| Похожие рефераты | Скачать .docx |
Курсовая работа: Болезни мелких животных
АКТ
судебно-ветеринарного вскрытия трупа поросенка
5 марта 2009 года , 12.00
г. Витебск
Мною, студенткой 7 группы 4 курса факультета ветеринарной медицины Денисенко М.А., под руководством заведующего кафедры патологической анатомии и гистологии профессора Прудникова В.С., на основании письменного предписания прокурора Сенненского района Лебедева И.В. за № 32 от 5 марта 2009 года, в присутствии профессора Прудникова В.С., прокурора Сенненского района Лебедева И.В. и студентов 7 группы произведено в прозектории кафедры патанатомии УО «Витебская ордена «Знак Почета» государственная академия ветеринарной медицины вскрытие поросенка, хрячка, в возрасте 2 дней, белой масти, белорусской белой породы, принадлежащего свинокомплексу РУСП имени П.М. Машерова Сенненского района, Витебской области.
Согласно письменному предписанию прокурора Сенненского района Лебедева И.В. за № 32 от 5 марта 2009 года требуется выяснить следующее:
1. От чего пало животное?
2. Можно ли было спасти животное, если да, то как?
3. Как профилактировать данное заболевание?
Анамнестические и клинические данные
Свинокомплекс на 24000 голов РУСП имени П.М. Машерова. Сенненского района Витебской области.
На свинокомплексе периодически наблюдается, заболевание и падеж поросят в возрасте 0-2, 0-4 месяца с клиническими признаками: гастроэнтерит, воспаление легких. Поросята часто рождаются слаборазвитыми (массой 600-700 г.) иногда наблюдаются случаи абортов и мертворожденности.
Кормление супоросных и подсосных свиноматок – комбикорм для откорма свиней согласно зоотехническим нормам. Водопой не ограничен.
На свинокомплексе часто наблюдаются нарушение зоотехнических условий содержания свиноматок и поросят - повышенное содержание аммиака в помещениях, повышенная влажность.
При патологоанатомическом вскрытии трупов поросят иногда наблюдались – гипотрофия, острый катаральный или катарально-геморагический гастроэнтерит, катаральная иногда крупозная пневмония, серозно-фибринозный плеврит, перикардит, истощение и общая анемия.
При бактериологическом исследовании в райветлаборатории иногда выделяются возбудители колибактериоза, сальмонеллеза, пастереллеза и гемофилезной плевропневмонии.
Противоэпизоотические мероприятия проводятся регулярно и в соответствующие сроки согласно плану.
Наружный осмотр
1.Общий вид трупа. Телосложение пропорциональное, упитанность ниже средней, масса около 1 килограмма (поросенок-гипотрофик), живот незначительно вздут.
2.Естественные отверстия. Рот закрыт, по окружности без загрязнений и экскретов, прикус зубов правильный, слизистые оболочки влажные, блестящие, бледно – серого цвета, язык находится в ротовой полости.
Носовые отверстия чистые, слизистая оболочка влажная, без посторонних наложений и припуханий, тёмно-красного цвета, набухшая, целостная, покрыта слизью. (катаральный ринит)
Глаза. Глазные щели закрыты, окружности их чистые, кожа век чистая, глазные яблоки запавшие, роговица полупрозрачная, конъюнктива влажная, серого цвета с синюшным оттенком, без припуханий и наложений.
Уши. Ушные раковины нормальные, наружный слуховой проход чистый.
Анус приоткрыт, испачкан жидкими фекалиями желтоватого цвета. Слизистая оболочка синюшно-красного цвета, суховатая, без наложений. Слизистая половых органов влажная, блестящая, серого цвета с синюшным оттенком.
3.Наружные покровы. Щетина взъерошенная, матовая, в коже удерживается хорошо, участки облысения отсутствуют.
Кожа слабо эластичная, без повреждений и патологических изменений. Цвет бледно-розовый. Отеков не обнаружено. В подкожной клетчатке жир отсутствует, подкожная клетчатка суховатая.
Копытца без повреждений, наложений, твердые, прикреплены прочно.
