| Скачать .docx | Скачать .pdf |
Реферат: Классификация животных тканей
Министерство Сельского Хозяйства РФ
ФГОУ ВПО Рязанский Агротехнологический
Университет имени П.А. Костычева
кафедра: товароведение и экспертиза
Расчетно-Графическая работа на тему: Классификация животных тканей.
Выполнил: студент 3 курса
технологического факультета
по специальности “товароведение”
Титков Д. О.
Проверил: Шашурина Е. А.
Рязань 2010
Ткани животных и растений
Для клеток многоклеточных организмов характерна специализация и объединение, в результате которых они образуют структуры, получившие на-звание тканей, из которых формируются органы. Впервые термин «ткань» был использован англичанином Н. Грю еще в 1671 г. С тех пор эти системы стали предметом изучения ученых — гистологов многих поколений. В наше время под тканью понимают систему объединенных клеток и их производных, вы-полняющих сходные специализированные функции. К этому следует добавить, что ткани являются результатом развития живых форм в ходе филогенеза и он-тогенеза.
Клетки объединяются в составе тканей с помощью разных механизмов — «прикрепительных» и «коммуникационных». «Прикрепительный» механизм заключается в том, что клетки с помощью рецепторов адгезии (адгезинов) мо-гут присоединяться к так называемому внеклеточному матриксу, представляю-щему собой сеть органических молекул (фибриллярных белков) и лигандов, по-груженных в полисахаридный гель. Основным белком во внеклеточном мат-риксе является коллаген, полимерные формы которого сосредоточены в коже, сухожилиях, хрящах, кровеносных сосудах, внутренних органах и т. д. Важ-нейшей особенностью молекул коллагена является то, что им присуща трехце-почечная спиральная структура. Они могут связываться между собой межкле-точными соединениями в виде адгезионного соединения или разных клеточных контактов (десмосом) или контактов между межклеточным матриксом и клет-ками (полудесмосом).
Помимо «прикрепительных» соединений для клеток в тканях характерны «коммуникационные» соединения, наиболее распространенные из которых по-лучили название щелевых контактов. Различают несколько видов таких контак-тов. Они могут быть представлены щелями между плазматическими мембрана-ми соседних клеток, заполненными рыхлой сетью органических молекул (вне-клеточным матриксом), что обеспечивает щелевой контакт клеток. Далее, ще-левые контакты могут иметь вид выпячиваний (выроста)
плазматической мем-браны одной клетки в плазматическую мембрану другой клетки и слипанием этих выпячиваний. Щелевые контакты позволяют малым молекулам перехо-дить из одних клеток в другие. В случае нервных клеток имеют место синапсы, позволяющие передачу электрических и химических сигналов от одной клетки к другой. Важно подчеркнуть, что любой из названных межклеточных контак-тов основан на межмембранных связях.
Механизм объединения клеток растений является другим. Поскольку у них нет плазматической мембраны, но есть клеточная стенка, которая содержит каналы, то соединение соседних клеток обеспечивается соединением их цито-плазматическими мостиками (плазмодесмами), представляющими собой цито-плазму, проникающую через каналы.
Организация тканей связана с наличием у клеток обмена информацией, который достигается выделением клетками химических веществ, выполняю-щих функцию сигналов для других клеток, наличием на поверхностной мем-бране клеток сигнальных молекул, влияющих на другие клетки при их контак-те, и щелевых контактов, позволяющих обмен малыми молекулами.
