| Скачать .docx | Скачать .pdf |
Реферат: Особенности возникновения и протекания беременности
Женщина рождается с двумя яичниками, в каждом из которых содержится около 200 тысяч незрелых яйцеклеток. К периоду половой зрелости полного развития и созревания достигают 400-500 яйцеклеток.
Примерно один раз в месяц у женщины детородного возраста происходит овуляция. Яйцеклетка выходит из яичника и попадает в брюшную полость, где захватывается воронкой маточной трубы. В маточной трубе яйцеклетка встречается со сперматозоидом. В оплодотворении участвует лишь один сперматозоид, ядро которого сливается с ядром яйцеклетки. С этого момента оплодотворения и начинается беременность.
Продвижению оплодотворенного яйца в маточной трубе способствуют ее перистальтические движения, движения реснитчатого эпителия. Оплодотворенная яйцеклетка делится, продвигается по маточным трубам. На 7-8 день от момента зачатия яйцеклетка попадает в полость матки, где внедряется в слизистую оболочку, содержащую всю необходимые питательные вещества для развития зародыша. Наиболее благоприятным временем для оплодотворения яйцеклетки и наступления беременности считается середина менструального цикла - период овуляции. Иногда возникает многоплодная беременность, когда развивается более одного зародыша. В последнее время, в связи с бурным развитием новых методов лечения бесплодия, число многоплодных беременностей заметно увеличилось.
Однояйцовые близнецы развиваются из одной яйцеклетки. Это происходит, когда несколько сперматозоидов оплодотворяют многоядерную яйцеклетку, либо при разделении зародыша на две части при дроблении оплодотворенного яйца, когда из каждой части получается отдельный эмбрион. Однояйцовые близнецы растут в матке вместе и имеют общие оболочки и плаценту. У них общее кровообращение. Так как генетика у однояйцовых близнецов одинаковая, то они всегда рождаются однополыми и очень похожими друг на друга. Обычно одна из плодных оболочек все же находится между плодами. Если ее нет, то возможно сращение тканей и образование сиамских близнецов. Разнояйцовых близнецов объединяет только общее место жительства. Они по-соседски живут в матке. У каждого своя плацента, независимая система кровообращения, собственные оболочки. Гибель одного, как правило, облегчает жизнь другому. Двуяйцовые близнецы получаются при одновременном оплодотворении нескольких яйцеклеток разными сперматозоидами. Генетика у таких близнецов разная, они могут быть разнополыми и не похожими друг на друга. Почему же двойни, тройни рождаются чаще у пар, которые лечились от бесплодия? Это связано с тем, что при лечении используют вещества, стимулирующие овуляцию. У женщин происходит созревание сразу нескольких (до десяти) яйцеклеток. При другом методе лечения бесплодия - экстракорпоральном оплодотворении - в матку подсаживают сразу несколько эмбрионов. И хотя обычно приживается только один, но могут сохраниться и несколько. Благодаря этим методам иногда развиваются супермногоплодные беременности, когда рождается сразу четверо и более детей.
Всем известно, что беременность длится 9 месяцев. Однако в медицине принято отсчитывать сроки вынашивания и рождения малыша по неделям. Весь путь от зарождения новой жизни до появления ребенка на свет занимает 40 недель, или 10 лунных месяцев, продолжительность которых равна классическому менструальному циклу — 28 дней.
И именно поэтому календарь беременности включает не 9 привычных, а 10 лунных месяцев. Так женщине удобнее следить за изменениями, происходящими в ее организме, следовать рекомендациям специалистов и подсчитывать, сколько времени осталось до кульминационного момента — рождения малыша.
Бременность условно разделяют на три этапа. Первый – построение тела плода и органов, поддерживающих его жизнеобеспечение. Второй – закладка и настройка всех систем организма маленького человечка. Третий – подготовка к появлению на свет.
