| Скачать .docx |
Курсовая работа: Заходи боротьби та профілактики дирофіляріозу собак у приватному розпліднику "Хантер Хонорс" в Одеській області
КУРСОВА РОБОТА
На тему: „Заходи боротьби та профілактики дирофіляріозу собак у приватному розпліднику „Хантер Хонорс” в Одеській області”
Содержание
1. Вступ
3. Характеристика захворювання
Висновки
Список використанної літератури
Додатки
1. Вступ
Не зважаючи на загальне поліпшення епізоотичної ситуації в Україні, існує ризик можливого її ускладнення. Актуальною проблемою є контроль зараженості популяції домашніх тварин дирофіляріозом. Відомо, що хворі собаки і кішки є потенційним джерелом зараження дирофіляріозом людей. Чисельність і щільність популяції домашніх тварин у різних регіонах України, як основного джерела, що впливає на розвиток епізоотичного процесу, є високою і має тенденцію до подальшого зростання. Важливим є також зростання популяції специфічних переносників цього гельмінтоза-комаров. Висока сприйнятливість і відсутність специфічної профілактики дірофіляріоза у людей і тварин створює небезпечну тенденцію до швидкого розповсюдження цього зооантропонозного гельмінтозу.
В Україні дирофіляріоз собак набув поширення наприкінці 1990-х років. Вперше діагностували цю хворобу в 1998 р. на базі клінік ветеринарної медицини м. Одеса. Протягом 1998-2000 рр. було виявлено 38 випадків захворювання собак віком від 2 до 10 років. Найчастіше хворіли тварини короткошерстих порід.
Вік заражених собак склав від 2 до 17 років, з яких 57,8% складали пси і 42,2% суки. У собак у віці до 2 років інвазію не реєстрували. Собаки у віці від 2 до 13 років були заражені в рівній мірі, старше 13 років - значно рідше. Мікрофілярії виявили у 37 порід собак, але найчастіше інвазію реєстрували у німецької (30,3%) і східно-европейськой (13,5%) вівчарок. У декоративних порід інвазію не реєстрували. Значний вплив на зараженість собак мала не порода, а їх господарське призначення: сторожові і мисливські собаки були заражені значно частіше у порівнянні з кімнатними із-за тривалого їх перебування поза приміщеннями і більшою вірогідністю контактів з комарами На підставі даних реєстрації захворювань, що проводяться в нашому госпіталі, можна говорити, що кожен шостий собака заражений цим гельмінтом.
За даними літератури у країнах південної Європи цей відсоток ще вищий. Більш того, кількість заражених собак відповідає кількості заражених людей. Це зрозуміло, оскільки людина знаходиться у безпосередній близькості з хворими тваринами. Відмічена невідповідність кількості заражених людей і хворих собак лише в Іспанії. При цьому проведені дослідження показали, що 20,9% населення цієї країни мають антитіла до D. immitis, що свідчить про те, що люди, які проживають на цій території, вже дуже давно контактують зі збудником дірофіляріоза.
В Україні кількість зареєстрованих випадків цього захворювання у тварин стрімко росте, але, на жаль, ніхто до цьго часу не знає реальної картини розповсюдження цієї патології на території країни.
З усіх зареєстрованих випадків дирофіляріоза у собак (по деяких країнах Європи) Michael D. Nissert, Jonh Charles Walker; 2002
Італія - 66% (44-55% собак заражено D. immitis)
Франція - 22% (заражено 20% собак)
Греція - 8% (заражено 5-11% собак)
Іспанія - 4% (заражено 33% собак)
2. Характеристика розплідника
Розплідник „Хантер Хонорс” знаходиться на десятому кілометрі Київської дороги. Біля розпліднику знаходиться водосховище. В розпліднику нараховується 14 собак породи лабрадор: з них 1 кобель чорного кольору та 2 самиці, 4 цуценяти віком 5 міс.7 цуцет одномісячного віку.
Дорослі тварини були привезени з Фінляндфії спеціально для розведення тварин. Усі тварини приймають участь в міжнародних та світових виставках собак класу САСІВ та САС. Займали призові місця.
Розплідник займає територію у 2 га, він огороджений залізною огорожею, має водопостачання та каналізацію. Розплідник має окремий вхід та вихід, необхідний інвентар для утримання собак.
Тварин годують дорослих 2 рази на добу, а цуценят 3-4 рази. Дорослих годують сухим кормом ТМ „Хиллс”, цуценят корм + мясо та сир. Тварини отримують мінерально-вітамінні добавки „СА-37”. Тварини мають вільний доступ до води. Всі тварини вакциновані проти інфекційних хвороб вакциною „ Дурамун-8”, оброблені інсектоакарицидним препаратом „Фронтлайн”. Обробку повторюють кожні 2-3 місяці, вакцинують один раз на рік.
Тварини мають активний моціон по 2 години 2 рази на добу. Один раз на тиждень тварин тренують полювати на диких качок.
Так як тварини знаходяться поблизу води, де знаходиться велика кількість комарів, існує велика ймовірність зараження дирофіляріозом.
3. Характеристика захворювання
Дирофіляріоз у собак
В усіх точках земної кулі, де мешкають комарі, комарі вважаються одними з найнастирливіших представників цього класу.
У теплу пору року ми і наші вихованці піддаємося нападу цих кровожерних комах.
Ще кілька років тому дані про випадки дірофіляріоза були тільки в південних районах і на Далекому Сході, але останнім часом все частіше хворі тварини з'являються в одеській області та м. Одесі.
Дирофіляріоз - інвазивне захворювання, що викликається круглими гельмінтами роду Dirofylaria. У собак паразитують два види - D. immitis і D. repens, які розрізняються тим, що в статевозрілій формі (власне гельмінти) перші локалізуються в порожнинах серця і крупних судинах (легенева артерія, аорта), а другі - в підшкірній клітковині, хоча зрідка можуть бути виявлені і в невластивих ним місцях: очах, головному мозку, черевній порожнині і спинному мозку. А личинки - мікрофілярії - мігрують по крові, вранці і ввечері, концентруючись на периферії, оскільки комарі саме в цей час особливо активно нападають.
