Похожие рефераты Скачать .docx Скачать .pdf

Реферат: Черепно-мозговая травма

Реферат

Тема: Черепно-мозговая травма

Содержание

Введение

1 Черепно-мозговая травма: общее понятие

2 Закрытая черепно-мозговая травма

2.1 Сотрясение головного мозга

2.2 Ушиб головного мозга

2.3 Сдавление головного мозга

2.4 Переломы основания (свода) черепа

3 Открытая черепно-мозговая травма

Заключение

Список использованной литературы


Введение

Казалось бы, нашему головному мозгу мало что угрожает. Ведь он защищен по полной программе. Его омывает специальная жидкость, которая не только обеспечивает мозгу дополнительное питание, но и служит своеобразным амортизатором. Мозг покрыт несколькими слоями оболочек. В конце концов, он просто надежно спрятан в черепе. Тем не менее, травмы головы очень часто заканчиваются для человека серьезными проблемами с мозгом. Черепно-мозговая травма является одной из наиболее значимых в здравоохранении.

В мире черепно-мозговая травма как причина смерти населения занимает третье место, уступая лишь сердечно-сосудистым и онкологическим заболеваниям. Однако среди детей, лиц молодого и младшего среднего возраста она оставляет своих «конкурентов» далеко позади, превышая смертность вследствие сердечно-сосудистых заболеваний в 10, а рака — в 20 раз. При этом почти в 50% случаев причиной смерти вследствие травматизма являются повреждения головного мозга. Черепно-мозговая травма является одной из ведущих причин инвалидизации населения.

В России такая травма как причина смерти выходит на второе место, уступая в этом лидерство лишь сердечно-сосудистым заболеваниям. Ежегодно черепно-мозговую травму получают около 600 тыс. человек, 50 тыс. из них погибают, а еще 50 тыс. становятся инвалидами. Частота черепно-мозговых травм у мужчин в два раза превышает таковую у женщин с сохранением этой зависимости во всех возрастных группах. Причинами чаще всего являются автомобильная травма и бытовой травматизм.

Закрытая черепно-мозговая травма встречается значительно чаще, чем открытая, и составляют около 90% всех травматических поражений головного мозга. Среди всех травм головы сотрясение мозга занимает первое место.

Цель данной работы – дать определение черепно-мозговой травме; охарактеризовать отличительные особенности закрытой и открытой черепно-мозговой травмы; описать клинику и методы лечения сотрясения, ушиба, сдавления мозга, перелома костей основания (свода) черепа.

Структура работы: работа состоит из введения, четырех глав, заключения и списка использованной литературы. Общий объем работы 17 страниц.


1 Черепно-мозговая травма: общее понятие

Черепно-мозговая травма (ЧМТ) — механическое повреждение черепа, головного мозга и его оболочек. При повреждении головного мозга возникают нарушения мозгового кровообращения, ликвороциркуляции, проницаемости гематоэнцефалического барьера. Развивается отек мозга, который вместе с другими патологическими реакциями обусловливает повышение внутричерепного давления.

Смещение и сдавление мозга могут приводить к вклинению мозгового ствола в отверстие мозжечкового намета либо в большое затылочное отверстие. Это, в свою очередь, вызывает дальнейшее ухудшение кровообращения, метаболизма и функциональной активности головного мозга.

Неблагоприятным фактором поражения мозга является гипоксия вследствие нарушения дыхания или падения системного артериального давления.

Различают закрытую черепно-мозговую травму, при которой отсутствуют условия для инфицирования мозга и его оболочек, и открытую, которая часто приводит к развитию инфекционных осложнений со стороны мозговых оболочек (менингит) и мозга (абсцесс, энцефалит). К закрытой травме относят все виды черепно-мозговых повреждений, при которых не нарушается целость кожного покрова головы, и ранения мягких тканей, которые не сопровождаются повреждением апоневроза.

Для открытой черепно-мозговой травмы характерно одновременное повреждение мягких покровов головы и черепных костей. Если она сопровождается нарушением целости твердой мозговой оболочки, ее называют проникающей, в этом случае опасность инфицирования мозга особенно велика.