Как происходит процесс оплодотворения
Прежде чем мужская клетка встретится с женской, проходит от 3 до 6 часов. Продвигаясь вперед, многочисленные сперматозоиды не останавливаются ни на секунду. На своем пути они встречают множество преград, придуманных природой, в результате чего отсеиваются слабые и нежизнеспособные. В итоге до заветной цели добирается несколько самых сильных и выносливых сперматозоидов. Для процесса оплодотворения яйцеклетки избранным будет один, все остальные обречены. Как только мужская клетка пробилась сквозь покрытие женской яйцеклетки, по всему организму разносится весть о том, что оплодотворение произошло. Начинается молниеносная перестройка, необходимая для сохранения беременности. Изменяются химические реакции, по-другому распределяется иннервация матки, понижается иммунитет, чтобы не произошло отторжения, и организм не принял оплодотворенную яйцеклетку за опасное новообразование. Во время оплодотворения из двух родительских клеток с половинным набором хромосом образуется одна — зигота. Это полноправное образование, со своим неповторимым генетическим кодом, определяющим пол будущего ребенка, его характер, цвет глаз и форму ушей. Зигота находится в фаллопиевой трубе. Лишь на седьмые сутки она опускается в матку, где начинает «присматривать» местечко для прикрепления. Оправляясь в дальний путь, запасливая яйцеклетка прихватывает с собой еду (желтое тело), поэтому в первую неделю не так уж принципиально, что входит в рацион будущей мамы. А вот после того как зародышевое яйцо прикрепилось к стенке матки, очень важно, как женщина питается и какой ведет образ жизни. Теперь развитие эмбриона целиком и полностью зависит от маминого душевного и физического состояния. Эмбриончик, как пиявка, присасывается к стенке матки и «зарывается» в нее. На этом этапе, который называется имплантацией и длится около 40 часов, наружные клетки делятся и внедряются в слизистую оболочку матки, где быстро разрастаются. Внутри разветвлений образуются кровеносные сосуды, со временем они преобразуются в плаценту, и будут питать новый организм до самого рождения. Из зародышевого узелка формируется тело будущего человека, а из поверхностных клеток — внезародышевые части (околоплодный пузырь, пуповина, плацента), необходимые для обеспечения безопасного существования малыша.
Беременность условно разделяют на три этапа. Первый - построение тела плода и органов, поддерживающих его жизнеобеспечение. Второй - закладка и настройка всех систем организма маленького человечка. Третий — подготовка к появлению на свет. Околоплодный пузырь (амнион) представляет собой мешочек, наполненный околоплодными водами — бесцветной жидкостью, сладковатой на вкус. Воды защищают нежное создание от неравномерного давления стенок матки, перепадов температуры, ударов и шума, а также способствуют обмену веществ. Плацента, или детское место, — уникальный, неповторимый орган, настоящий источник жизни. Плацента переносит свежую обогащенную кислородом кровь от матери в пуповинную вену малыша и одновременно забирает из артерий шлаки и продукты распада и выводит их. Она также выполняет для ребенка функции легких, почек и органов пищеварения, более того, действует как фильтр, создавая заслон вредным веществам и бактериям. Помимо этого в плаценте образуются гормоны и биологически активные элементы, которые играют важную роль в процессе развития плода. Пуповина, или пупочный канатик, соединяет тело ребенка с плацентой. По ее сосудам кровь течет от матери к малышу и обратно. Итак, будущий человечек устроил уютное гнездышко и начал стремительно развиваться. Беременность — это целое приключение, где есть и чудеса, и опасности. «Не стоит преувеличивать», — скажете вы. Так вот, никакого преувеличения в таком сравнении нет.
Процесс оплодотворения яйцеклетки