Собаки можуть бути інфіковані іншими видами філярій крім Dirofilaria immitis. Це менш патогенні види, які повинні бути диференційовані від D. immitis при виявленні мікрофілярій.
У собачих паразитують наступні види філярій:
Dirofilaria immitis Dirofilaria repens Dipetalonema grassii Dipetalonema reconditum Dipetalonema dracunculoides Географічне розповсюдження: D. repens поширена повсюдно, виключаючи північно-американський континент, де її не виявляють. D. repens у Франції зустрічається частіше, ніж D. immitis. Їх також виявляють у заболоченій місцевості, наприклад, на півночі Італії.
D. reconditum, також як і D. grassii, поширена повсюдно, на відміну від D. dracunculoides, що виявляється тільки в Африці.
Морфологія.
Дорослі філярії невеликого розміру, з діаметром від 1 до 2 мм; їх довжина менша, ніж у D. immitis (12-18см): 4-7 см для D. repens, 1 см для Dipetalonema. Мікрофілярії подібні D. immitis. Їх розмір - 200-360 мкм в довжину і 6 мкм в товщину відповідно вигляду. Буває складно диференціювати мікрофілярій без гістохімічного фарбування. Специфічне обстеження після фарбування по Грюнвальду-Гимзі необхідне для ідентифікації видів (розташування кліток, особливості хвостового кінця).
Крім дратівливого писку вони заподіюють болісні укуси, від яких часто не рятує і одяг, якщо він недостатньо товстий. Ротовий апарат у них колючи-сисного типу, і представлений довгим хоботком. Нападають тільки самки комарів, яким необхідна кров для подальшого розмноження, а самці задовольняються соками рослин. Для розвитку личинок підійде будь-яка стояча вода, достатньо і довго не висихаючої калюжі, щоб поповнилися ряди кровососів.
Після укусів може розвинутися алергічна реакція, але небезпечні комарі для людини і тварини ще і як переносники різних інфекційних і інвазійних захворювань, таких як малярія у різних її формах, жовта лихоманка, що викликається вірусом, японський енцефаліт, енцефаломієліт і дірофіляріоз.
Цикл розвитку.
Дорослі дирофілярії народжують в кров личинок першої стадії - мікрофілярій, які можуть циркулювати до 2,5 років або до того моменту, коли при укусі комара разом з кров'ю потраплять до нього в кишечник. З кишечника мікрофілярії прямують у мальпігієві судини, де перетворюються на личинок другої стадії. Личинки третьої стадії є інвазивними (8-14діб), тобто готові до подальшого розвитку, але для цього їм необхідно знову потрапити в організм м'ясоїдної тварини. Тому личинки перебираються з мальпігієвих судин у нижню губу комара, де чекають до моменту укусу, щоб проникнути в кров собаки. Протягом 3-х місяців личинки розвиваються в підшкірній жировій і сполучній тканині, двічі линяють і перетворюються на личинки п'ятої стадії, які через кровоносну систему мігрують в серце і легеневу артерію, де ще через 6-9 місяців стають статевозрілими
Епізоотологічні дані.
Захворювання реєструють частіше в районах з теплим і вологим кліматом. М'ясоїдні заражаються збудником дірофіляріоза в теплий період при нападі інвазованих комарів. Максимальна кількість мікродирофілярій в периферичній крові тварин спостерігається вранці і ввечері, що співпадає з двома пиками активності проміжних господарів. Частіше паразити зустрічаються у чистокровних породистих тварин, екстенсивність і інтенсивність інвазії вище у тварин з короткою і гладкою шерстю, ніж у тварин з довгою шерстю.
Патогенез.
Форми патогенної дії гельмінтів:
1. Механічний вплив.
2. Токсична дія.
3. Алергічні реакції.
4. Вторинний імунодефіцит і активізація умовнопатогенної мікрофлори.
В основі патогенезу при дирофіляріозі лежить взаємодія "гельмінт-організм хазяїна". Паразитування гельмінта викликає ряд патогенних впливів, основними з яких є: механічний, токсичний, алергічний і іммунодепресуючий вплив. З боку організму господаря виявляються у відповідь реакції з метою пригнічення патогенних чинників і компенсації викликаних ними пошкоджень.
Як механічний чинник виступають як мікрофілярії, так і статевозрілі гельмінти. Мікрофілярії, постійно мігрують з кровотоком по організму, викликають пошкодження різних органів і тканин, прокладаючи собі шлях за допомогою ферменту гиалуронідази, а також можуть призвести до тромбозу і емболії, закупоривши просвіт судин. Статевозрілі гельмінти локалізуються переважно в правій частині серця. Механічне пошкодження внутрішньої оболонки серця призводить до ендокардиту і порушень роботи клапанного апарату. Компенсаторні процеси в серці здійснюються за рахунок гіпертрофії спочатку правого шлуночку, а потім і правого передсердя, але незабаром виникає розширення передсердя і застій у великому крузі кровообігу. Гельмінти також є перешкодою на шляху кровотоку в легеневі артерії, що призводить до недостатнього насичення організму киснем і виражається у вигляді периферичного ціанозу.
Гельмінти живляться кров'ю хазяїна, викликаючи невеликі, але постійні крововтрати і знижуючи кількість живильних речовин, споживаних організмом господаря. Продукти їх життєдіяльності викликають токсичну дію, але найбільш виражені ознаки токсикозу виявляються при загибелі і лізисі гельмінтів, коли в кров поступають продукти розпаду.
