| Похожие рефераты | Скачать .docx | Скачать .pdf |
Реферат: Легкие, их строение, топография и функции. Доли легкого. Бронхо-легочный сегмент. Экскурсия легкого
ГОУ ВПО
«Красноярский государственный медицинский университет им. профессора Войно-Ясенецкого
Министерства здравоохранения и социального развития Российской Федерации»
Кафедра анатомии
Контрольная работа по анатомии
Тема: «Легкие, их строение, топография и функции. Доли легкого. Бронхо-легочный сегмент. Экскурсия легкого»
Красноярск 2009
ПЛАН
Вступление
1. Строение легких
2. Макро-микроскопическое строение легких
3. Границы лекгих
4. Функции легких
5. Вентиляция легких
6. Эмбриональное развитие легких
7. Легкие живого человека (рентген-исследование легких)
8. Эволюция дыхательной системы
9. Возрастные особенности легких
10. Врожденные пороки развития легких
Список используемой литературы
Вступление
Дыхательная система человека – совокупность органов, обеспечивающих в организме внешнее дыхание, или обмен газов между кровью и внешней средой и ряд других функций.
Газообмен выполняется легкими и в норме направлен на поглощение из вдыхаемого воздуха кислорода и выделение во внешнюю среду образованного в организме углекислого газа. Кроме того, дыхательная система участвует в таких важных функциях, как терморегуляция, голосообразование, обоняние, увлажнение вдыхаемого воздуха. Легочная ткань также играет важную роль в таких процессах как синтез гормонов, водно-солевой и липидный обмены. В обильно развитой сосудистой системе легких происходит депонирование крови. Дыхательная система также обеспечивает механическую и иммунную защиту от факторов внешней среды.
Главными органами дыхательной системы являются легкие.
1. Строение легких

Рис.1
Легкие (pulmones) – парные паренхиматозные органы, занимающие 4/5 полости грудной клетки и постоянно изменяющие форму и размеры в зависимости от фазы дыхания. Расположены в плевральных мешках, отделены друг от друга средостением, в состав которого входят сердце, крупные сосуды (аорта, верхняя полая вена), пищевод и другие органы.
Правое легкое объемистее, чем левое (приблизительно на 10 %), в то же время оно несколько короче и шире, во-первых, благодаря тому, что правый купол диафрагмы стоит выше левого (за счет объемистой правой доли печени) и, во-вторых, сердце располагается больше влево, уменьшая тем самым ширину левого легкого.
Форма легких. Поверхности. Края
Легкое имеет форму неправильного конуса с основанием, направленным вниз, и закругленной верхушкой, которая стоит на 3 – 4 см выше первого ребра или на 2 см выше ключицы спереди, сзади же доходит до уровня VII шейного позвонка. На верхушке легких заметна небольшая борозда от давления проходящей здесь подключичной артерии
В легком различают три поверхности. Нижняя (диафрагмальная) вогнута соответственно выпуклости верхней поверхности диафрагмы, к которой она прилежит. Обширная реберная поверхность выпукла соответственно вогнутости ребер, которые вместе с лежащими между ними межреберными мышцами входят в состав стенки грудной полости. Медиальная (средостенная) поверхность вогнута, приспособляясь в большей части к очертаниям околосердечной сумки, и делится на переднюю часть, прилегающую к средостению, и заднюю, прилегающую к позвоночнику.
Поверхности легкого отделены краями. Передний край отделяет реберную поверхность от медиальной. На переднем крае левого легкого имеется сердечная вырезка. Снизу эту вырезку ограничивает язычок левого легкого. Реберная поверхность сзади постепенно переходит в позвоночную часть медиальной поверхности, образуя тупой задний край. Нижний край отделяет реберную и медиальную поверхности от диафрагмальной.
На медиальной поверхности кверху и кзади от углубления, производимого околосердечной сумкой, располагаются ворота легкого, через которые бронхи, легочная артерия, а так же нервы входят в легкое, а две легочные вены и лимфатические сосуды выходят, составляя все вместе корень легкого. В корне легкого бронх располагается дорсально, положение же легочной артерии неодинаково на правой и левой стороне. В корне правого легкого легочная артерия располагается ниже бронха, на левой же стороне она пересекает бронх и лежит выше него. Легочные вены на обеих сторонах расположены в корне легкого ниже легочной артерии и бронха. Сзади, на месте перехода друг в друга реберной и медиальной поверхностей легкого, острого края не образуется, закругленная часть каждого легкого помещается здесь в углублении грудной полости по сторонам позвоночника.
Доли легкого
Каждое легкое посредством глубоко вдающихся в него борозд подразделяется на доли, которых у левого легкого две, а у правого – три. Одна борозда, косая, имеющаяся на обоих легких, начинается сравнительно высоко (на 6 – 7 см ниже верхушки) и затем косо спускается вниз к диафрагмальной поверхности, глубоко заходя в вещество легкого. Она отделяет на каждом легком верхнюю долю от нижней. Кроме этой борозды, правое легкое имеет еще вторую, горизонтальную борозду, проходящую на уровне IV ребра. Она отграничивает от верхней доли правого легкого клиновидный участок, составляющий среднюю долю. Таким образом, в правом легком имеется три доли: верхняя, средняя и нижняя. В левом легком различают только две доли: верхнюю, к которой отходит верхушка легкого, и нижнюю, более объемистую, чем верхнюю. К ней относится почти вся диафрагмальная поверхность и большая часть заднего тупого края легкого.