Повреждения черепа могут быть в виде трещин, дырчатых и вдавленных переломов, переломов костей основания черепа.

Внешними признаками перелома основания черепа являются кровоподтеки вокруг глаз в виде очков, кровотечение и истечение ликвора из носа и уха.

Клиническая симптоматика травматических повреждений складывается из общемозговых симптомов и местных расстройств, обусловленных поражением определенных участков мозга.

Оказание первой помощи заключается, прежде всего, в предупреждении попадания крови, спинномозговой жидкости или рвотных масс в дыхательные пути.

Диагноз черепно-мозговая травма ставят на основе оценки анамнеза и клинических признаков повреждений головного мозга и всех его покровов. Для уточнения диагноза применяют инструментальные методы исследования.

Всем пострадавшим с черепно-мозговой травмой делают рентгеновские снимки черепа (краниографию), обычно в 2 проекциях - боковой и прямой. Они позволяют выявлять (или исключать) трещины и переломы костей свода черепа.

Распознавание переломов костей основания черепа нередко требует для снимка специальных укладок, однако наличие кровотечения или особенно ликворен из носа либо уха позволяет определять их и клинически. Эхоэнцефалография позволяет выявить сдавление головного мозга вследствие внутричерепной гематомы, гигромы или очага размозжения мозга.

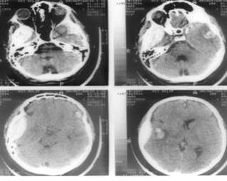
Наиболее информативным методом диагностики черепно-мозговой травмы является компьютерная рентгеновская томография, дающая представление о нарушениях анатомо-топографических соотношений в полости черепа. По изменению плотности тканей удается установить расположение, характер и степень ушибов мозга, выявить оболочечные и внутримозговые гематомы и гигромы, субарахноидальные и внутрижелудочковые кровоизлияния, отек мозга, а также расширение или сдавление желудочковой системы и цистерн основания мозга.

Реже для выявления оболочечных гематом применяют церебральную ангиографию, которая при обнаружении смещения магистральных сосудов и особенно характерной для этих гематом безсосудистой зоны на ангиограмме позволяет распознавать не только их наличие, но и локализацию.

Объем и характер лечения мероприятий определяются тяжестью и видом черепно-мозговой травмы, выраженностью отека мозга и внутричерепной гипертензии, нарушений мозгового кровообращения, ликвороциркуляции, метаболизма мозга и его функциональной активности, а также осложнениями и вегетовисцеральными реакциями, возрастом пострадавшего и другими факторами.


2 Закрытая черепно-мозговая травма

Основными клиническими формами черепно-мозговой травмы являются сотрясение мозга, ушибы мозга (легкой, средней и тяжелой степени), сдавление мозга, переломы костей свода или основания черепа.

2.1 Сотрясение головного мозга

Сотрясение головного мозга - функционально обратимое повреждение головного мозга с кратковременной потерей сознания. Патоморфологические изменения могут быть выявлены лишь на клеточном и субклеточном уровнях.

Сотрясение головного мозга обычно проявляется потерей сознания различной продолжительности (от нескольких мгновений до нескольких минут).

После выхода из бессознательного состояния отмечаются головная боль, тошнота, иногда рвота, больной почти всегда не помнит обстоятельств, предшествовавших травме, и самого момента ее (ретроградная амнезия), с трудом узнает окружающих его людей. Утрата памяти является важным признаком, по которому можно судить о тяжести повреждения мозга: помнит ли человек момент травмы, и если нет, то насколько большой кусок времени до травмы выпал из его памяти. Чем больше провал памяти, тем серьезнее травма!

Длительное (свыше 1-2 часов) бессознательное состояние обычно указывает на более серьезные повреждения — ушиб или сдавление мозга. Однако непродолжительная потеря сознания не исключает возможности сочетания ушиба мозга с его сдавлением. Это бывает в тех случаях, когда при ушибе происходит разрыв кровеносных сосудов в оболочках или веществе мозга и образуется внутричерепное кровоизлияние, которое постепенно увеличивается и вызывает сдавление мозга.

