех, 1998, № 4. С. 18-20.
4. Отбеливание живых зубов // http://zubik.com.ua/esteticheskaia-stamotolog/otbelivanie-zubov/otbelivanie-zhivyh-zubov_2007021587.html
5. Отбеливание зубов // http://www.fenestra.kiev.ua/fenestra/02r.htm
6. Петрикас О.А. Исправление цветовых и структурных дефектов зубов и зубных рядов // Новое в стоматологии, 1998, №6 (спец. выпуск). —Часть 2. — С. 3-17.
7. Смоляр Н.И., Кононенко В.В., Безвушко Э.В. Перспективы применения методики коррекции измененных в цвете зубов препаратами на основе пероксида карбамида // Современная стоматология, 2001. № 3. С. 15—18.
8. Спиридонова Т.Н. Отбеливание зубов // Современная стоматология, 2000, № 2. С. 15-18.
9. Терапевтическая стоматология: Учебник / Под ред. Ю.М. Максимовского. — М.: Медицина, 2002. — 640 с.
10. Технология отбеливания зубов // Новые медицинские технологии, 2001. № 3. С. 48.
[1] Смоляр Н.И., Кононенко В.В., Безвушко Э.В. Перспективы применения методики коррекции измененных в цвете зубов препаратами на основе пероксида карбамида // Современная стоматология, 2001. № 3. С. 15.
[2] Терапевтическая стоматология: Учебник / Под ред. Ю.М. Максимовского. — М.: Медицина, 2002. C. 154.
[3] Отбеливание зубов // http://www.fenestra.kiev.ua/fenestra/02r.htm
[4] Максимовский Ю.М., Макеева И.М., Жохова Н. С. Да или нет отбеливанию зубов // Стоматология для всех, 1998, № 4. С. 18.
[5] Отбеливание живых зубов // http://zubik.com.ua/esteticheskaia-stamotolog/otbelivanie-zubov/otbelivanie-zhivyh-zubov_2007021587.html
[6] Отбеливание живых зубов // http://zubik.com.ua/esteticheskaia-stamotolog/otbelivanie-zubov/otbelivanie-zhivyh-zubov_2007021587.html
Похожие рефераты:
Рот и зубы. Заболевания полости рта и зубов
Изучение защитного действия зубных паст
Заболевания зубов и ротовой полости
Подбор цвета в керамике и металлокерамике
Неотложные состояния в стоматологии
Лечение, возможные ошибки и осложнения в диагностике и лечении кариеса зубов
Галитоз. Диагностика и лечение
Экспертиза текстильных волокон и нитей и показатели качества зубных паст