Деякі автори вважають провідним патогенетичним чинником алергічну реакцію організму хазяїна. В період алергічної реакції йде активне утворення тучних кліток, джерел гістаміну. Гістамін викликає спазм гладкої мускулатури, розширення капілярів, збільшення порозності їх, зниження артеріального тиску у зв'язку із застоєм крові в капілярах і збільшенням їх проникності, відбувається набряк тканин і згущення крові. Дія гістаміну призводить до збільшення секреції адреналіну, що викликає звуження артеріол і тахікардію. Гепарин, що вивільняється з тучних кліток, знижує згортуваність крові. Ацетілхолін продукується усіма тканинами, він скорочує гладку мускулатуру, підвищує кров'яний тиск, викликає місцеву гіперемію.
Відмічені явища алергії найбільш виражені у період гострого перебігу дірофіляріоза. Одним з показників алергії є еозінофільно-тучноклітинна реакція. При хронічному перебігу алергія послаблюється, кількість еозинофілів знижується до норми або залишається декілька підвищеним.
Гельмінт є чужорідним тілом і відповідно викликає дію захисних сил організму, направлених на його відторгнення. Для забезпечення свого існування гельмінти виділяють інгібітори протеолітичних ферментів і імунодепресанти, діючи на клітинні системи, що відповідають за відторгнення чужорідної тканини.
Клінічні ознаки.
Усі клінічні ознаки умовно можна розділити на:
1. Специфічні (стомлюваність, зниження маси, кашель, задишка, аритмії, збільшення правих відділів серця, шуми в серці, асцит, набряки, характерні зміни рентгенграфії легенів, гепатоспленомегалія, підшкірні гранулеми, пухлини, абсцеси).
2. Неспецифічні (загострення хронічних, уповільнених захворювань, знов виявлена патологія, яка може бути обумовлена алергічними реакціями негайного і сповільненого типу, - дерматити, екзема, артрити, захворювання нирок, жовчовивідних шляхів, печінки, селезінки, захворювання, обумовлені вторинним імунодефіцитом, - інфекційні хвороби, шкірні інфекції, хронічні отити, хронічні інфекції респіраторного тракту, сечовивідних шляхів, токсемія і лихоманка неясної етіології і ін.).
3. Природжена патологія і аномалії розвитку плодів - можуть з'явитися наслідком захворювання матері на дирофіляріоз.
Інтенсивність розвитку клінічних ознак залежить від ступеня інвазії. Оскільки гельмінт локалізується в серці і крупних судинах, то до найбільшого впливу схильні серцево-судинна і дихальна системи.
При низькому ступені інвазії хвороба може протікати практично непомітно. У хворих тварин спостерігаються слабкість, підвищена стомлюваність, зниження маси тіла. Температура тіла відповідає нормі або трохи підвищена. При збільшенні числа гельмінтів у серці розвивається гіпертрофія його правих відділів. Розвивається серцева недостатність, що призводить до застоїв у великому і малому кругах кровообігу. Можуть бути набряки, особливо в міжщелеповому просторі і нижніх відділах кінцівок, ціаноз шкіри і слизових оболонок, задишка. Серцева недостатність виражається також наявністю шумів у серці, прискореного ритму, переповнюванні вен. Відбувається ураження печінки і селезінки, що виражається в гепато- і спленомегалії. Виникає асцит, розвивається ниркова недостатність. При сильному ступені інвазії може виявлятися слабкість тазових кінцівок.
Можуть виникати шкірні явища у вигляді дерматитів, почервоніння шкіри, свербіння, випадання шерсті, виразки, але ці симптоми більш характерні для підшкірної локалізації гельмінта. Відмічені випадки нервових проявів (конвульсії).
За перебігом захворювання можна виділити такі основні форми дирофіляріозу (Мазуркевич А.Й. і ін., 2003 р.):
1. Синдром інтоксикації характеризується неспецифічними або стертими клінічними ознаками. Собака швидко стомлюється, апетит понижений або порушений, дихання утруднене, виражено загальне виснаження, апатію, кашель, іноді прослуховуються серцеві шуми. Можуть спостерігатися порушення нервової системи;
2. Шкірний синдром характеризується ураження шкіри голови, спини і кінцівок (міжпальцевий простір). Місця облисіння змінялися почервоніннями, припуханням спостерігаються множинні пустули, в яких гнійно-серозний зміст; потім з'являються незаживаючі виразки. Для вказаних поразок характерний стійкість до антибактеріальних і протизапальних препаратів, відсутність позитивної реакції на місцеве лікування різними препаратами;
3. Синдром псевдопухлинних розростань характерний появою пухлиноподібних розростань в міжпальцевому просторі, на нижній третині передніх кінцівок, в області молочної залози, на шкірі спини. Дані утворення діаметром до 2 см з інфільтрацією в дерму і підшкірної клітковини, можлива із'язвленість поверхні;
4. Синдром недостатності правого шлуночку. При обстеженні у хворих собак виявляють асцит, слабкість, збільшення нирок, задишку, тахікардію, анемічність слизистих оболонок, на ЕКГ - гіпертрофію правої половини серця. У асцитічеській рідині можна виявити мікрофілярії.
Залежно від тяжкості клінічних проявів хворих на дирофіляріоз собак можна розділити на такі групи (Пульняшенко П.Р., 2003):
1. Клінічно здорові тварини - виявлені мікрофілярії, спостерігаються еозинофілія помірна, біохімічні показники і результати дослідження сечі без змін;
2. Тварини з клінічними ознаками дирофіляріоза - спостерігається стомлюваність, млявість, перепочинок, кашель, гіперемія або блідість слизистих оболонок, шкірні висипання, аритмії. Можливі супутні захворювання (дерматити, екзема, кон'юнктивіт, гломерулонефрит, гепатит, порушення мозкового кровообігу, серцеві аритмії). При біохімічному дослідженні крові спостерігається підвищення рівня білка, амілази, сечовини і кератініна, білірубіну. Зміни морфологічних показників крові можливі наступні: еозинофілія, лейкоцитоз, нейтрофілез, зрушення формули вліво, рідко - моноцитоз. На УЗІ органів черевної порожнини можна виявити збільшення печінки, розширення печінкових вен, збільшення селезінки, розширення ниркових балій.