Разветвление бронхов. Бронхо-легочные сегменты
Соответственно делению легких на доли каждый из двух главных бронхов, подходя к воротам легкого, начинает делиться на долевые бронхи, которых в правом легком три, а в левом - два. Правый верхний долевой бронх, направляясь к центру верхней доли, проходит над легочной артерией и называется надартериальным; остальные долевые бронхи правого легкого и все долевые бронхи левого проходят под артерией и называются подартериальными. Долевые бронхи, вступая в вещество легкого, делятся на ряд более мелких, третичных бронхов, называемых сегментарными. Они вентилируют сегменты легкого. Сегментарные бронхи в свою очередь делятся дихотомически на более мелкие бронхи 4-го и последующих порядков вплоть до конечных и дыхательных бронхиол. Каждому сегментарному бронху легкого соответствует бронхо-легочный сосудисто-нервный комплекс.
Сегмент – участок легочной ткани, имеющий свои сосуды и нервные волокна. Каждый сегмент напоминает по форме усеченный конус, вершина которого направлена к корню легкого, а широкое основание покрыто висцеральной плеврой. В центре сегмента располагаются сегментарный бронх и сегментарная артерия, а на границе с соседним сегментом – сегментарная вена. Легочные сегменты отделяются друг от друга межсегментарными перегородками, состоящими из рыхлой соединительной ткани, в которой проходят межсегментарные вены (малососудистая зона). В норме сегменты не имеют четко выраженных видимых границ, иногда заметны благодаря разнице в пигментации. Бронхо-легочные сегменты – это функционально-морфологические единицы легкого, в пределах которых первоначально локализуются некоторые патологические процессы и удалением которых можно ограничиться при некоторых щадящих операциях вместо резекций целой доли или всего легкого. Существует много классификаций сегментов.
Представители разных специальностей (хирурги, рентгенологи, анатомы) выделяют разное число сегментов (от 4 до 12). Так Д. Г. Рохлин для целей рентгендиагностики составил схему сегментарного строения, согласно которой в правом легком имеется 12 сегментов (в верхней доле – три, в средней – два и в нижней – семь) и в левом – 11 (четыре в верхней доле и семь – в нижней). Согласно Международной (Парижской) анатомической номенклатуре, в правом легком различают 11 бронхо-легочных сегментов, в левом – 10 (рис.2).

Рис.2
2. Макро-микроскопическое строение легкого
Сегменты образованы легочными дольками, разделенными междольковыми соединительно-тканными перегородками. Междольковая соединительная ткань содержит вены и сети лимфатических капилляров и способствует подвижности долек при дыхательных движениях легкого. С возрастом в ней откладывается вдыхаемая угольная пыль, вследствие чего границы долек становятся ясно заметными. Число долек в одном сегменте около 80. Форма дольки напоминает неправильную пирамиду с диаметром основания 1,5 – 2 см. В верхушку дольки входит один мелкий (1 мм в диаметре) дольковый бронх, который разветвляется на 3 – 7 концевых (терминальных) бронхиол диаметром 0,5 мм. Они уже не содержат хряща и желез. Их слизистая оболочка выстлана однослойным реснитчатым эпителием. Собственная пластинка слизистой оболочки богата эластическими волокнами, которые переходят в эластические волокна респираторного отдела, благодаря чему бронхиолы не спадаются.
Ацинус
Структурно-функциональной единицей легкого является ацинус (рис.4). Он представляет собой систему альвеол, осуществляющих газообмен между кровью и воздухом. Начинается ацинус дыхательной бронхиолой, которая дихотомически делится 3 раза, дыхательные бронхиолы третьего порядка дихотомически делятся на альвеолярные ходы, которых тоже три порядка. Каждый альвеолярный ход третьего порядка заканчивается двумя альвеолярными мешочками. Стенки альвеолярных ходов и мешочков образованы несколькими десятками альвеол, в которых эпителий становится однослойным плоским (дыхательный эпителий). Стенку каждой альвеолы оплетает густая сеть кровеносных капилляров.
Респираторные бронхиолы, альвеолярные ходы и альвеолярные мешочки с альвеолами составляют единое альвеолярное дерево, или дыхательную паренхиму легкого. Они образуют функционально-анатомическую единицу ее, называемую ацинус, acinus (гроздь).
Число ацинусов в обоих легких достигает 800 тыс., а альвеол – 300-500 млн. Площадь дыхательной поверхности легких колеблется между 30 м. кв. при выдохе до 100 м кв. при глубоком вдохе. Из совокупности ацинусов слагаются дольки, из долек – сегменты, из сегментов – доли, а из долей – целое легкое.