4. Скелетные мышцы – недоразвиты, консистенция мышц упругая, цвет тёмно – красный, рисунок волокнистого строения выражен, мышцы суховатые.
5. Кости, суставы, сухожилия. Кости твёрдые, нормальной конфигурации, белого цвета, форма лицевой части черепа не деформирована.
Суставы подвижны, форма не изменена, в их полости содержится небольшое количество желтоватой синовиальной жидкости, суставные поверхности костей гладкие, влажные, белого цвета с синим оттенком. Синовиальные оболочки влажные, гладкие, серого цвета. Сухожилия плотные, серо-белого цвета.
6. Трупные изменения. Труп холодный. Трупное окоченение скелетных мышцах хорошо выражено. Трупное разложение и другие трупные изменения отсутствуют. Посмертные сгустки крови: свернувшаяся кровь в левом и правом желудочке сердца (резиноподобной консистенции, хорошо оделяется от стенок желудочков). Причем правый желудочек переполнен и незначительно увеличен кровью (асфиктической сердце).
Внутренний осмотр
7. Брюшная полость. Положение органов анатомически правильное, постороннего содержимого не обнаружено. Париетальная и висцеральная брюшина влажная, гладкая, блестящая, прозрачная, серо-розового цвета, без наложений и спаек.
8. Сальник и брыжейка жира не содержат, кровеносные сосуды малокровны.
9. Диафрагма – купол диафрагмы расположен на уровне 7 межреберья, серозные оболочки (брюшина и плевра) влажные, блестящие, серого цвета. мышечная часть хорошо развита, серовато-красного цвета, с хорошо выраженным волокнистым строением.
10. Грудная полость. Положение анатомически правильное, в полости обнаружено 2-3 мл жидкости розового цвета, водянистой консистенции, с примесью крови. Костальная и легочная плевра влажная, блестящая, прозрачная, серого цвета с синюшным оттенком.
Иммунная система.
11. Костный мозг грудной и эпифизов трубчатых костей серого - красного цвета, студневидной консистенции.
12. Тимус нормальных размеров, бобовидной формы, хорошо выражена дольчатость, Консистенция долек упругая, темно-коричневого по периферии и светло-коричневого цвета в центре.
13. Лимфатические узлы: подчелюстные, заглоточные, предлопаточные (поверхностные шейные), поверхностные паховые, средостенные, бронхиальные не увеличены в размере, округлой формы, упругой консистенции, серо-желтого цвета, рисунок фолликулярного строения на разрезе сохранен. Брыжеечные лимфоузлы увеличены в размере, круглой формы, упругой консистенции, серого цвета на наружной поверхности, на разрезе серо-красного цвета, сочные, рисунок фолликулярных узелков сглажен, поверхность разреза влажная (серозное воспаление брыжеечных лимфоузлов).
14. Селезёнка не увеличена в объеме, форма не изменена, капсула не напряжена, края острые, орган упругой консистенции, темно – вишневого цвета, рисунок фолликулярного и трабекулярного строения сохранен, соскоб пульпы незначительный.
15. Глоточные миндалины без видимых патоморфологических изменений(не увеличены в размере, форма не изменена, розового цвета.
Сердечно-сосудистая система.
16. Перикард. В его полости содержится небольшое количество прозрачной белой жидкости. Перикард влажный, гладкий, блестящий, полупрозрачный, серого цвета, легко снимается, наложений нет.
Сердце не увеличено в размере, конусовидной формы, стенка правой половины поражена. Мышца правой половины сердца набухшая, дряблая, по цвету напоминает ошпаренное мясо, рисунок волокнистого строения сглажен. Соотношение правой половины сердца к левой 1:3 (зернистая дистрофия сердца), также отмечается переполнение кровью правой половины сердца (асфиктическое сердце);
Клапаны эластичные, белого цвета, эндокард гладкий, блестящий, прозрачный, серого цвета. Под эпикардом небольшое наложение жира желтого цвета, мягкой консистенции. Полости сердца заполнены свернувшейся кровью: темно-красного цвета, эластичной консистенции, поверхность сгустков гладкая, влажная, блестящая, имеют форму полости сердца, легко извлекаются.