Характерны побледнение или покраснение лица, учащение пульса, общая слабость, повышенная потливость. Жизненно важные функции не нарушены, очаговая неврологическая симптоматика отсутствует. Все эти симптомы постепенно исчезают, обычно за 1-2 недели. Но это не значит, что сотрясение мозга прошло бесследно. У некоторых больных надолго сохраняются общая слабость, головные боли, неустойчивость сосудистой системы, повышенная эмоциональность, снижение трудоспособности.

В первые часы после сотрясения мозга у пострадавшего расширены или сужены зрачки - черепно-мозговая травма любой степени тяжести приводит к нарушению нервных путей, ответственных за работу глаз. При легком сотрясении мозга зрачки реагируют на свет, но вяло, а при тяжелом реакция отсутствует вовсе. При этом расширение только одного из зрачков и отсутствие реакции у второго является грозным симптомом и может говорить о тяжелом ушибе мозга.

Госпитализация обязательна, поскольку поначалу симптомы сотрясения и более тяжелых травм мозга (например, ушиб мозга или внутричерепное кровоизлияние) могут быть идентичны. Только врач может определить, какая конкретно травма была получена. Не исключено, что может потребоваться рентгенологическое обследование (снимок костей черепа) с целью исключения перелома костей черепа. Постоянное наблюдение как минимум в течение 24 часов после травмы с целью своевременной диагностики сдавления головного мозга.

При сотрясении головного мозга проводят консервативное лечение: назначают ненаркотические анальгетики при болях, антибактериальные средства при наличии ран мягких тканей, седативные и снотворные средства, постельный режим на 7-10 суток.

Больным с сотрясением мозга необходимо соблюдать постельный режим, при этом нельзя читать, слушать музыку и даже смотреть телевизор. Следует помнить, что у человека, перенесшего даже легкое сотрясение мозга, может развиться посттравматический невроз или другие, более серьезные осложнения, например, эпилепсия. Поэтому через некоторое время после выздоровления обязательно следует пройти электроэнцефалографию и посетить невропатолога.

2.2 Ушиб головного мозга

Ушиб головного мозга – черепно-мозговая травма, характеризующаяся очаговыми макроструктурными повреждениями мозгового вещества различной степени тяжести. Это всякое местное повреждение мозгового вещества — от незначительного, вызывающего в пострадавшем участке только мелкие кровоизлияния и отек, до самого тяжелого, с разрывом и размозжением мозговой ткани. Ушиб возможен при закрытой и открытой черепно-мозговой травме.

Патоморфология: изменения в очаге ушиба, деструкция (размозжение) вещества мозга, мелкоточечные кровоизлияния (вследствие разрыва сосудов под воздействием механического фактора) в паренхиме мозга, перифокальный отёк мозга, травматическое субарахноидальное кровоизлияние в результате разрывов сосудов мягкой мозговой оболочки, переломы костей черепа, переломы костей свода черепа без сдавления (линейные и оскольчатые), переломы костей основания черепа (с разрывом оболочек) - истечение СМЖ через нос (ринорея) или наружный слуховой проход (оторея), вдавленные переломы - компрессия головного мозга, переломы костей свода черепа - образование внутричерепных гематом, сдавление мозга.

Ушиб головного мозга лёгкой степени. Отличается выключением сознания до 1 часа после травмы, жалобами на головную боль, тошноту, рвоту. В неврологическом статусе отмечаются ритмическое подёргивание глаз при взгляде в стороны (нистагм), менингеальные знаки, асимметрия рефлексов. На рентгенограммах могут быть выявлены переломы костей свода черепа. В ликворе - примесь крови (субарахноидальное кровоизлияние).