Химическая сигнализация осуществляется с помощью сигнальных моле-кул, в частности, гормонов, выделяемых эндокринными клетками и воздейст-вующих через кровь на клетки-мишени, а также с помощью локальных химиче-ских медиаторов, действующих только на ближайшие (соседние) клетки. В случае нервной системы клетки секретируют нейромедиаторы. Примерами бел-ковых гормонов являются инсулин, соматотропин, адренокортикотропный гор-мон, тогда как стероидными гормонами являются эстрадиол, тестостерон, кор-тизол и другие. Сигнальными молекулами являются также некоторые олиго-пептиды (соматостатин, вазопрессин и др.), адреналин и нейромедиаторы (гли-цин, ацетилхолин и др.). Примером локальных сигнальных молекул является гистамин, выделяемый клетками соединительной ткани (тучными клетками). Сигнальные молекулы еще называют лигандами. Они связываются со специфи-ческими белковыми рецепторами на поверхности клеток-мишеней, в результате чего акт связывания генерирует сигнал, влияющий на поведение клеток, в част-ности на их кооперацию, ведущую к образованию тканей. Сигнальными моле-кулами, синтезируемыми на мембранной поверхности клеток, являются про-стагландины. Они очень быстро синтезируются и очень быстро разрушаются.
Образование тканей (гистогенез) у животных происходит из эктодермы, энтодермы, мезодермы и мезенхимы в период эмбриогенеза, а основными эле-ментами тканей, как отмечено выше, являются клетки и их производные в виде неклеточных структур. Таким образом, ткань можно определить в виде сооб-щества клеток и их производных со специализированными функциями.
В рамках классификации тканей, основанной на морфофунк-циональном принципе, у животных и человека различают 5 типов тканей, а именно: эпите-лиальную, соединительную, мышечную и нервную ткани, а также кровь и лим-фу.
Эпителиальная тканъ, или эпителий, состоит из клеток, покрывающих поверхность тела, внутренние поверхности внутренних органов (желудок, мочевой пузырь и др.), поверхности серозных оболочек (брюшина, плевра, перикард), а также из клеток, образующих некоторые железы (слюнные желе-зы, поджелудочная железа и др.). Поэтому различают покровный и железистый (секреторный) эпителий. Из эктодермы развивается эпителий кожи, из энто-дермы — эпителий желудка, кишечника, легких и др., а из мезодермы — эпи-телий почек, серозных оболочек и других структур.
Среди покровных эпителиальных тканей различают плоский, кубический, призматический и ресничный эпителий (рис. 60).
Плоский эпителий представлен уплощенными клетками, которые обра-зуют поверхностный слой кожи и выстилают ротовую полость, пищевод и вла-галище. Как правило, плоский эпителий является многослойным, образует сли-зистые оболочки пищевода, влагалища, эпидермис кожи и др.
Кубический эпителий представлен кубовидными клетками, которые вы-стилают почечные канальцы, наружную поверхность яичника и другие органы.
Призматический эпителий представлен клетками цилиндрической фор-мы, им выстлан желудок, кишечник, матка и другие органы.
Ресничный эпителий представлен клетками, на поверхности которых имеются реснички. Биение этих ресничек обусловливает перемещение слизи и других веществ по эпителиальному слою.
Железистый эпителий представлен клетками призматической или куби-ческой формы, которые продуцируют секрет. Они функционируют либо как одноклеточные железы, секретируя разные секреты, либо формируют много-клеточные железы, получившие название эндокринных желез, т. к. они выде-ляют продукты своей деятельности (гормоны) в кровь и лимфу.
Соединительные ткани представлены собственно соединительной, кост-ной и хрящевой тканями, развивающимися из мезенхимы. Они состоят из кле-ток и межклеточного вещества. Исходя из структуры и свойств межклеточного вещества, различают несколько типов этой ткани.
Волокнистая соединительная ткань представляет собой волокна (колла-ген) и межклеточное вещество (протеогликаны и гликопротеиды), окружающие соединительнотканные клетки (фибробласты, макрофаги, тучные клетки) и яв-ляющиеся продуктом этих клеток. Эта ткань образует строму многих внутрен-них органов, основу слизистых оболочек, соединяет кожу с мышцами, участвует в формировании надкостницы.
Костная ткань формирует скелет организма. Она состоит из костных клеток (остеоцитов, остеобластов и остеокластов) и выделяемого ими основного вещества кости, содержащего белки, из которых преобладающим является коллаген, и соли кальция .