17. В крупных кровеносных сосудах (аорта, яремные вены) содержится несвернувшаяся темно-красная кровь, стенки сосудов эластичные, интима гладкая, блестящая, светло-желтого цвета.
Дыхательная система .
18. В носовой полости находятся незначительные мутные слизистые истечения, серо-желтого цвета. Слизистая оболочка набухшая, гиперемированная, с наложениями. Носовые раковины и перегородка незначительно деформированы (катаральный ринит).
19. Гортань, трахея и бронхи без постороннего содержимого, слизистая оболочка влажная, блестящая серого цвета. Просвет дыхательных путей нормальный без постороннего содержимого. Хрящи гортани и хрящевые кольца трахеи эластичны.
20. Легкие не спавшиеся, сине-красного цвета, дольчатость слабо выражена, тестоватой консистенции. С поверхности разреза стекает пенистая красноватая жидкость. Кусочки пораженных долей легких в воде плавают, погрузившись в воду (острая венозная гиперемия и отек легких).
Пищеварительная система
21. В ротовой полости, глотке и пищеводе постороннего содержимого нет. Слизистые оболочки влажные, бледно-серого цвета. Язык упругий, мышца красного цвета, рисунок волокнистого строения выражен, слизистая оболочка ротовой полости бледно-серого цвета.
22. В желудке содержатся сгустки молозива. Слизистая оболочка набухшая, тусклая, в донной части желудка интенсивно покрасневшая, на поверхности слизь серого цвета. Язв и эрозий не обнаружено ( подострый катаральный гастрит).
23. В тонком кишечнике (двенадцатиперстная, тощая и подвздошная кишки) кормовых масс нет. Слизистая оболочка тонкого кишечника набухшая, покрасневшая, матовая, без блеска, обильно покрыта слизью серого цвета. Подслизистая и мышечная оболочки в воспаспалительный процесс не вовлекаются. В толстом кишечнике (слепая, ободочная и прямая кишки). Слизистая оболочка кишок гиперемирована, матовая, без блеска, обильно покрыта тягучей слизью серого цвета. (острый катаральный гастроэнтерит)
24. Печень увеличена в размере, края притуплены, капсула напряжена, форма не изменена, консистенция уплотнена, цвет красно-коричневый, рисунок дольчатого строения не четкий, поверхность разреза влажная, с поверхности разреза стекает незначительное количество крови (зернистая дистрофия с выраженной застойной гиперемией).
Желчный пузырь незначительно расширен, в нём содержится 3-5 мл желчи, слизистая оболочка бархатистая, желто-зеленого цвета. Проходимость желчного протока сохранена (переполнение желчью).
25. Поджелудочная железа серого цвета, упругой консистенции с хорошо выраженным дольчатым строением.
Мочеполовая система
26. В околопочечной клетчатке содержится незначительное количество жира серовато-желтоватого цвета. Почки слегка увеличены в объеме, мягкой консистенции, красно-серого цвета, капсула напряжена, легко снимается, на разрезе граница между корковой и мозговой зонами слабо выражена (зернистая дистрофия со слабовыраженной застойной гиперемией).
27. В мочевом пузыре содержится около 6-8 мл мочи светло-жёлтого цвета, слизистая оболочка гладкая, блестящая, бледно-серого цвета. Мочеиспускательный канал без патоморфологических изменений.
28. Семенники, придатки, половой член и препуций не исследовали.
Эндокринная система
29. Щитовидная железа – не увеличена в размере, округлой формы, красного цвета, упругой консистенции, рисунок строения на разрезе сохранен (без патоморфологических изменений).
30. Надпочечники не увеличены, правильной формы, упругой консистенции, красно-коричневого цвета, на разрезе граница между корковым и мозговым веществом выражена.
Нервная система
31. Головной и спинной мозг не исследовались.