Ушиб головного мозга средней степени. Сознание выключается на несколько часов. Выражено выпадение памяти (амнезия) на события, предшествовавшие травме, саму травму и события после неё. Жалобы на головную боль, неоднократную рвоту. Выявляются кратковременные расстройства дыхания, частоты сердечных сокращений, артериального давления. Могут быть нарушения психики. Отмечаются менингеальные знаки. Очаговая симптоматика проявляется в виде неравномерной величины зрачков, нарушений речи, слабости в конечностях и т.д. При краниографии часто констатируются переломы свода и основания черепа. При люмбальной пункции - значительное субарахноидальное кровоизлияние.

Ушиб головного мозга тяжёлой степени. Характеризуется длительным выключением сознания (продолжительностью до 1-2 недель). Выявляются грубые нарушения жизненно важных функций (изменения частоты пульса, уровня давления, частоты и ритма дыхания, температуры).

В неврологическом статусе отмечаются признаки поражения ствола мозга - плавающие движения глазных яблок, нарушения глотания, изменение мышечного тонуса и т.д. Могут выявляться слабость в руках и ногах вплоть до параличей, а также судорожные припадки. Ушиб тяжёлой степени сопровождается, как правило, переломами свода и основания черепа и внутричерепными кровоизлияниями.

Окончательный диагноз ставят по результатам рентгенографии черепа в прямой и боковой проекциях (наличие повреждения костей), КТ и МРТ.

Основной метод лечения - консервативный: госпитализация обязательна, постельный режим, поддержание жизненно важных функций, при необходимости - реанимационные мероприятия; терапия отёка мозга; анальгетики при необходимости; при судорогах - противосудорожные средства; средства, улучшающие мозговое кровообращение и метаболизм, ноотропные средства.

Длительность постельного режима при ушибе легкой степени составляет 10-14 суток, при ушибе средней степени от 2 до 3 недель в зависимости от клинического течения и результатов инструментальных исследований. При субарахноидальном кровоизлиянии проводят гемостатическую терапию. Спинномозговую пункцию с лечебно-диагностической целью производят при отсутствии признаков сдавления и дислокации мозга. Хирургическое лечение показано при ушибе мозга с размозжением его ткани (наиболее часто возникает в области полюсов лобной и височной долей).

При легких ушибах мозга двигательные, чувствительные и другие расстройства обычно полностью исчезают в течение 2-3 недели. При более тяжелых ушибах, как правило, остаются стойкие последствия: парезы и параличи, нарушения чувствительности, расстройства речи, могут возникать эпилептические припадки.

2.3 Сдавление головного мозга

Сдавление головного мозга - прогрессирующий патологический процесс в полости черепа, вызывающий компрессию головного мозга, возникающий в результате травмы. При любом морфологическом субстрате может произойти истощение компенсаторных механизмов, что приводит к сдавлению, дислокации, вклинению ствола мозга и развитию угрожающего жизни состояния. Вдавленные переломы свода черепа - причина локальной компрессии мозга.

Основной причиной сдавления мозга при черепно-мозговой травме является скопление крови в замкнутом внутричерепном пространстве. В зависимости от отношения к оболочкам и веществу мозга выделяют

эпидуральные (расположенные над твёрдой мозговой оболочкой, в 20% случаев), субдуральные (между твёрдой мозговой оболочкой и паутинной оболочкой, 70-80%), внутримозговые (в белом веществе мозга и внутрижелудочковые (в полости желудочков мозга) гематомы; затем вдавленные переломы костей свода черепа (особенно проникновение костных отломков на глубину свыше 1 см);

очаги размозжения мозга;

перифокальный отёк;

субдуральные гигромы (ограниченное скопление СМЖ, возникает при надрыве арахноидальной оболочки, истечении ликвора в субдуральное пространство по клапанному механизму) и крайне редко пневмоцефалия (скопление воздуха в полости черепа).

Первыми признаками начавшегося сдавления мозга нарастающим кровоизлиянием служат усиление головных болей, беспокойство больного или, наоборот, сонливость, появляются и постепенно нарастают очаговые расстройства, такие же, как при ушибе мозга.