3. Тварини з важкими поразками всіх органів і систем - виражена серцево-судинна недостатність, ниркова недостатність, гепатити, панкреатит, панкреонекроз, асцит, м'язові болі, новоутворення шкіри і слизових оболонок, поразка ЦНС, парези, судоми, пієлонефрит, пневмонії, плеврити.
Діагностика.
Як і при будь-якому іншому захворюванні діагноз ставиться комплексно з урахуванням анамнезу, клінічних ознак, епізоотологичеськой ситуації, а також даних лабораторного, імунологічного, рентгенологічного дослідження, електрокардіографії і ехокардіографії.
гельмінт дирофіляріоз собака філярія
Найчастіше мікрофілярії в крові тварини виявляються випадково під час загального клінічного аналізу крові тварини. Але існують і методики, направлені безпосередньо на виявлення мікрофіляріємії.
Пряма мікроскопія свіжій краплі крові - найпростіший і швидший з методів діагностики дирофіляріоза. Рухомі личинки легко побачити між еритроцитами. Проте ефективна діагностика даним методом можлива лише при високому ступені інвазії.
Модифікований метод Кнотта показав якнайкращі результати у виявленні паразитів. Метод полягає в центрифугуванні крові з 2 % -ным розчином формаліну (у співвідношенні 1: 10) протягом 5 хвилин при 1500 об/мін. Далі після відстоювання осідань забарвлюють метиленовим синім і мікроськопіруют.
Проте існує і амікрофіляріємічная форма хвороби, коли у крові знаходиться лише невелика кількість личинок або їх немає взагалі внаслідок їх лізису у результаті захисних реакцій організму.
В цьому випадку найбільш переважним є використання імунологічних методів дослідження, за допомогою яких можна виявити антитіла до дирофілярій або самого антигена. Застосовуються методи непрямої флюоресценції, іммуноферментного аналізу (ІФА) і ферментного іммуносорбентного аналізу (ELISA) зважаючи на їх точність, специфічність, чутливість і швидкість виконання.
Модифікований метод Кнотта дає якнайкращі результати при практичній постановці діагнозу на наявність мікрофілярій у собак. Метод полягає в наступному: до 1 мл венозної крові додають 10 мл 2% -ного розчину формаліну. Цей розчин добре перемішують і центріфугують при 1500 об/хв протягом 5 хв. Надосадову рідину видаляють, а осад змішують з рівним об'ємом метиленового синього в розведенні 1: 1000 і залишають для фарбування на 5 хв. Забарвлений осад мікроскопують для виявлення фіксованих мікрофілярії.
Точність цих тестів, зазвичай використовуваних в практиці, підвищується при їх комплексному застосуванні. Модифікований метод Кнотта і мілліпорова фільтрація чутливіші, тому що вони концентрують L1, підвищуючи точність діагнозу. Проте жоден з цих методів не може виключати дирофіляріоз остаточно із-за поширеності амікрофіляріємічної форми хвороби і при невеликій кількості циркулюючих в крові личинок 1. Амікрофіляріємічна форма дирофіляріоза зустрічається приблизно у 25% хворих собак і зв'язана, можливо, з розвитком імунологічних реакцій, що призводять до лізису мікрофілярій. При амікрофіляріємічній формі лікар вимушений ставити діагноз на підставі клінічних, клініко-патологічних, імунологічних, і рентгенографічних результатів.
Приблизно в 25 % випадків дирофіляріоза наблядаєтся амікрофіляріємічна форма інвазії ефективність тестів, згаданих вище в підтвердженні діагнозу обмежена. Метод непрямої імунофлюоресценції використовується, щоб виявити антитіла до мікрофілярій, і має специфічну повноцінність при діагностиці дійсного дирофіляріоза і тих випадків, в яких L1 відсутні через імунне руйнування. Також розроблений метод імуноферментного аналізу при діагностиці дирофіляріоза (ELISA), за допомогою якого можна виявити антитіла до дирофіляріям або самого антигена. Тести, що виявляють безпосередньо дирофіляріозний антиген, є більш переважним. Метод непрямої імунофлюоресценції і ІФА розроблені за кордоном, де почали широко використовуватися через їх точність, чутливість, специфічність і швидкість. Після вдалої терапії дирофіляріоза метод IFA (1 рік) і ELISA (6 місяців) дають позитивний результат при визначенні антитіл.
Рентгенографічне дослідження грудної клітки не може виявити дирофілярій, але дозволяє встановити непрямі ознаки захворювання, такі як, гіпертрофія правого шлуночку, розширення легеневої артерії і збільшення синуса порожнистих вен.
Рентгенографія грудної порожнини хоча і не є добрим методом для виявлення - дирофілярій, але дозволяє побічно визначити ступені інвазії за оцінкою легеневих паренхіматозних змін. Рентгенографічні зміни, які розвиваються на ранніх стадіях хвороби, присутні приблизно в 85% випадків. Рентгенографічні зміни включають збільшення правого шлуночку (60% випадків), розширення легеневої артерії в місці її виходу з серця 70%, розширення і збільшення рентгенографічної щільності легеневих артерій (50) %, а також звитість легеневої артерії 50%. Якщо при цьому присутня серцева недостатність, то наголошується збільшення синуса порожнистих вен, печінки і селезінки, а також спостерігається плевральний випіт або асцит.
Метод ехокардіографії точніше виявляє збільшення правого відділу серця, а також зафіксовані випадки виявлення гельмінтів в порожнині серця і легеневої артерії при перехресній ехокардіографії.
