| Скачать .docx | Скачать .pdf |
Реферат: К методике определения цитокинетических показателей эритроцитарного баланса крови птиц
К методике определения цитокинетических показателей эритроцитарного баланса крови птиц
Е.А. Липунова, М.Ю. Скоркина
Белгородский государственный университет
Изложен оригинальный способ определения функциональной активности костного мозга (эритроцитарного баланса) у птиц в физиологических условиях, который может быть использован в качестве интегрального теста при оценке адаптационных резервов системы эритрона в условиях действия экстремальных факторов. Это позволяет использовать предлагаемый способ в гематологии и экологии животных. Способ технически прост, экономичен и отличается высокой воспроизводимостью.
Введение
В настоящее время разработаны надежные методы определения отдельных периодов и всего генерационного цикла клеток [1, 4, 6]. Особый интерес представляет количественная характеристика резерва эритроцитов, возможность его мобилизации при различных состояниях организма. Современная методика подсчета костномозговой продукции эритроцитов, разработанная Е.Н. Мосягиной [3, 4] и усовершенствованная А.В. Илюхиным и соавт. [1], основана на определении продолжительности жизни эритроцитов по содержанию ретикулоцитов до и после инкубации пробы крови за определенный промежуток времени, поскольку равновесие системы эритрона в норме обусловлено двумя факторами: естественной гибелью эритроцитов и их костномозговой продукцией [6].
Метод не получил широкого распространения ввиду недостаточной его проработанности, высокой вариабельности и не всегда физиологически обоснованных различий цифровых данных, отражающих концентрации ретикулоцитов, определяемых при разных способах их окраски. Кроме того, анализ литературных источников показал достаточно редкую применимость метода при исследовании активности эритропоэза у птиц и низших позвоночных и, как следствие, слабую изученность обозначенного вопроса у этих групп животных. Применение общепринятого способа оценки интенсивности эритропоэза у других систематических групп животных не представляется возможным ввиду физиологоморфологических и биохимических особенностей эритроидного ростка кроветворения, а именно - различной скорости созревания, высокого разновозрастного полиморфизма клеток в периферическом русле и сохранения ядер у зрелых форм.
В связи с этим задачей исследования явились усовершенствование способа выявления ретикулоцитов и их возрастной классификации для функциональной диагностики системы красной крови по данным подсчета инкубированных ретикулоцитов птиц в физиологических условиях.
Материалы и методы исследования
Объектом исследования служила кровь, полученная из подкрыльцовой вены у здоровых половозрелых петухов кросса «Иза Браун». В качестве антикоагулянта использовали 3,8% цитрат натрия, 0,1 мл которого смешивали с 0,4 мл крови. Кровь с антикоагулянтом инкубировали в течение 4 ч [2] в биологическом термостате при 39°С. По истечении времени инкубации в пробирку отбирали 0,3 мл крови и добавляли 0,1 мл 1% раствора бриллиантового крезилового синего, приготовленного на физиологическом растворе (0,9% NaCl), продолжительность окрашивания при комнатной температуре составила 40 мин. Затем на чистых обезжиренных стеклах готовили мазки, которые фиксировали в метаноле, высушивали на воздухе и микроскопировали под иммерсией. Подсчет ретикулоцитов производили по степени их зрелости на 1000 эритроцитов, используя анализатор изображений «Видео-Тест-Мастер-Морфология» с программным обеспечением [5]. Диагностику функционального состояния системы красной крови производили по показателям эритроцитарного баланса, которые рассчитывали по формулам, предложенным А.В. Илюхиным и соавт. [1].
Результаты исследования
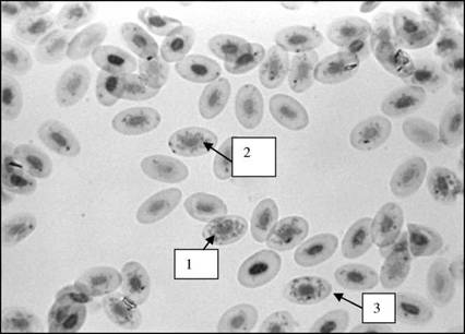
Используя предлагаемый способ, в крови птиц выявлены ретикулоциты в виде вытянутых эллипсоидов, окрашенных в бледно-зелёный цвет с ядром от светло-синего до фиолетового цвета, и синей сеточкой, имеющей различную конфигурацию в клетках разной степени зрелости: ретикулоциты 1 класса - сеточка заполняет всю цитоплазму и накладывается на ядро; ретикулоциты 2 класса - сеточка густо заполняет всю цитоплазму, при этом не накладывается на ядро; ретикулоциты 3 класса - сеточка расположена в основном вокруг ядра, иногда в виде эксцентрично лежащих клубков; ретикулоциты 4 класса - сеточка в виде нитевидных образований и отдельных включений, рассеянных по всей цитоплазме. Эритроциты - бледно-зелёного цвета с интенсивно синим ядром, без внутриклеточных включений (рис.).