Признаки вклинения: усиление выраженности общемозгового синдрома, появление или нарастание очаговых полушарных и стволовых симптомов, угнетение сознания. Контралатеральная гемиплегия (на стороне, противоположной очагу сдавления), мидриаз, отсутствие реакции на свет, нерегулярное дыхание, кома. Наступает потеря сознания, возникают угрожающие жизни нарушения сердечной деятельности, дыхания и если не будет оказана соответствующая помощь, наступит смерть.

При вдавленном переломе мозг подвергается одновременно и сдавлению, и ушибу, а отек мозга развивается быстро. При сдавлении мозга гематомой разрыв кровеносного сосуда, особенно в оболочках мозга, может произойти при черепно-мозговых травмах без грубых повреждений мозговой ткани, вызвавшей только легкий ушиб мозга.

В большинстве случаев отмечается потеря сознания в момент травмы. В последующем сознание может восстанавливаться. Период восстановления сознания называется светлым промежутком. Спустя несколько часов или суток больной вновь может впасть в бессознательное состояние, что, как правило, сопровождается нарастанием неврологических нарушений в виде появления или углубления парезов конечностей, эпилептических припадков, расширения зрачка с одной стороны, урежения пульса (частота менее 60 в минуту) и т.д.

По темпу развития различают острые внутричерепные гематомы, которые проявляются в первые 3 суток с момента травмы, подострые - клинически проявившиеся в первые 2 недели после травмы и хронические, которые диагностируются после 2 недель с момента травмы.

Диагностика. Если больной находится в сознании, необходимо тщательное выявление обстоятельств и механизма травмы, так как причиной падения и ушиба головы может быть инсульт или эпилептический припадок. Часто больной не может вспомнить предшествовавшие травме события (ретроградная амнезия), непосредственно следующие за травмой (антероградная амнезия), а также сам момент травмы (коградная амнезия).

Необходимо тщательно осмотреть голову для поисков следов травмы. Кровоизлияния над сосцевидным отростком часто указывают на перелом пирамидки височной кости. Двусторонние кровоизлияния в клетчатку орбиты (так называемый «симптом очков») могут свидетельствовать о переломе основания черепа. Об этом же говорят кровотечение и ликворрея из наружного слухового прохода и носа. При переломах свода черепа во время перкуссии раздаётся характерный дребезжащий звук – «симптом треснувшего горшка».

Основной метод лечения – хирургический. Неотложная операция: костнопластическая или резекционная трепанация, декомпрессия (удаление крови, сгустков, вдавленных костных отломков) - устранение причины сдавления головного мозга, остановка кровотечения. Эвакуацию внутричерепных гематом следует выполнять в течение первых 4 часов после травмы.

Возможные осложнения: абсцесс головного мозга, эмпиема субдуральная, менингит, повторное образование гематомы, посттравматическая эпилепсия.

2.4 Переломы основания (свода) черепа

Переломы основания черепа - повреждение костей указанной области (в большинстве случаев продолжение переломов костей свода черепа), распространяющееся на костную основу передней, средней и задней черепных ямок.

При переломах свода черепа наблюдаются симптомы сотрясения или ушиба мозга, сочетающиеся с кровоизлияниями из оболочечных сосудов. Особого внимания требуют вдавленные переломы костей свода черепа, удаление которых предупреждает развитие тяжелых осложнений (травматическая эпилепсия).

Основными причинами этих повреждений являются падение с высоты на голову и прямой удар по средней линии лица, особенно в переносье.

Переломы основания черепа обычно сопровождаются разрывом твёрдой мозговой оболочки, формируется сообщение с внешней средой через носовую, ротовую полости, полость среднего уха, глазницу или придаточные пазухи носа, что обусловливает появление назальной, ушной ликвореи и посттравматической пневмоцефалии

Клиническая картина: общемозговые нарушения, симптомы поражения мозгового ствола и черепных нервов, чаще лицевого с картиной одностороннего пареза мускулатуры лица или слухового со снижением слуха, кровотечение и ликворея из носа, уха или глазницы. Потеря сознания достигает глубокого сопора или комы и часто продолжается несколько часов. Возможны генерализованные судороги с четким тоническим компонентом. В связи с ликвореей наблюдается внутричерепная гипотензия. Отмечаются признаки поражения мозгового ствола: бульбарный или псевдобульбарный синдром, аритмия дыхания, тахикардия, падение АД. Из черепных нервов чаще поражаются лицевой, преддверно-улитковый и отводящий. Наличие ликвореи создает постоянную угрозу возникновения гнойного менингита. Он может появиться и в другой период, возможны его рецидивы.