Електрокардіографія дозволяє виявити аритмії, але в порівнянні з рентгенографією не дає можливості виявити збільшення порожнин серця.
Якщо за наслідками рентгенографії не можна припустити дирофіляріоз, то маловірогідно, що електрокардіограма допоможе встановити цю інвазію. Виявлення збільшення правого шлуночку дозволяє запідозрити дирофіляріоз.
Гематологічні і біохімічні дослідження також входять в комплексну діагностику дирофіляріоза і дозволяють визначити зміни в структурному і хімічному складі крові, викликані наявністю дирофілярій або паралельним захворюванням.
Найчастіше спостерігається збільшення числа нейтрофілів, базофілів і еозинофілів на фоні гіпохромної анемії. Біохімічно виявляється підвищення концентрації Асат, Алат. При ураженнях печінки і нирок наголошується гіпербілірубінемія, азотемія і ін.
Гематологічні і біохімічні зміни крові не дозволяють поставити діагноз дирофіляріоза, але вони дозволяють визначити паралельне захворювання, яке може або не може бути пов'язане з дирофіляріозом.
Найчастіше при дирофіляріозі зустрічаються гіпохромна нерегенеративна анемія, нейтрофілія (20-80% випадків), еозинофілія (85% випадків) і базофілія (60%). У важких випадках, особливо, якщо присутня серцева недостатність підвищується активність АЛАТ і АСАТ (10% випадків), іноді наголошується гіпербілірубінемія. Азотемія, спостережувана тільки в 5% випадків, може бути позаниркового походження, якщо присутні дегідратація або порок серця, або може бути вторинна при гломерулонефриті. Гломерулонефрит може ускладнювати клінічну картину. При дослідженні сечі рідко виявляють ізостенурію, частіше спостерігається альбумінурія (10-30% випадків).
Диференційна діагностика.
Проводиться з іншими паразітозамі крові, рикетсіозами, з неінфекційною патологією серцево-судинною, респіраторною і інших систем, пухлинами шкіри різного генезу, іммунодефіцитамі різної етіології.
Прогноз.
Згідно даним літератури, життя статевозрілого паразита в організмі тварини може продовжуватися від 2-х до 3-х років. Після цього дирофілярія гине і лізується (розсмоктується) лейкоцитами і макрофагами тваринного організму.
Проведення мікрофіляріцидної терапії дає можливість зменшити пряму і непряму токсичну дію личинок дирофілярій на організм тварини, в більшості випадків надовго гальмує активність статевозрілих паразитів і дає можливість виграти час.
При дуже великій інвазії, коли в організмі тварини знаходиться величезна кількість дирофілярій, необхідне проведення повторних курсів лікування, до повного знищення личинок і досягнення токсичної дії лікувальних препаратів на дорослих гельмінтів. В основному достатньо проведення одного терапевтичного курсу з подальшими контрольними дослідженнями кожні три місяця.
Згідно даних деяких авторів більше 80% всіх тварин після проведення мікрофіляріцидної терапії не потребували повторних курсів лікування.
Основна маса тварин, у яких був виявлений дирофіляріоз, але не було проведено лікування (в основному через нерозуміння власниками серйозності проблеми), в подальшому була госпіталізована у зв'язку з важкими ускладненнями, що розвинулися на фоні основного захворювання, - дирофіляріоза.
Лікування.
При лікуванні тварин, хворих дірофіляріозом, слід враховувати ступінь клінічних проявів і патологій, які розвиваються внаслідок даного захворювання
При важких патологіях обов'язково необхідно починати лікування із застосування інтенсивної терапії, яка направлена на усунення ускладнень захворювання.
Лікування також є комплексним і виглядає таким чином:
Специфічна терапія - направлена на усунення етіологічного чинника (статевозрілі дірофілярії і їх личинки). Для специфічної терапії застосовуються наступні препарати: левамізол, івомек, тіацетарсамід, фентіон, мебендазол, дитіазанін і інші подібні препарати
Антикоагулянти (аспірин, гепарин);
Антигістамінні препарати (супрастин, тавегіл, димедрол);
Імуностимулятори (ронколейкин);
Гепатопротектори (ессенциале), антиоксиданти (еміцидін), аналептіки (сульфокамфокаїн), препарати, поліпшуючі мікроциркуляцію крові (трентал, енап), і препарати, що впливають на метаболічні процеси в серцевому м'язі (рібоксин, кокарбоксилаза), а також інфузійна терапія (різні сольові і колоїдні розчини).
Така велика кількість медикаментів необхідна для профілактики ускладнень, що виникають при лікуванні специфічними препаратами. Не виключається можливість закупорки судин мікрофіляріями або мертвими статевозрілими дирофіляріямі, що може привести до дегенеративних змін в органах і тканинах, де відбулася закупорка і навіть до негайної загибелі тварини при емболії важливих артерій і вен дорослими гельмінтами. Крім того, ці препарати володіють токсичною дією на організм тварини і необхідно попередити розвиток інтоксикації організму. Застосування антигістамінних засобів знижує ризик алергічної реакції. А також як патогенетична терапія застосовуються імуностимулятори для відновлення захисних сил організму.
Терапія, направлена на знищення статевозрілих паразитів. В більшості випадків дірофіляріоза необхідно позбавити пацієнта від паразита, що заподіює біль. Для цього застосовуються препарати, що впливають на дорослих гельмінтів.
Тіацетарсамід застосовується внутрішньовенно двічі в день щоденного в дозі 1 міліграма на кг протягом 15 днів. Лікування можна повторити через 3-5 місяців. Дорослі паразити починають гинути протягом першого тижня після обробки (лікування); цей процес завершується в межах 3 тижнів. Хоча клінічний ефект препарату хороший, гине від 46 до 96% паразитів, що пов'язане з тим, що статевонезрілі особини стійкіші. Тільки 50% експериментально заражених собак виліковуються після одного курсу терапії, тому необхідне проведення повторних курсів з періодичним контролем ефективності лікування (дослідження крові і серологічні методи).