Хрящи также формируют скелет (в эмбриональном состоянии). У взрослых хрящевой скелет имеется лишь у акул и скатов. Хрящевая ткань состоит из клеток (хондриоцитов, прехондроблас-тов и хондробластов) и межклеточного вещества (в основном коллагена). 
Соединительные ткани выполняют опорную, трофическую, защитную и другие функции.
Кровь и лимфа являются тканями, которые начинают развиваться уже в эмбриональном периоде жизни организмов из мезенхимы, а затем из так назы-ваемых полипотентных стволовых клеток крови (СКК). У человека развитие первых клеток крови идет синхронно с сосудами, развивающимися вначале в стенке желчного мешка, а затем в печени, красном костном мозге, тимусе, селезенке, лимфатических узлах эмбриона. Образование крови и лимфы происходит и на протяжении всего постэмбрионального периода. Важнейшими функциями крови являются трофическая, дыхательная и транспортная.
Кровь является очень сложным образованием, составляющим у человека примерно 5-9% массы тела. В ее составе различают плазму и форменные элементы — эритроциты, лейкоциты и тромбоциты (кровяные пластинки).
Плазма крови состоит на 90—93% из воды, в которой содержатся белки, углеводы, жиры и минеральные вещества.
Эритроциты, или красные кровяные тельца (шарики), представляют собой безъядерные овальные клетки, диаметр которых составляет 7,1-7,9 мкм. 1 мл крови мужчины содержит 3,9— 5,5 х 109 эритроцитов, а 1 мл крови женщины — 3,7—4,9 х 109. Основной функцией эритроцитов является транспортировка кислорода и углекислоты.
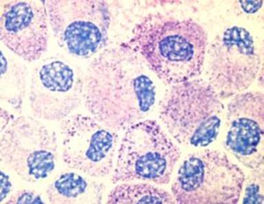
Лейкоциты (белые кровяные клетки) подразделяют на гранулоциты и аг-ранулоциты. В составе гранулоцитов на основе отношения их к красителям различают нейтрофилы, эозинофилы и базофилы. В составе агранулоцитов раз-личают лимфоциты и моноциты. Лимфоцитов в крови довольно много (20—35%). Они очень полиморфны. Их размеры составляют 4,5—10 мкм. Поскольку для них характерно разное происхождение, то различают Т-лимфоци-ты, обра-зование которых происходит в тимусе, и В-лимфоциты, образующиеся в крас-ном костном мозге. Эти лимфоциты различаются и по функциям (см. § 96).
Моноциты являются клетками размером 18-22 мкм. Их доля среди лейко-цитов составляет 6—7%. Эти клетки постоянно мигрируют в соединительную ткань, где они дают начало макрофагам.
Лейкоциты выполняют защитную функцию (участвуют в формировании иммунитета).
Тромбоциты (красные кровяные пластинки) — это безъядерные тельца размером 2—3 мкм, содержание которых в 1 мл крови человека равно 3 х Ю8. Являясь составной частью тромбоксилазы, они принимают участие в свертыва-нии крови.
Лимфа, подобно крови, также состоит из жидкой части и форменных элементов. Жидкой частью является лимфоплазма, а форменные элементы представлены в основном лимфоцитами. В лимфе встречаются также моноци-ты, но в небольшом количестве. Основная функция лимфы заключается в регу-лировании циркуляции лимфоцитов, а также оттока различных жидкостей и на-ходящихся в ней метаболитов от органов.