Сурфактантная система легких
Сурфактант выстилает внутреннюю поверхность альвеол, имеется в плевре, перикарде, брюшине, синовиальных оболочках. Основу сурфактанта составляют фосфолипид, холестерол, белки и другие вещества. Сурфактант, выстилающий внутреннюю поверхность альвеол, снижает поверхностное натяжение альвеолярного слоя жидкости и предупреждает спадение альвеол. Он подобно мифическому Атланту поддерживает своды всех альвеол легкого, обеспечивая стабильность их объема: тем, которые функционируют, она не дает опасть во время выдоха, а тем, что находятся в резерве – полностью закрыться. В тех зонах, где продукция поверхностно-активной пленки нарушается, альвеолы спадаются, слипаются и уже не могут участвовать в газообмене. Такие безвоздушные зоны называют ателектазами. Если зона небольшая, то и беда небольшая. Но когда спадаются сотни альвеол, может развиться тяжелая форма дыхательной недостаточности.
Продуцируют сурфактант клетки альвеолоциты. Они уютно устроилась в стенке альвеолы. Работы у альвеолоцитов немало: пленка нуждается в постоянном обновлении. Ведь сурфактанту приходится выступать не только в роли Атланта, но в какой-то степени и в роли... санитара легких. Разнообразные инородные частицы, примеси, микроорганизмы, содержащиеся во вдыхаемом воздухе, проникая в альвеолы, в первую очередь попадают на пленку сурфактанта, и образующие ее поверхностно-активные вещества обволакивают их, частично обезвреживают. Понятно, что отработанный сурфактант подлежит удалению из легких. Часть его выводится через бронхи с мокротой, а другую часть поглощают и переваривают специальные клетки-макрофаги.
Чем интенсивнее дыхание, тем интенсивнее процесс обновления сурфактанта. Особенно много пленки расходуется и соответственно продуцируется тогда, когда мы занимаемся физической работой, физкультурой, спортом на свежем воздухе. В полости легкого появляется большое количество поверхностно-активной пленки, что облегчает проникновение воздуха в альвеолы. Раскрываются и начинают функционировать альвеолы, находящиеся в резерве.
Продукция сурфактанта снижается при резких метаболических нарушениях и поражениях легких. При недостатке сурфактанта развиваются отек и ателектазирование легких.
3. Границы легких
Верхушка правого легкого спереди выступает над ключицей на 2 см, а над 1 ребром на 3 – 4 см. Сзади верхушка легкого проецируется на уровне остистого отростка VII шейного позвонка
От верхушки правого легкого его передняя граница (проекция переднего края легкого) направляется к правому грудинно-ключичному сочленению, затем проходит через середину симфиза рукоятки грудины. Далее передняя граница опускается позади тела грудины, несколько левее средней линии, до хряща VI ребра и здесь переходит в нижнюю границу легкого.
Нижняя граница (проекция нижнего края легкого) пересекает по среднеключичной линии VI ребро, по передней подмышечной линии – VII ребро, по средней подмышечной линии – VIII ребро, по задней подмышечной линии – IX ребро, по лопаточной линии – Х ребро, по околопозвоночной линии заканчивается на уровне шейки XI ребра. Здесь нижняя граница легкого резко поворачивает кверху и переходит в заднюю его границу
Задняя граница (проекция заднего тупого края легкого) проходит вдоль позвоночного столба от головки II ребра до нижней границы легкого.
Верхушка левого легкого имеет такую же проекцию, как и верхушка правого легкого. Передняя граница его направляется к грудинно-ключичному сочленению, затем через середину симфиза рукоятки грудины позади ее тела опускается до уровня хряща IV ребра. Здесь передняя граница левого легкого отклоняется влево, идет вдоль нижнего края хряща IV ребра до окологрудинной линии, где резко поворачивает вниз, пересекает четвертый межреберный промежуток и хрящ V ребра. Достигнув хряща VI ребра, передняя граница левого легкого круто переходит в его нижнюю границу.
Нижняя граница левого легкого располагается несколько ниже (примерно на полребра), чем нижняя граница правого легкого. По околопозвоночной линии нижняя граница левого легкого переходит в заднюю его границу, проходящую слева вдоль позвоночника. Проекция границ правого и левого легких в области верхушки совпадают и сзади. Передняя и нижняя границы несколько отличаются справа и слева в связи с тем, что правое легкое шире и короче левого. Кроме того, левое легкое образует сердечную вырезку в области переднего его края.
4. Функции легких
Основная функция легких – обмен кислорода и углекислоты между внешней средой и организмом – достигается сочетанием вентиляции, легочного кровообращения и диффузии газов. Острые нарушения одного, двух или всех указанных механизмов ведут к острым изменениям газообмена.
До 60-х годов существовало мнение, что роль легких ограничивается только газообменной функцией. Лишь впоследствии было доказано, что легкие, помимо своей основной функции газообмена, играют большую роль в экзо- и эндогенной защите организма. Они обеспечивают очистку воздуха и крови от вредных примесей, осуществляют детоксикацию, ингибицию и депонирование многих биологически активных веществ. Легкие выполняют фибринолитическую и антикоагулянтную, кондиционирующую и выделительную функции. Они участвуют во всех видах обмена, регулируют водный баланс, синтезируют поверхностно-активные вещества, являются своеобразным воздушным и биологическим фильтром. В системе экзо- и эндогенной защиты, осуществляемой легкими, выделяют несколько звеньев: мукоцилиарное, клеточное (альвеолярные макрофаги, нейтрофилы, лимфоциты) и гуморальное (иммуноглобулины, лизоцим, интерферон, комплемент, антипротеазы и др.).