Тіацетарсемід, на жаль, токсичний препарат і може викликати некроз шкіри, гепаторенальну дисфункцію і емболію легеневої артерії мертвими черв'яками. Тому необхідний контроль за біохімічними показниками крові - активністю ферментів печінки, азотом сечовини крові, креатиніном сироватки і результатами аналізу сечі.
Застосування аспірину в дозуванні - 5 міліграм/кг щодня зменшує вірогідність закупорки легеневої артерії мертвими паразитами. оскільки аспірин сприяє їх лізису. Некрозу шкіри можна запобігти введенням в місці ін'єкції фізіологічного розчину або застосуванням після ін'єкції примочок з дімексидом.
Філарсен також діє тільки на статевозрілі форми дирофілярій. Його застосовують в дозі 1 міліграму на кг 3 рази день щодня протягом 10 днів.
Івомек ефективний при боротьбі із статевозрілими паразитами. Його застосовують в дозі 200 мкг на кг всередину в суміші з пропіленгліколем.
У Японії був розроблений метод механічного видалення паразита із застосуванням гнучких щипців. Цей метод був ефективний в 90% випадків.
Мікрофіляріцидна терапія. Хоча живі мікрофілярії мінімально шкідливі для господаря, вони повинні бути усунені з кількох причин. По-перше, собака залишиться інвазивним по відношенню до інших собак, крім того, діагноз майбутніх заразливих хвороб може бути спотворений постійною мікрофіляріємієй.
Як мікрофілярієциди застосовують наступні препарати:
Фентіон застосовують місцево (наносять на шкіру). Призначають в кількості 20 міліграма на кг в день протягом 3-х днів перший місяць, протягом 4-х днів другий місяць і протягом 5 днів п'ятий місяць. У подальшому препарат наноситься в дозі 100 міліграм на кг один день кожного місяця. Потім протягом місяця замість фентіону дають один з препаратів миш'яку, після чого знову застосовують фентіон, починаючи з малих доз. Цей препарат можна застосовувати і для профілактики дирофіляріоза.
Івермектін також використовується як мікрофілярієцида. Його застосовують в дозі 0,1-0,2 міліграм на кг всередину в суміші з пропіленгліколем. Через 4 тижні після обробки проводять дослідження на дирофіляріоз і з'ясовують, чи необхідне подальше застосування цього препарату. Івермектін вельми ефективний, він знищує мікрофілярії в течію від 4 до 24 годин. Більш ніж 70% собак вільні від мікрофілярій через 10 або менше днів, і лише 4% собак вимагає продовження лікування івомеком.
Побічні реакції, включаючи пригноблення, анорексію і блювоту, спостерігалися менше, ніж у 5 % собак. У коллі спостерігається підвищена чутливість до івомеку, тому застосування препарату не можливе.
Левамізол застосовується при мікрофілярицидній терапії і при терапії, направленій на знищення статевозрілих паразитів. Його вводять курсом в зростаючих дозах 3 міліграми/кг в добу - два тижні, 6 міліграм/кг - подальші два тижні і 12 міліграм/кг - ще два тижні.
Мебендазол застосовують всередину в дозі 40-80 міліграм/кг протягом 30 днів.
Дитіазанін дають перорально в дозі 4,4 міліграм/кг протягом 7 днів. Якщо після курсу лікування в крові спостерігають мікрофілярії, курс повторюють, збільшуючи дозу до 11.1 міліграма/кг.
Можливі ускладнення при дірофіляріозі та їх лікування
Алергічна пневмонія спостерігається у 14% собак з дирофіляріозом. Для лікування застосовуються кортикостероїди (Преднізон або преднізолон в дозі 1-2 міліграми/кг один раз на день перорально протягом тижня). При ослабленні клінічних ознак і проясненні уражених ділянок на рентгенограмі лікування припиняють у зв'язку з тим, що кортикостероїди можуть понизити ефект від застосування антгельмінтіков. Після цього негайно починають проводити специфічну терапію.
Серйозніше ускладнення - легеневий еозінофільний гранулематоз вимагає застосування кортикостероїдів (Преднізону або преднізолону) в дозі 2 міліграми/кг двічі в день щоденного, відчутний терапевтичний ефект наступає через 2 тижні після початку застосування. Для посилення ефекту імуносупресії можна застосовувати одночасно циклофосфамід або азатіопрін.
Емболія мертвими паразитами зустрічається спонтанно або після антігельмінтной терапії. Лікування ускладнень включає застосування аспірину в дозі 0,5 міліграм/кг двічі в день протягом 4-6 тижнів, преднізолону 1-2 міліграми/кг щоденні, антибіотиків, бронхолітічеських засобів (наприклад, амінофіллін, еуфіллін) і рідинної терапії.
Аспірин не застосовують при загрозі виникнення шлунково-кишкових кровотеч.
Профілактика.
Безперечно, попередити захворювання набагато легко, ніж вилікувати. Профілактика дирофіляріоза в першу чергу полягає в недопущенні контакту тварини з кровосисними комахами. Захворювання розповсюджується комарами, але існує думка, що в ролі розповсюджувачів можуть виступати і інші кровосисні комахи, а також кліщі. Звичайно, тварини більше потребують захисту в теплий період року, але в нашому регіоні комарі часто розмножуються в сирих підвалах будинків і їх можна зустріти цілорічно. Для знищення і відлякування переносників захворювання використовують різні інсектициди і репеленти, а також проти личинок у водоймищах - ларвіциди (дурсбан, фентіон).