Перелом основания черепа может быть подтвержден краниограммой, сделанной по Стинверсу или Шюллеру. Однако придание голове пострадавшего специального положения в остром периоде травмы не всегда возможно. Кроме того, небольшие переломы на этих снимках могут не выявляться. Наиболее частый признак перелома основания черепа - затенение ячеек сосцевидного отростка или крыловидного синуса.

Лечение консервативное - при подозрении на трещину или перелом основания черепа производят обработку ушной раковины (или носа) антисептическим раствором с наложением асептической повязки, назначение массивных доз антибиотиков и сульфаниламидов, т.к. вероятность инфицирования полости черепа очень велика.

С первых минут после черепно-мозговой травмы больной должен находиться на строгом постельном режиме. Ему необходимо обеспечить свободный доступ воздуха. При потере сознания следует предотвратить аспирацию рвотных масс и слюны. Целесообразно назначение холода на голову. Необходимы противошоковые мероприятия: введение плазмы и плазмозаменителей, противоболевых, седативных, сосудистых средств. Для улучшения мозгового кровообращения целесообразно назначение циннаризина (стугерона) или кавинтона. Улучшает гемодинамику и активизирует метаболизм головного мозга сермион - эти препараты применяют при всех черепно-мозговых травмах не только в остром периоде, но и в течение 3-4 последующих недель. Помимо патогенетической терапии применяют симптоматические средства. Показаны также витамины, общеукрепляющие средства.


3 Открытая черепно-мозговая травма

При открытой черепно-мозговой травме полость черепа сообщается с внешней средой и, следовательно, высока вероятность инфекционных осложнений (менингит, абсцесс мозга, остеомиелит). В свою очередь, открытая делится на проникающую, при которой имеется повреждение твердой мозговой оболочки и непроникающую.

Помимо переломов основания черепа, сопровождающихся носовым или ушным кровотечением и истечением ликвора, чаще всего встречаются рвано-ушибленные раны головы с переломами подлежащих костей черепа. Нередки также резаные, рубленые и колотые раны. Особенно опасны проникающие ранения с повреждением твердой мозговой оболочки и вещества мозга.

Основными клиническими факторами, определяющими степень тяжести черепно-мозговой травмы, являются: продолжительность утраты сознания и амнезии (иногда протекает без первичной потери сознания, и медленное развитие комы указывает на внутричерепное кровотечение или на прогрессирующий отек мозга); степень угнетения сознания на момент госпитализации; наличие стволовой неврологической симптоматики.

Реанимационные мероприятия при тяжелой черепно-мозговой травме (очаги размозжения, диффузное аксональное повреждение) начинают на догоспитальном этапе. С целью нормализации дыхания обеспечивают свободную проходимость верхних дыхательных путей (освобождение их от крови, слизи, рвотных масс, введение воздуховода, интубация трахеи, трахеостомия), используют ингаляцию кислородно-воздушной смеси, а при необходимости проводят искусственную вентиляцию легких. Далее лечение проводят в стационаре. Пострадавшего нужно срочно доставить в больницу обязательно лежа, даже при самой кратковременной потере сознания. На месте происшествия никаких манипуляций на мозговой ране не проводят, на рану накладывают стерильную повязку, при выбухании мозгового вещества повязка не должна его сдавливать; вводить марлю или вату в ноздри, в ухо при кровотечении из них нельзя, это может осложнить течение раневого процесса.

Лечение пострадавших с открытыми и закрытыми повреждениями черепа и головного мозга имеет много общего, так как при них почти всегда отмечается сотрясение или ушиб головного мозга, что требует охранительной терапии, покоя, применения седативных средств, тщательного наблюдения за больными.