Другие метаболические функции легких
При избыточном поступлении продуктов белкового распада, а также жиров происходят их расщепление и гидролиз в легких. В альвеолярных клетках образуется сурфактант – комплекс веществ, обеспечивающих нормальную функцию легких.
В легких происходит не только газообмен, но и обмен жидкости. Известно, что из легких за сутки выделяется в среднем около 400–500 мл жидкости. При гипергидратации, повышенной температуре тела эти потери возрастают. Легочные альвеолы играют роль своеобразного коллоидно-осмотического барьера. При снижении коллоидно-осмотического давления (КОД) плазмы жидкость может выходить из сосудистого русла, приводя к отеку легких.
Легкие выполняют теплообменную функцию, являются своеобразным кондиционером, увлажняющим и согревающим дыхательную смесь. Тепловое и жидкостное кондиционирование воздуха осуществляется не только в верхних дыхательных путях, но и на всем протяжении дыхательных путей, включая дистальные бронхи. При дыхании температура воздуха в субсегментарных путях повышается почти до нормальной.
5. Вентиляция легких
При вдохе давление в легком ниже атмосферного, а при выдохе — выше, что дает возможность воздуху поступать внутрь легкого. Существует несколько видов дыхания:
а) реберное или грудное дыхание
б) брюшное или диафрагмальное дыхание
Реберное дыхание
В местах присоединения ребер к позвоночнику есть пары мышц, крепящиеся одним концом к ребру, а другим — к позвонку. Те мышцы, которые крепятся с дорзальной стороны тела, называются внешние межреберные мышцы. Они расположены прямо под кожей. При их сокращении ребра раздвигаются, раздвигая и приподнимая стенки грудной полости. Те мышцы, которые расположены с вентральной стороны, называются внутренними межрёберными мышцами. При их сокращении стенки грудной полости сдвигаются, уменьшая объем легких. Они используются при аварийном выдохе, так как выдох — явление пассивное. Спадение лёгкого происходит пассивно вследствие эластичной тяги лёгочной ткани.
Брюшное дыхание
Брюшное или диафрагмальное дыхание выполняется в частности с помощью диафрагмы. Диафрагма имеет в расслабленном состоянии форму купола. При сокращении мышц диафрагмы купол становится плоским, в результате чего объем грудной полости увеличивается, а объем брюшной полости уменьшается. При расслаблении мышц диафрагма принимает исходное положение за счет ее упругости, перепада давления и давления органов, находящихся в брюшной полости.
Ёмкость лёгких
Полная ёмкость лёгких равна 5000 см³, жизненная (при максимальном вдохе и выдохе) — 3500—4500 см³; обычный вдох составляет 500 см³. Лёгкие обильно снабжены чувствительными, вегетативными нервами и лимфатическими сосудами.
6. Эмбриональное развитие легких
В развитии легких выделяется:
-железистая стадия (с 5 нед до 4 мес внутриутробного развития) формируется бронхиальное дерево;
-каналикулярная стадия (4 – 6 мес внутриутробного развития ) закладываются респираторные бронхиолы;
-альвеолярная стадия (с 6 мес внутриутробного развития до 8-летнего возраста) развивается основная масса альвеолярных ходов и альвеол.
Органы дыхания закладываются в конце 3-й недели зародышевой жизни в форме выроста вентральной стенки передней кишки позади зачатка щитовидной железы. Этот полый вырост на своем каудальном конце скоро подразделяется на две части соответственно двум будущим лекгим. Краниальный его конец образует гортань, а за ней, каудальнее, дыхательное горло.
На каждом зачатке легкого появляются шаровидные выступы, соответствующие будущим долям легкого; на зачатке правого легкого их три, на левом – два. На концах этих выступов образуются новые выпячивания, а на последних еще новые, так что картина напоминает развитие альвеолы. Таким путем на 6-ом месяце получается бронхиальное дерево, на концах разветвлений которого образуются ацинусы с альвеолами. Одевающая каждый зачаток легкого мезенхима проникает между формирующимися частями, давая соединительную ткань, гладкие мышцы и хрящевые пластинки в бронхах.
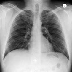
7. Легкие живого человека


А) Б)
Рис 1. Рентгенограммы легких: а) взрослого мужчины; б) ребенка.
При рентгенологическом исследовании грудной клетки ясно видны два светлых «легочных поля», по которым судят о легких, так как вследствие наличия в них воздуха они легко пропускают рентгеновские лучи и дают просветления. Оба легочных поля отделены друг от друга интенсивной срединной тенью, образуемой грудиной, позвоночником, сердцем и крупными сосудами. Эта тень составляет медиальную границу легочных полей; верхняя и латеральная границы образованы ребрами. Снизу находится диафрагма.