Деякі із засобів специфічної терапії дірофіляріоза можна використовувати і для профілактики захворювання (фентіон, діетілкарбамазін, івомек), але вони володіють токсичною дією на організм і їх застосування може супроводжуватися побічними явищами, такими як діарея, блювота, пригноблюваний стан і ін.
Останнім часом все частіше фахівці рекомендують використовувати препарат Стронгхолд, який менш токсичний для тварин і володіє дирофіляріциднною дією.
Не варто забувати про те, що на дирофіляріоз хворіє і людина. У людини гельмінти частіше локалізуються під шкірою, але не рідко їх виявляють в очному яблуці. Передача паразитів здійснюється від хворих тварин через комарів.
Важливий захід в профілактиці дирофіляріоза - недопущення контакту тварин з кровосисними комахами. для знищення яких використовують інсектициди, а личинок у водоймищах - ларвіциди (фентіон. дурсбан. хлорфенвінфос).
Запобігання інвазії - найважливіше завдання ветеринарного лікаря. Собаки з мікрофіляріємічною формою дирофіляріоза повинні бути ізольовані на час лікування, якщо існує загроза зараження інших тварин (у літній період).
Діетілкарбамазін (дітразін ветеринарний, локсуран) є найбільш переважним при вибиранні засобу для профілактики дірофіляріоза у зв'язку з тим, що він безпечний і ефективний, його необхідно давати щодня в дозі (6.6 міліграм/кг перорально), що зв'язане з деякими незручностями. Діетілкарбамазін, як вважають, вбиває L3 і ранні мігруючі тканина личинки (L4). На жаль, це лікарський засіб має тільки невеликий часовий період терапевтичної ефективності, тому необхідне його часте повторне введення. Діетілкарбамазін повинен застосовуватися щодня від початку сезону активності москітів і до заморозків. У деяких географічних регіонах постійна активність москітів диктує необхідність цілорічної профілактики.
Діетілкарбамазін необхідно застосовувати тільки для собак, вільних від мікрофілярій, таким чином необхідне щорічне обстеження на дірофіляріоз. Призначення дітразіна собакам з мікрофіляріємієй викликає у 25% тварин побічну реакцію, що виявляється депресією, гіперсалівацією, блювотою, проносом, слабким пульсом, анемічністю слизистих оболонок і брадикардією. Згодом у собак розвивається сильна слабкість, задишка, тахікардія і 9% тварин гине.
Івермектін (івомек) - антгельмінтік широкого спектру дії - є ефективним препаратом і може застосовуватися з профілактичною метою один раз в місяць. Він діє на личинки L4, забезпечуючи терапевтичний ефект тривалістю в декілька тижнів. Побічні реакції на цей лікарський засіб, вживаний в профілактичних дозах, набагато менші, ніж при застосуванні дітразіна. У собак з мікрофіляріємієй може, проте, спостерігатися пронос. Івермектін в дозі 0,05-0,1 міліграм/кг перорально застосовується щомісячно з початку сезону активності комарів, включаючи місяць після закінчення сезону активності.
Результати власних спостережень.
У розпліднику були виявленні 3 цуценяти віком 4-5 місяців, у яких спостерігалась стомлюваність, зниження ваги, кашель, задишка та аритмії. Були зробленні лабораторні дослідження крові. Результати, яких показали підвищення еозінофілів та базофілів. Біохімічні дослідження показали збільшення концентрації АСТ і АЛТ. Були виявлені мікрофелярії під час дослідження загального аналізу крові. При мікроскопії свіжої краплі крові були виявленні мікрофілярії між ерітроцитами.
Діагноз ставили комплексно на підставі анамнезу, клінічних ознак, епізоотологічної ситуації, а також даних лабораторного і біохімічного дослідження.
Цуценята були розділенні на групи: 1 група для лікування першого цуценя використовували препарат - івомек із розрахунку 200мг на кг живої ваги 7 днів
гепарин в дозі 0,3 мл в\в 7 днів - супрастин Ѕ таблетки 7 днів - есенціале 0,5мл в/в розводили до 4мл фізрозчином 7 днів - імуномодулятор ріботан 1,0 в/м 5 днів
Для лікування 2 групи застосовували: - Тіацетарсамід в/в двічі в день щоденно в дозі 1 міліграма на кг 15 днів. - аспірин 5 міліграм/кг щодня 15 днів - імуномодулятор імунофан 1,0 в/м 7 днів.
Третя група контрольна, деякий час собак не лікували.
Після лікування 1 групи через 10 днів були проведенні повторні лабораторні та біохімічні дослідження: живих мікрофілярій виявлено не було, печінкові показники приблизилися до норми, у цуценяти зникли загальні симптоми захворювання. Воно стало більш жвавіше, почало цікавитися їжею після 4 днів лікування. Після лікування 2 групи через 15 днів були проведенні повторні лабораторні та біохімічні дослідження: результати аналогічні, але стан здоров'я почав покращуватися через 15-18днів.
Профілактичні заходи:
1. Для знищення і відлякування переносників захворювання використовували інсектициди і репеленти, а також проти личинок у водоймищах - ларвіциди (дурсбан, фентіон).
2. використовували препарат Стронгхолд;
3. тварини були ізольовані на час лікування;
Економічні збитки і окупність ветеринарних заходів.
Економічні збитки від захворювання складаються з:
1. Обстеження тварин ветеринарним спеціалістом
О = Ц + Ктв, де\
Ц - вартість обстеження однієї тварини;
Ктв - кількість хворих тварин.
О = 25*3 =75 грн
2. Проведення всіх діагностичних заходів:
Д = ( (Б + З) * Ктв) *2, де
Б - вартість біохімічного дослідження крові, З - вартість загального дослідження крові. Ктв - кількість хворих тварин.
2 - кількість досліджень (до і після лікування).
Д = ( (60 + 15) *3) *2 =450грн
3. Проведення лікувальних заходів.