Лабораторные исследования
Для лабораторной диагностики, включающей изоляцию вируса на первичных и перевиваемых линиях клеток поросят с последующей идентификацией вируса в РНФ, РН, ВИЭОФ, ELISA и определении титра антител в сыворотке крови реконвалесцентов, на кафедру патологической анатомии и гистологии были отправлены отрезки тонкой и подвздошной кишок с содержимым, перевязанные с двух сторон лигатурами, и мезентериальные лимфоузлы от павшего поросенка.
В исследованном материале с использованием специальных сывороток был выделен в большом количестве антиген вируса трансмиссивного гастроэнтерита свиней.(смотри приложение 3).
Вет. врач /Денисенко М.А./
Присутсвовали /Прудников В.С./
/Лебедев И.В./
Патологоанатомический диагноз:
1. Острый катаральный гастроэнтерит.
2. Серозное воспаление брыжеечных лимфоузлов.
3. Острая венозная гиперемия и отек легких.
4. Зернистая дистрофия печени, почек и сердца с признаками венозной гиперемии.
5. Зернистая дистрофия сердца с признаками асфиксии.
6. Эксикоз.
7. Истощение, общая анемия.
Результаты лабораторных исследований
При гистологическом исследовании патматериала в лаборатории кафедры патологической анатомии и гистологии Витебской государственной академии ветеринарной медицины установили патоморфологические изменения лимфоузлов: гиперемия кровеносных сосудов, серозный отек синусов и паренхимы, увеличение в размерах фолликулов, скопление в мозговых тяжах плазмоцитов.
При вирусологическом исследовании был выделен возбудитель короновирус Transmissiblegastroenteritisvirus/
Заключение
1. От чего пало животное?
На основании анамнестических, клинических и эпизотологических данных, анализа результатов вскрытия был поставлен диагноз - коронавирусный гастроэнтерит. Возбудителем данной болезни является РНК содержащий вирус (Porcinetransmissillegastroenteritisvirus), рода Coronavirus семейства Coronaviridae. Предрасполагающими факторами явились: нарушения санитарно-гигиенических норм условий содержания и кормления супоросных свиноматок и поросят-сосунов, дача комбикорма для откорма свиней супоросным свиноматкам, и как следствие внутриутробный кормотоксикоз, рождение приплода с ослабленным иммунитетом, рождение поросят-гипотрофиков.
2. Можно ли было спасти животное, если да, то как?
В случае оказания своевременного лечения: используют гипериммунные сыворотки и сыворотки реконвалесцентов, в которых имеются антитела к коронавирусу одновременно с антибактериальными и иммуностимулирующими препаратами, пробиотики. Применяют также симптоматические методы лечения направленные на предотвращение обезвоживания организма и осложнения бактериальной микрофлорой.
3. Как профилактировать данное заболевание?
Общая профилактика сводится к недопущению заноса в хозяйство вирусоносителей, строгому соблюдению за санитарным состоянием свиноводческих помещений, выполнению принципа «все пусто – все занято» при формировании групп, недопущению избыточного количества животных в группе, систематическая дезинфекция и инвентаря.
Для специфической профилактики используют живые и инактивированные моно- и ассоциированные вакцины, гипериммунные сыворотки.
Инактивированные вакцины применяют свиноматкам внутримышечно, подсосным поросятам – интраперитонеально.
Вет. врач /Денисенко М.А./
5 марта 2009
Список используемой литературы
1. Вскрытие животных и дифференциальная диагностика болезней / М.С. Жаков, В.С. Прудников, И.А. Анисим и др. – Мн.: Ураджай, 1998 – 188с.
2. Инфекционные болезни молодняка сельскохозяйственных животных / А.Н. Куриленко, В.Л Крупальник – М.: Колос, 2001 – С. 38 – 51.
3. Патологическая анатомия сельскохозяйственных животных / А.В. Жаков, П.В. Шишков и др. – М.: Колос, 1995.
4. Профилактика инфекционных болезней молодняка / М.А. Сидоров – М.: Колос, 1983 – С. 60 – 68.
5. Справочник по вскрытию трупов и патоморфологической диагностике болезней животных / В.С. Прудников, Б.Л. Белкин и др. – Вит.: УО ВГАВМ, 2007.