Верхняя часть легочного поля пересекается с ключицей, которая отделяет надключичную область от подключичной. Ниже ключицы на легочное поле наслаиваются пересекающиеся между собой передние и задние части ребер. Они располагаются косо: передние отрезки – сверху вниз и медиально; задние – сверху вниз и латерально. Хрящевые части передних отрезков ребер при рентгеновском исследовании не видны. Для определения различных пунктов легочного поля пользуются промежутками между передними отрезками ребер (межреберья).
Собственно легочная ткань видна в светлых ромбовидных межреберьях. В этих местах виден сетевидный или пятнистый рисунок, состоящий из более или менее узких тяжеобразных теней, наиболее интенсивных в области корней легких и постепенно убывающих в своей интенсивности от срединной тени сердца к периферии легочных полей. Это так называемый легочный рисунок. По обе стороны тени сердца на протяжении передних отрезков II – V ребер располагаются интенсивные тени корней легких. От тени сердца они отделены небольшой тенью главных бронхов. Тень левого корня несколько короче и уже, так как она больше прикрывается тенью сердца, чем справа.
Анатомической основой тени корней и легочного рисунка является сосудистая система малого круга кровообращения – легочные вены и артерии с радиарно отходящими от них ветвями, рассыпающимися в свою очередь на мелкие веточки. Лимфатические узлы в норме не дают тени.
Анатомический субстрат легочного рисунка и теней корней особенно ясно заметен при томографии (послойной рентгенографии), которая дает возможность получить снимки отдельных слоев легкого без наслоения на легочное поле ребер. Легочной рисунок и корневые тени есть симптом нормальной рентгеновской картины легких в любом возрасте, включая и ранний детский. При вдохе видны просветления, соответствующие плевральным синусам.
Рентгенологический метод исследования позволяет видеть изменения в соотношениях органов грудной клетки, происходящие при дыхании. При вдохе диафрагма опускается, куполы ее уплощаются, центр передвигается несколько книзу. Ребра поднимаются, межреберные промежутки делаются шире, Легочные поля становятся светлее, легочный рисунок отчетливее. Плевральные синусы «просветляются», становятся заметными. Сердце приближается к вертикальному положению. При выдохе возникают обратные соотношения.
8. Эволюция дыхательной системы
Мелкие растения и животные, обитающие в воде, получают кислород и выделяют углекислоту путем диффузии. При дыхании, происходящем в митохондриях, концентрация кислорода в цитоплазме снижается, поэтому кислород диффундирует в клетку из окружающей воды, где его концентрация выше, поскольку она поддерживается диффузией кислорода из воздуха и выделением его фотосинтезирующими организмами, обитающими в воде. Углекислота, образующаяся в результате обменных процессов, диффундирует по градиенту концентрации в окружающую среду. У простых растительных и животных организмов отношение поверхности тела к его объему достаточно велико, поэтому скорость диффузии газов через поверхность тела не является фактором, лимитирующим интенсивность дыхания или фотосинтеза. У более крупных животных отношение поверхности тела к объему меньше, и глубоко расположенные клетки уже не могут достаточно быстро обмениваться с окружающей средой газами путем диффузии. Поэтому глубоко лежащие клетки получают кислород и выделяют углекислый газ через внеклеточную жидкость, которая обменивается ими с окружающей средой.
Высшие растения не имеют специальных органов газообмена. Каждая клетка растения (корня, стебля, листа) самостоятельно обменивается с окружающим воздухом углекислым газом и кислородом путем диффузии. Интенсивность клеточного дыхания у растений обычно значительно ниже, чем у животных. Кислород легко диффундирует из воздуха в промежутки между мелкими частицами почвы, в окружающую их пленку воды и в корневые волоски, далее в клетки коры и, наконец, в клетки центрального цилиндра. Образующаяся в клетках углекислота также диффундирует в обратном направлении и выходит из корня наружу через корневые волоски. Кроме того, газы легко диффундируют через чечевички на корнях и стволах старых деревьев и кустарников. В листьях газообмен осуществляется через устьица по градиенту концентрации. Листья наземных растений сталкиваются с той же проблемой, что и клетки дыхательных поверхностей наземных животных: они должны обеспечивать достаточный газообмен, не теряя при этом слишком много воды. Растения этого достигают тем, что их листья (например, у растений засушливых мест обитания), более толстые и мясистые, имеют толстую кутикулу с устьицами, расположенными в углублениях (толстая кутикула с погруженными устьицами имеется и у хвойных).
Внешнее дыхание у большинства водных животных осуществляется при помощи специализированных структур, называемых жабрами. Специализированные жабры впервые появились у кольчатых червей. У губок и кишечнополостных газообмен осуществляется путем диффузии через поверхность тела. Дождевые черви, находясь в подземных ходах, получают достаточное количество кислорода путем его диффузии через влажную кожу. Морские черви, обитающие в песке или трубочках из песка, совершают волнообразные движения, чтобы создавать вокруг себя ток воды, иначе им не хватает растворенного в морской воде кислорода (в литре морской воды содержится около 5 мл кислорода, пресной - около 7 мл, воздуха - около 210 мл). Поэтому у морских червей (полихет) развились жабры - специализированные органы дыхания (выросты покровного эпителия). У ракообразных также появились жабры, обеспечивающие процесс дыхания в водной среде. Зеленый краб, способный жить в воде и на суше, имеет жабры, расположенные в полости тела на границе карапакса и места прикрепления ног. В этом месте движется скафогнатит (веслообразная часть второй максиллы), обеспечивающий непрерывный ток воды к жабрам. Если скафогнатит не будет гнать воду, то краб быстро погибнет в морской воде, тогда как в воздушной среде он может жить неопределенно долго, поскольку скорость диффузии кислорода из воздуха достаточна для удовлетворения всех потребностей его организма.