Мышечная ткань образована мышечными клетками (миоцита-ми), яв-ляющимися структурно-функциональными единицами многоядерных мышеч-ных волокон — миофибрилл. Эти волокна образуются в результате слияния миоцитов. Установлено, что слияние обеспечивается несколькими белками (кадгеринами, интегринами, меятринами). Различают гладкую и поперечно-полосатую мышечную ткань (рис. 63), которые различаются между собой по строению миофибрилл. Гладкие мышцы построены из вытянутых сигаропо-добных клеток (миоцитов). Они формируют мышечные слои стенок сосудов, бронхов, желудка, кишечника и т. д. Поперечно-полосатая мышечная ткань представлена скелетной мышечной тканью. Скелетные мышцы прикрепляются к костям. Сердечная мышечная ткань представлена сократительными кардио-миоцитами. Сократительная способность мышц обеспечивается по той причи-не, что сократительные структуры (миофибриллы) содержат миозин и актин.
Нервная ткань формируется из эктодермы и представлена нейронами (нейроцитами), которые являются клетками, проводящими электрические им-пульсы, и клетками нейроглии (рис. 64).
Нейрон состоит из тела, в котором содержится ядро, и отходящих от тела двух или более отростков. Те отростки, которые проводят нервные импульсы от тела нейрона к периферии, получили название аксонов, а те, которые проводят импульсы к телу нейрона, названы дендритами. Нейроглия представлена клет-ками, выстилающими полости головного и спинного мозга и образующими оболочки нейронов и их отростков, а также клетками, встречающимися на по-верхности тела нейронов и нервных ганглиев, в нервных окончаниях. Нервны-ми волокнами являются отростки нервных клеток и глиальные оболочки.
Нервная ткань составляет основной компонент нервной системы, глав-ные функции которой заключаются в регуляции функционирования тканей и органов, а также координации связи организмов с окружающей средой.
Клетки почти всех высших растений также специализированы и органи-зованы в ткани. У растений различают меристематичес-кую (образовательную), покровную (защитную), основную и проводящую ткани.
Меристематические ткани представлены мелкими клетками с крупными ядрами, в которых очень высок уровень метаболизма (рис. 65). Эти клетки спо-собны к делению, что обеспечивает рост растений в течение длительного периода. Кроме того, они дают начало тканям остальных типов, т. к. происходит их дифференциация в ткани других типов. Меристема имеется в зародыше, на кончиках корней, а также в тех частях растения, которые очень быстро растут, и в камбии. Меристемы осевых органов растений обеспечивают их рост в длину, тогда как меристемы стебля и корня ответственны за их рост в толщину. В частности деление клеток камбия сопровождается ростом стебля в толщину. Слои клеток древесины, выросшие в течение сезона (весна, лето и осень), образуют так называемое годичное кольцо прироста.
Покровные ткани представлены плотно сомкнутыми клетками, распола-гающимися на внешней поверхности растений. К этим тканям относят эпидерму листьев, а также пробковые слои стебля и корней. Они выполняют защитную функцию, предохраняя от высыхания или механических поврежде-ний лежащие глубже тонкостенные клетки.
Основные ткани представлены различными по форме клетками, обра-зующими основную массу тела растений (мягкие части листьев, цветков, пло-дов, сердцевину стеблей и корней, а также кору). Главная функция этих тканей заключается в синтезе и накоплении питательных веществ. В частности, часть этих тканей представлена хлоропластосодержащими клетками, в которых про-исходит фотосинтез.
Проводящие ткани (рис. 67) представлены ксилемой (древесина) и фло-эмой (луб). Клетки ксилемы дают начало длинным клеткам, называемым тра-хеидами. Соединяясь между собой концами, трахеиды образуют сосуды древе-сины. После растворения в них поперечных стенок они превращаются в длин-ные целлюлозные трубки, по которым и проходит вода. Ксилема проводит воду и растворенные в ней соли от корня к листьям, что представляет собой восхо-дящий (транспирационный) ток.
Флоэма образуется так же, как и ксилема, но с той лишь разницей, что поперечные стенки не устраняются, а сохраняются. Однако в них образуются отверстия, обеспечивающие «проход» органических веществ от листьев к кор-ням. Следовательно, флоэма обеспечивает нисходящий ток, т. е. движение ор-ганических веществ от листьев к корням.