ПРИЛОЖЕНИЕ № 1
Сопроводительное письмо
В ВИТЕБСКУЮ АКАДЕМИЮ ВЕТЕРЕНАРНОЙ МЕДЕЦИНЫ.
Зав кафедрой ПАТАЛОГИЧЕСКОЙ АНАТОМИИ
Профессору Прудникову В. С.
Свинокомплекс на 24000 голов РУСП имени П.М. Машерова. Сенненского района Витебской области направляет трупы поросят в возрасте 0-2 0-4 месяца для патологического вскрытия и установления причин заболевания и падежа.
На свинокомплексе периодически наблюдается, заболевание и падеж поросят в возрасте 0-2, 0-4 месяца с клиническими признаками: гастроэнтерит, воспаление легких .Поросята часто рождаются слаборазвитыми (массой 600-700 г.) иногда наблюдаются случаи абортов и мертворожденности.
Комплекс супоросных и подсосных свиноматок – комбикорм для откорма свиней согласно зоотехническим нормам. Водопой не ограничен
На свинокомплексе часто наблюдаются нарушение зоотехнических условий содержания свиноматок и поросят - повышенное содержание аммиака в помещениях, повышенная влажность.
При патологоанатомическом вскрытии трупов поросят иногда наблюдались – гипотрофия, острый катаральный или катарально-геморагический гастроэнтерит, катаральная иногда крупозная пневмония, серозно-фибринозный плеврит, перикардит, истощение и общая анемия.
При бактериологическом исследовании в райветлаборатории иногда выделяются возбудители колибактериоза, сальмонеллеза, пастереллеза и гемофилезной плевропневмонии.
Противоэпизоотические мероприятия проводятся регулярно и в соответствующие сроки согласно плану
Главветврач Ф.К. Денисюк
ПРИЛОЖЕНИЕ №2
![]() |
Рисунок 1 Расположение органов брюшной полости свиньи
![]() |



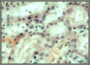
Рисунок 4 Зернистая дистрофия почки (окраска гематоксилин-эозином)
Рисунок 5
![]() |
Рисунок 6
ПРИЛОЖЕНИЕ 3
Сопроводительное письмо
В Витебскую государственную академию ветеринарной медицины.
На кафедру патологической анатомии и гистологии.
Адрес: 210602, г . Витебск, ул. Доватора, д. 7/11.
При этом направляется для гистологического исследования патологический материал: брыжеечные лимфатические узлы, а для вирусологического исследования: отрезки тонкой и подвздошной кишок с содержимым перевязанные лигарутой с двух сторон. Патологический материал доставили в стеклянном сосуде, помещенном в термос с сухим льдом. Патматериал получен от трупа поросенка, в возрасте 2 дней, принадлежащего свинокомплексу РУСП имени П.М. Машерова Сенненского района, Витебской области.
Поросенок заболел 2 марта 2009 года, пал 4 марта 2009 года.
Клинические симптомы: общее угнетение, рвота, диарея, феколии водянистой консистенции, желтоватого цвета, неприятного запаха, истощение, полное обезвоживание.
Патологоанатомические изменения:
Острый катаральный гастроэнтерит, серозное воспаление брыжеечных лимфоузлов, острая венозная гиперемия и отек легких, зернистая дистрофия печени, почек и сердца с признаками венозной гиперемии, зернистая дистрофия сердца с признаками асфиксии, эксикоз, истощение, общая анемия.
Предположительный диагноз – коронавирусный гастроэнтерит поросят.
Дата отправки патматериала – 5 марта 2009 года
Ветврач Денисенко М. А.
Похожие рефераты:
Отёчная болезнь поросят (колиэнтеротоксемия)
Протокол патологоанатомического вскрытия поросенка-боровка
Практическое гомеопатическое лекарствоведение
Неотложная помощь в невропатологии
Акушерство. Методические рекомендации кафедры
Массаж при патологии дыхательной системы
Тесты по патологической анатомии
Анализ ассортимента и оценка качества колбасных изделий реализуемых предприятием розничной торговли