Жабры имеются также у моллюсков, рыб и некоторых амфибий. Газы диффундируют через тонкий жаберный эпителий в кровь и разносятся по всему организму. Каждое животное, дышащее при помощи жабр, имеет какое-либо приспособление, обеспечивающее непрерывное омывание их током воды (открывание рта рыбами, движение жаберных крышек, постоянное движение всего тела и др.). У двустворчатых моллюсков движение воды обеспечивается работой жаберных тычинок. Членистоногие решают проблему снабжения кислородом клеток организма иным путем: в каждом сегменте тела у них имеется пара дыхалец - отверстий, ведущих в разветвленную систему трубочек - трахей, по которым воздух доставляется ко всем внутренним органам. Трахеи заканчиваются микроскопическими разветвлениями - трахеолами, наполненными жидкостью, через их стенки кислород диффундирует в соседние клетки, а углекислый газ - в обратном направлении. Работа мышц брюшка обеспечивает продувку трахей воздухом. Трахейная система насекомых и паукообразных обеспечивает поступление кислорода и выделение углекислого газа, поэтому они обходятся без быстрого течения крови, необходимого позвоночным для снабжения их клеток кислородом.
Развитие легочного дыхания имеет свою длительную эволюцию. Примитивные легочные мешки появляются у паукообразных. Развиваются они (простые мешки) и у наземных брюхоногих моллюсков (легочные мешки образованы мантией). Развитие легких намечается у некоторых рыб, у ископаемых предков которых был вырост на переднем конце пищеварительного тракта. У той ветви рыб, которая впоследствии дала начало наземным позвоночным животным, из этого выроста развилось легкое. У других рыб он превратился в плавательный пузырь, т.е. в орган, который в основном служит для облегчения плавания, хотя иногда несет и дыхательную функцию. Некоторые рыбы обладают даже рядом костей, соединяющих этот орган с внутренним ухом и играющих, по-видимому, роль прибора для определения глубины. Кроме того, плавательный пузырь служит для издавания звуков. Близкими родичами той группы рыб, от которых произошли наземные позвоночные, являются двоякодышащие рыбы: они имеют жабры, с помощью которых дышат в воде. Поскольку эти рыбы живут в периодически пересыхающих водоемах, в засушливое время года они остаются в иле пересохшего русла, где дышат при помощи плавательных пузырей и имеют легочную артерию. Легкие большинства примитивных амфибий - тритонов, амбистом и др. - имеют вид простых мешков, покрытых снаружи капиллярами. Легкие лягушек и жаб имеют внутри складки, увеличивающие дыхательную поверхность. Лягушки и жабы не обладают грудной клеткой и не имеют межреберных мышц, поэтому у них существует нагнетательный тип дыхания, основанный на действии клапанов в ноздрях и мышц в области горла. Когда открыты носовые клапаны, дно ротовой полости опускается (рот закрыт) и в нее входит воздух. Затем носовые клапаны закрываются и мышцы горла, сокращаясь, уменьшают размеры ротовой полости и вытесняют воздух в легкие.
Эволюция дыхательной системы происходила в направлении постепенного расчленения легкого на более мелкие полости, так что строение легких у рептилий, птиц и млекопитающих постепенно усложняется. У ряда рептилий (например, у хамелеона) легкие снабжены придаточными воздушными мешками, которые раздуваются при наполнении воздухом. Животные принимают угрожающий вид - это играет роль защитного приспособления для отпугивания хищников. Легкие птиц также имеют воздушные мешки, распространяющиеся по всему телу. Благодаря им, воздух может проходить через легкое и полностью обновляться при каждом вдохе. У птиц при полете существует двойное дыхание, когда воздух в легких насыщается кислородом при вдохе и выдохе. Кроме того, воздушные мешки играют роль мехов, продувающих воздух через легкие за счет сокращения летательных мышц.
Легкие млекопитающих и человека имеют более сложное и совершенное строение, обеспечивающие достаточное насыщение кислородом всех клеток тела, и тем самым, обеспечивают высокий обмен веществ. Поверхность их органов дыхания во много раз превышает площадь поверхности тела. Совершенный газообмен поддерживает постоянство внутренней среды организма, что дает возможность млекопитающим и человеку обитать в различных климатических условиях.
9. Возрастные особенности легких
Легкие у новорожденного неправильной конусовидной формы, верхние доли относительно небольших размеров, средняя доля правого легкого по размерам равна верхней доле, а нижняя сравнительно велика. На втором году жизни ребенка величина долей легкого относительно друг друга становится такой же, как у взрослого человека.