Л = Цл* Ктв, де
Цл - вартість курса лікування однієї тварини,
Ктв - кількість хворих тварин.
Л = 350 * 3=1050 грн
4. Зниження собівартості цуценя від перехворювання
С = А * Б * Ктв, де
А - відсоток втрати собівартості одного цуценя,
В - собівартість цуценя,
Ктв - кількість хворих тварин.
С = 50% * 1500 * 3 = 2250 грн
Ез = О + Д + Л + С, де
О - обстеження тварин ветеринарним спеціалістом
Д - проведення всіх діагностичних заходів
Л - проведення лікувальних заходів
С - зниження собівартості цуценяти від перехворювання
Ез = 75 + 450 + 1050 + 2250 =3825 грн
Загальні економічні збитки від перехворювання трьох цуценят становлять 3825 грн.
Висновки
На основі виконаної роботи можна зробити наступні висновки:
1. У розпліднику „Хантер Хонорс” було зареєстровано 3 випадки захворювання на дирофіляріоз.
2. М`ясоїдні були ураженні - D. Immitis.
3. Завдяки проведенню лікувально-профілактичного комплексу інвазію було ліквідовано.
4. Із застосованих двох схем лікування більш ефективною була комплексна терапія, яка включала протипаразитарні препарати, вітамінні та імуностимулюючі препарати
5. Економічні збитки спричиненні розпліднику захворюванням склали 3825грн.
Список використанної літератури
1. Архипов И.А., Архипова Д.Р. Дирофиляриоз. - М., 2004. - 194 с; №7 2005
2. Архипова Д.Р. "Теория и практика борьбы с паразитарными болезнями". - М., 2004. - Вып.5. - С.42-44.
3. Борисова М.А., Сирот/о/с Н.П. Дирофиляриоз у человека // Проблемы и перспективы паразитологии. - Харьков - Луганск, 1997. - С.28-29.
4. Веденеев С.А. // Ветеринария. - 2004. - № 6. - С.33-35. вет мед 7 2005
5. Величко С.В., Василик Н.С., Мисюрин А.В., Абраменко Н.В. // Матер. YI Мижн. наук. - практ. конф. - Киев, 2001. - С.15-18.
6. Дахно I. C., Немешкало Ю.П., Дахно Г.П., Шкурка К.П. Дирофиляриоз собак у Північно-Східній частинУкраїни. - К., 2005. - С.97-99.
7. Карвовський О., Макаревич О., Тростянецька Ю., Макаревич Т. Дірофіляріоз собак у Криму // Вет. медицина України. - 1997. - №5. - С.26.
8. Мазуркевич А.И., Величко С.В., Василик Н.С. и др. // Ветеринарна мед. Укр. - Киев, 2001,. - С.18-19.
9. Поживіл A.I., Міщишин В.Т., Галат В.Ф. Випадки захворювання собак на дірофіляріоз в Україні - К., 1998. - С.114-116.
10. Поживіл А.I., Горжеєв В.М. Дірофіляріоз собак // Вет. медицина України. - 1999. - №3. - С.38-40.
11. Пульняшенко П.Р. „Дірофіляріоз собак”. - К., 2003 - 68с
12. Середа С.В., Лагунова Н.М., Прокопенкова И.А., Давыдова Н.С. // Матер. восьмой международн. конф. по проблемам вет. мед. мелких домашних животных, 6-8 апреля 2000 г., Москва, Россия. - М., 2000. - С.186-188
13. Шинкаренко А.Н., Акимова С.А., Петров Ю.Ф. и др. // Матер. докл. науч. конф. “Теория и практика борьбы с паразитарными болезнями”. - М., 2005. - С.407-408.
14. Ястреб В.Б. // Матер. докл. науч. конф. “Теория и практика борьбы с паразитарными болезнями”. - М., 2004. - С.443-445.
Додатки

Промежний хазяїн роду Anopheles.


Мікроскопія виділеного гельмінта

Мікрофілярії в просвіті судин печінки. Пряма ушкоджувальна дія останніх привело до розвитку важкого гострого токсичного гепатиту (запалення печінки).

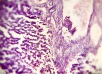
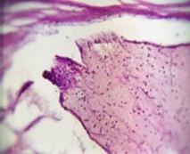
Один з варіантів шкірних проявів дірофіляріоза - хронічні, тривало не заживаючі виразки і рани шкіри.

Мікропрепарат. Гістологічний зріз міокарду і коронарної судини серця. У просвіті судини видно множинні крапки і смужки - мікрофілярії, які знаходяться в просвіті коронарної судини і викликають розвиток запалення серцевого м'яза - міокардит.

Серцевий глист в порожнині правого шлуночку серця собаки. Цей глист проник в просвіт коронарної артерії і викликав інфаркт міокарду.
(На жаль, собака загинув. На фото представлені матеріали аутопсії).


Мазок крові, забарвлений по 9. Розвиток D. Immitis
Май-грюнвальду Мікрофілярії в проміжних хазяєвах.
У крові. (Мікрофілярії забарвленіу синій колір, еритроцити - у фіолетовий).

D. Repens в очному яблуці людини (по матеріалах В. Торелло)

Тромб в порожнині серця, який утворився в результаті загибелі дорослих дірофілярій і привів до смерті тварини.



Забарвлення мазків периферичної крові за Папенгеймом: а - класичний тип мікрофілярій. х 360; б, в - атипова форма мікрофілярій. х 160; х 360


13. Цитохімічне визначення активності кислої фосфатази за Goldberg, Barka (1962): а - х 360; б - х 160


Шкірний синдром Псевдопухлине ураження кінцівки
Спочатку з'являються ділянки облисіння, потім почервоніння, припухлість, множинні пустули із серозним і гнійним вмістом, пізніше - виразки.

Собака з дирофіляріозним асцитом