Периферическая кровь петухов, увеличение х1600 1- ретикулоцит 1 класса, 2 - ретикулоцит 2 класса, 3 ретикулоцит - 3 класса.
Как видим, в условиях физиологической регенерации системы крови в связи с особенностью эритропоэза птиц, который при нормобластическом типе кроветворения предполагает поступление недозревших форм эритроцитов в периферическую кровь, где завершается процесс их формирования, присутствуют ретикулоциты третьего и четвёртого классов. Причём ритм регенераторных процессов системы эритрона (интенсивность эритропоэза) у отдельной особи будет зависеть от лабильности и адаптационных возможностей нервных структур, а также функционального резерва костного мозга птицы. Результаты показателей эритрокинетики представлены в табл.
Показатели эритроцитарного баланса крови птиц в физиологических условиях
| № птицы |
^р, млн/мкл |
Классы ретикулоцитов , % |
^0, % |
Np4, % |
Ту р, ч |
Ту эр, сут |
N, тыс/ (мкл-сут) |
| I - 0 |
|||||||
| 3 |
5,2 |
II - 0 |
2,7 |
0,8 |
2,28 |
35,18 |
102433,2 |
| III- 1,2 |
|||||||
| IV- 1,5 |
|||||||
| I - 0 |
|||||||
| 7 |
4,96 |
II - 0 |
2,6 |
0,4 |
1,48 |
23,71 |
137080,1 |
| III- 1,8 |
|||||||
| IV- 0,8 |
|||||||
| I - 0 |
|||||||
| 9 |
5,55 |
II - 0,1 |
3,4 |
0,5 |
1,45 |
17,77 |
216440,6 |
| III- 1,6 |
|||||||
| IV- 1,7 |
|||||||
| I - 0 |
|||||||
| 10 |
3,7 |
II - 0 |
2 |
0,7 |
2,64 |
55 |
46620,0 |
| III- 0,9 |
|||||||
| IV- 1,1 |
Примечание: N эр - количество эритроцитов в 1 мкл крови; Np0 - количество ретикулоцитов до инкубации; Np4 - количество ретикулоцитов после 4 ч инкубации; Т У p - период полувыведения ретикулоцитов из пробы, обусловленный их созреванием; Т У эр - период полувыведения эритроцитов из кровотока; N - продукция эритроцитов.
Заключение
Показатель функциональной активности эритроидного ростка кроветворения является одним из важных диагностических тестов, применяемый при оценке интенсивности процессов физиологической и репаративной регенерации в системе крови, может быть изучен у различных систематических групп животных с использованием менее атравматичного для клеток, точного метода, позволяющего получать достоверные результаты и экономить время исследования.
Список литературы
Илюхин А.В., Бурковская Т.Е., Шафиркин А.В., Ключанская Н.В. Некоторые методические вопросы исследования эритроцитарного баланса по данным подсчета инкубированных ретикулоцитов // Космическая биология и авиакосмическаямедицина.-1982.-Т.16, № 3. - С. 86-88.
Ляпунова Е.А., Скоркина М.Ю. Цитокинетические показатели эритроцитарного баланса у птиц в физиологических условиях // Физиология организмов в нормальном и экстремальном состояниях. Сборник статей. - Томск: Изд-во ТГУ, 2001. - С. 31-33.
Мосягина Е.Н. Эритроцитарное равновесие в норме и патологии - М.: Медгиз, 1962. - 271 с.
Мосягина Е.Н., Владимировская Е.Б., Торубарова Н.А., Мызина Н.В. Кинетика форменных элементов крови. - М.: Медицина, 1976. - 270 с.
Патент на изобретение № 2227280 РФ. Способ определения ретикулоцитов в инкубированной крови птиц / М.Ю. Скоркина, Е.А. Липунова. - по заявке № 2002119253 от 16.07.02 // БИПМ. - № 11, Ч. - 2004. - С. 557.
Илюхин А.В., Шашков В.С., Бурковская Т.Е., Зубеннова Э.С. Цитокинетика и морфология кроветворения при хроническомоблучении.-М.:Энергоиздат,1982. - 136 с.