Масса обоих легких новорожденного составляет в среднем 57 г, объем – 67 см3. Плотность недышавшего легкого составляет 1,068 (легкие мертворожденного ребенка тонут в воде), а плотность легкого дышавшего ребенка – 0,490. Бронхиальное дерево к моменту рождения в основном сформировано; на первом году жизни наблюдается его интенсивный рост – размеры долевых бронхов увеличиваются в 2 раза, а главных – в полтора раза. В период полового созревания рост бронхиального дерева снова усиливается. Размеры всех его частей к 20 годам увеличиваются в 3,5 – 4 раза по сравнению с бронхиальным деревом новорожденного. У людей 40 – 45 лет бронхиальное дерево имеет наибольшие размеры.
Возрастная инволюция бронхов начинается после 50 лет.В пожилом и старческом возрастах длина и диаметр просвета сегментарных бронхов немного уменьшаются, иногда появляются выпячивание их стенок, извилистость хода.
Легочные ацинусы у новорожденного имеют небольшое количество мелких легочных альвеол. В течение первого года жизни ребенка и позже ацинус растет за счет появления новых альвеолярных ходов и образования новых легочных альвеол в стенках уже имеющихся альвеолярных ходов.
Образование новых разветвлений альвеолярных ходов заканчивается к 7 – 9 годам, легочных альвеол – к 12 – 15 годам. К этому же времени размеры альвеол увеличиваются вдвое. Формирование легочной паренхимы завершается к 15 – 25 годам. В период от 25 до 40 лет строение легочного ацинуса практически не меняется. После 40 лет постепенно начинается старение легочной ткани: сглаживаются межальвеолярные перегородки, легочные альвеолы становятся мельче, альвеолярные ходы сливаются друг с другом, размеры ацинусов увеличиваются.
В процессе роста и развития легких после рождения увеличивается их объем в течение 1-го года в 4 раза, к 8 годам – в 8 раз, к 12 годам – в 10 раз, к 20 годам – в 20 раз по сравнению с объемом легких новорожденного.
Границы легких с возрастом тоже изменяются. Верхушка легкого у новорожденного находится на уровне 1 ребра. В дальнейшем она выступает над 1 ребром, а к 20 – 25 годам располагается на 3 – 4 см выше 1 ребра. Нижняя граница правого и левого легких у новорожденного на одно ребро выше, чем у взрослого человека. По мере увеличения возраста ребенка эта граница постепенно опускается. В пожилом возрасте (после 60 лет) нижние границы легких располагаются на 1 – 2 см ниже, чем у людей в возрасте 30 – 40 лет.
10. Врожденные пороки развития легких
Гамартома и другие врожденные опухолевидные образования
Гамартома встречается часто (до 50% всех доброкачественных новообразований легких). Она может располагаться как в бронхиальной стенке, так и в легочной паренхиме. Различают локальные и диффузные гамартомы, занимающие всю долю или легкое. При гистологическом исследовании в гамартоме преобладает хрящевая ткань. Встречаются также липогамартохондромы, фиброгамартомы, фиброгамартохондромы и др. (обнаруживаются случайно при рентгенологическом исследовании). При редко встречающейся эндобронхиальной локализации возникают симптомы, связанные с нарушением бронхиальной проходимости (кашель, повторные пневмонии). Периферические образования, как правило, протекают бессимптомно. Малигнизация является казуистической. При трудностях дифференциальной диагностики с периферическим раком легкого, предпочтение следует отдать оперативному методу лечения. При периферических гамартомах производят их энуклеацию с ушиванием ложа или краевую резекцию легкого. Возможно торакоскопическое удаление. При эндобронхиальных гамартомах выполняют резекцию бронха или соответствующего отдела легкого (при необратимых вторичных изменениях). Прогноз хороший.
Добавочное легкое (доля) с обычным кровоснабжением
Этот редко диагностируемый порок, как правило, протекает бессимптомно. Он заключается в наличии участка легочной ткани, имеющего собственный плевральный покров и располагающегося обычно в верхнем отделе правой плевральной полости. Бронх отходит непосредственно от трахеи, кровообращение осуществляется за счет ветвей легочных артерий и вен. В редких случаях возникновения хронического воспалительного процесса показано удаление добавочного легкого (доли).
Добавочное легкое (доля) с аномальным кровообращением
Представляет собой участок обычно не аэрируемой легочной ткани, который расположен вне нормально развитого легкого (в плевральной полости, в толще диафрагмы, в брюшной полости, на шее) и снабжается кровью из большого круга кровообращения. Чаще всего этот порок не дает клинических проявлений и является случайной находкой. Диагноз можно установить при аортографии. Если в этом добавочном легком возникает патологический процесс, показана операция — удаление добавочного легкого.
Бронхогенная (истинная) киста легкого
Бронхогенная киста легкого формируется в результате аномальной закладки бронхиальной стенки вне нормально развитого бронхиального дерева. С ростом ребенка наблюдается постепенное увеличение кисты из-за ретенции секрета бронхиального эпителия, причем размеры кисты могут достигать 10 см в поперечнике и более. В случае прорыва содержимого в бронхиальное дерево в связи с нагноением киста опорожняется и в дальнейшем может существовать либо в виде сухой или частично содержащей жидкость полости, не дающей клинических проявлений, либо являться очагом хронически текущего нагноительного процесса.