Заключение

В качестве вывода необходимо сказать о прогнозе и последствиях черепно-мозговой травмы.

Прогноз при легкой черепно-мозговой травме (сотрясение, ушиб мозга легкой степени) обычно благоприятный и подавляющее большинство больных полностью выздоравливают, если пострадавший соблюдает рекомендованный ему режим лечения и поведения.

При черепно-мозговой травме средней тяжести (ушиб мозга средней степени) часто удается добиться восстановления трудовой и социальной активности пациентов. У ряда пострадавших развиваются арахноидит и гидроцефалия, обусловливающие астенизацию, головные боли, вегетососудистую дистонию, артериальную гипертензию, нарушения статики и координации и другую неврологическую симптоматику.

При тяжелой черепно-мозговой травме (ушиб мозга тяжелой степени, сдавление мозга, открытых повреждений черепа) летальность достигает 45-60%. Своевременное удаление гематомы спасает больным жизнь, но выжившие часто остаются инвалидами. У них наблюдаются психические расстройства, эпилептические припадки, грубые двигательные нарушения.

Уход за больными с тяжёлой черепно-мозговой травмой заключается в предупреждении пролежней и гипостатической пневмонии (поворачивание больного в постели, массаж, туалет кожи, банки, горчичники, отсасывание слюны и слизи из полости рта, санация трахеи).

Даже при лёгкой и средней черепно-мозговой травме последствия дают знать о себе в течение месяцев или лет. Так называемый «посттравматический синдром» характеризуется головной болью, головокружением, повышенной утомляемостью, снижением настроения, нарушениями памяти.

Об исходах можно говорить через 1 год после черепно-мозговой травмы, так как в дальнейшем каких-либо существенных изменений в состоянии больного не происходит. Реабилитационные мероприятия включают лечебную физкультуру, физиотерапию, приём ноотропных, сосудистых и противосудорожных препаратов, витаминотерапию.


Список использованной литературы

1. Дралюк М.Г. Черепно-мозговая травма. Учебное пособие / М.Г. Дралюк, Н.С. Дралюк, Н.В.Исаева. - Ростов-на-дону: Феникс, 2006. – 192 с.

2. Клиническое руководство по черепно-мозговой травме. Том 1 / Под ред. А.Н.Коновалова, Л.Б. Лихтермана, А.А.Потапова. – М.: Антидор, 1998.

3. Кондаков Е.Н. Черепно-мозговая травма: Руководство для врачей неспециализированных стационаров / Е.Н.Кондаков, В.В.Кривецкий. – М.: Медицина, 2002.

4. Латышева В.Я. Черепно-мозговая травма: классификация, клиническая картина, диагностика и лечение. Учеб.пособие / В.Я.Латышева, М.В.Олизарович, В.Л.Сачковский. – Минск: Вышэйшая школа, 2005.

5. Лихтерман Л.Б., Потапов А.А. Черепно-мозговая травма. Краткая Медицинская Энциклопедия / Л.Б.Лихтерман, А.А.Потапов. – М.: Изд-во Советская Энциклопедия, 1995.

6. Электронное справочное руководство для врача скорой медицинской помощи. - 2006. [Электрон.ресурс]. Режим доступа: http://www.Med2000.ru

Похожие рефераты:

ЦНС

Неотложная помощь в невропатологии

Анализ ситуации, страхование рисков

Литература - Педиатрия (Книга Методы УЗИ в невропатологии и нейрохирургии

Лекция по нейрохирургии

Невропатология

Сборник тестовых заданий для итоговой государственной аттестации по специальности 0401 0402

Тесты по общей хирургии 3 курс

Диагностика внутричерепных гематом

Итоговое государственное тестирование

Боевые повреждения конечностей

Шпаргалка по неврологии

Принципы организации хирургической помощи населению в чрезвычайных условиях

Современные проблемы здоровья женщин и детей

Стандарты скорой медицинской помощи

Травмы и ортопедические заболевания

Выживание при землетрясениях