При возникновении клапанного механизма в зоне сообщения кисты с бронхиальным деревом может наблюдаться острое вздутие кисты с возникновением признаков дыхательной недостаточности из-за сдавлевания здоровых частей и смещения средостения.
Длительное время аномалия может протекать бессимптомно. В случае инфицирования кисты наблюдается кашель со скудной слизистой или слизисто-гнойной мокротой, а при обострениях — увеличение количества мокроты, которая приобретает гнойный характер, слабо выраженная температурная реакция и интоксикация.
Рентгенологически до прорыва кисты в бронх видна круглая тень с четкими контурами, иногда изменяющая форму при дыхании (симптом Неменова). После прорыва содержимого в бронхиальное дерево выявляется тонкая кольцевидная тень, иногда с уровнем жидкости на дне (преимущественно при обострениях).
Дифференциальный диагноз опорожнившейся кисты следует проводить с крупными (гигантскими) эмфизематозными буллами, для которых характерен зрелый или даже пожилой возраст больных, рентгенологически менее четко очерченные границы, хорошо определяемые при КТ, отсутствие горизонтального уровня в полости, отсутствие эпителиальной выстилки.
Бронхогенные кисты, дающие те или иные клинические проявления (хроническое нагноение, острое вздутие), подлежат удалению с помощью тех или иных видов экономных резекций легкого.
Кисты легкого с аномальным кровоснабжением (внутридолевая секвестрация)
Кисты легкого с аномальным кровоснабжением являются наиболее частыми среди безусловных пороков развития, имеющих клиническое значение. Суть аномалии состоит в том, что в одной из долей антентально формируется группа бронхогенных кист, первично не сообщающихся с бронхами данной доли и имеющих отдельное артериальное кровоснабжение за счет довольно крупного сосуда, отходящего непосредственно от нисходящей аорты. Отделенность врожденного патологического внутридолевого образования от системы легочного кровообращения и бронхиального дерева доли побудило назвать аномалию внутридолевой секвестрацией от латинского «sequestratio» — «отделение», «обособление» (не путать с секвестрацией при отделении омертвевшей ткани от живой в ходе нагноительного процесса).
Секвестрация чаще наблюдается в заднебазальном отделе нижней доли правого легкого, хотя описаны и другие локализации. Первоначально группа кист, наполненных жидкостью, не дает клинических проявлений, а затем, после инфицирования и прорыва в бронхиальное дерево является источником хронического нагноительного процесса, текущего по типу нижнедолевых бронхоэктазий.
Клинические проявления заключаются в кашле со слизистой или слизисто-гнойной мокротой и периодических обострениях с увеличением гнойного отделяемого и повышением температуры тела.
Лечение внутридолевой секвестрации оперативное — удаление обычно пораженной нижней доли или только базальных сегментов. Во время операции следует четко верифицировать и изолированно перевязать аномальный сосуд, проходящий в толще легочной связки, во избежание трудно останавливаемого артериального кровотечения (известны летальные исходы от кровопотери).
Правое легкое Левое легкое
| Доли | Сегменты | Доли | Сегменты |
Верхняя Средняя Нижняя |
1-верхушечный 2-задний 3-передний 4-наружный 5-внутренний 6-верхушечно-нижний 7-сердечно-нижний 8-передненижний 9-наружнонижний 10-задненижний |
Верхняя Язычковая Нижняя |
1-2-верхушечно-задний 3-передний 4-верхнеязычковый 5-нижнеязычковый 6-верхушечно-нижний 7-сердечно-нижний 8-передненижний 9-наружнонижний 10-задненижний |
Список используемой литературы:
1. Анатомия человека: В 2-х томах. Под ред. М.Р. Сапина. – 2-е изд. Т 1. М.: Медицина, 1993.
2. Анатомия человека. Учебное пособие для студентов специальности «Высшее сестринское образование» для заочной и очной форм обучения. Красноярск: Изд-во КрасГМА, 2004.
3. Анатомия и физиология человека. Н.М. Федюкевич. Ростов-на-Дону: Феникс, 2002.
4. Розенштраух Л.С., Рыбакова Н.И., Винер М.Г. Рентгенодиагностика заболеваний органов дыхания. «-е изд. – М.: Медицина, 1998.
5. «Физиология, основы и функциональные системы» под ред. К.А. Судакова, - М., Медицина,2000.
Похожие рефераты:
Массаж при патологии дыхательной системы
Респираторный дистресс-синдром у новорожденных
Сборник тестовых заданий для итоговой государственной аттестации по специальности 0401 0402
Литература - Пропедевтика (книга)
Литература - терапия (ЛЕКЦИИ ПО КАРДИОЛОГИИ)
Доброкачественные опухоли и эхинококкоз легких
Желудочно-кишечный тракт и его заболевания
Острая внебольничная правосторонняя очаговая пневмония в нижней доле (история болезни)
Методология диагностики торакальных больных
Хронические неспецифические заболевания легких
Внебольничная пневмония в нижней доли левого легкого, S10, средней степени тяжести, ДН-1