Сперматозоиды атакуют яйцеклетку. Зрелище фантастическое! Спермии синхронно бьют хвостами, заставляя яйцеклетку медленно вращаться против часовой стрелки. Внутрь попадет только один из них.

Зигота: ДНК сперматозоида уже внутри яйцеклетки. Скоро произойдет слияние отцовской и материнской половин генетической программы и начнется первое деление клетки. Так происходит оплодотворение.

Первые сутки после зачатия. У яйцеклетки уже две дочери.

Вторые сутки после зачатия. Деление продолжается.

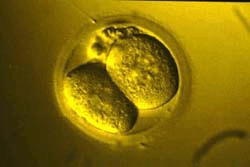
Вторые - начало третьих суток после зачатия. Бластомеров уже восемь. При искусственном оплодотворении (ребенок "из пробирки") в матку женщины подсаживают именно такой зародыш.

Это бластоциста. Похожа на тутовую ягоду?
«Дурное дело нехитрое» гласит народная мудрость, и применяют ее, зачастую, говоря о том, как легко можно «залететь». Но когда знакомишься с процессом оплодотворения во всех деталях, представляется чудом, что все эти биологические функции в большинстве случаев исполняются четко и желанная беременность наступает, а небольшой сбой в любой из частей механизма зачатия ведет к годам хождений по врачам и упорной борьбе за свое материнское счастье. Каковы же условия успешного зачатия?
Первое - для зачатия ребенка необходимо много здоровых, подвижных сперматозоидов
Подвижность сперматозоидов является одним из наиболее важных качественных показателей спермы и условий наступления беременности. Хорошая подвижность сперматозоидов может компенсировать малое их количество. Сперма, в которой 50% сперматозоидов имеют хорошую способность к передвижению, считается нормальной. Образец спермы, в котором менее 40 % сперматозоидов имеют хорошую способность к продвижению, считается патологическим. В норме движение сперматозоидов прямолинейное, в одном направлении. Если семенные нити имеют колебательные или круговые движения на одном месте (маятникообразные или манежные), то такие сперматозоиды рассматриваются как малоподвижные.
Второе условие наступления беременности - здоровая, зрелая яйцеклетка
Яйцеклетка в 550 раз больше сперматозоида и вообще является самой большой клеткой в организме. Она защищена внешней мембраной и структурами, которые называются метахондриями - они производят энергию. Внутри крошечного ядра яйцеклетки находятся 23 хромосомы, которые содержат генетический материал, хранящийся в ДНК. С возрастом яйцеклетки, как и все клетки в организме и ДНК, становятся менее стабильными, поэтому яйцеклетки у молодых женщин более здоровые. Количество яйцеклеток определено с рождения, в течение жизни их не становится больше, но лишь одна высвобождается для зачатия ежемесячно во время репродуктивного периода.
Известно, что королеву делает хорошей ее окружение. Так и качество созревающей в организме женщины яйцеклетки зависит от множества факторов: это и различные внешние воздействия (температура, биохимический состав среды, клеточное окружение), и точное функционирование внутриклеточных механизмов, которые работают на сложном пути созревания яйцеклетки. Изначально стволовая половая клетка (предшественник яйцеклетки) носит в себе двойной набор хромосом, что свойственно всем остальным клеткам организма, и только претерпевая два редукционных деления (в которых происходит уменьшение числа хромосом в два раза), она становится настоящей половой клеткой - ооцитом. В течение этого периода созревающая яйцеклетка дважды останавливается в своем развитии (I и II блоки созревания), и "разбудить" ее могут только следующие события: I блок снимается пиком ЛГ, предшествующим овуляции, а II блок - в процессе оплодотворения. Если на этом уровне клеточной организации происходят какие-либо нарушения, то процесс созревания ооцита может остановиться на стадиях I или II блоков. Помимо процессов созревания ядерного аппарата, в самой цитоплазме яйцеклетки также происходят структурные и биохимические преобразования: идет активный синтез и накопление необходимых для развития ооцита и будущего эмбриона веществ - белков, молекул-источников энергии, молекул РНК, а также распределение по цитоплазме клеточных органелл. Например, митохондрии - "энергетические станции" клетки - распределяются в цитоплазме определенным образом, вследствие этого митохондриальная активность во всех участках цитоплазмы различна. Было показано, что существует прямая связь между увеличением возраста женщины и уменьшением митохондриальной активности в цитоплазме ооцитов и клетках эмбрионов. Следствием этого является снижение вероятности наступления беременности. Итак, зрелая яйцеклетка содержит в себе необходимый для развития эмбриона набор веществ и в момент овуляции находится на стадии II блока созревания, который снимается при оплодотворении сперматозоидом. Морфологическими признаками зрелой яйцеклетки являются наличие первого полярного тельца (образуется после снятия I блока созревания) и отсутствие клеточного ядра (зародышевого пузырька). Косвенным признаком степени зрелости ооцита может быть состояние кумулюса (оболочки, состоящей из части клеток, которые окружали и питали яйцеклетку, когда она росла). По ходу созревания яйцеклетки кумулюс становится более рыхлым, вязким.
Третье - для оплодотворения необходимо удачное расположение спермы рядом с шейкой
Внутри влагалище переходит в шейку, узкое основание матки. Это волокнистое кольцо ткани длиной до четырех сантиметров с отверстием (цервикальный канал), которое позволяет семенной жидкости попадать в матку, а крови выходить из нее во время менструации. В шейке находятся железы, выделяющие различные виды слизи, в зависимости от вида гормонов, вырабатываемых женским организмом.
Когда происходит эякуляция спермы во влагалище, она сначала сгущается, а затем вновь разжижается примерно через двадцать минут. Только после этого сперматозоиды начинают свой долгий путь через шейку матки в фаллопиевы трубы или яйцеводы. Он занимает от тридцати минут до нескольких часов и даже в самом лучшем случае только около четырехсот сперматозоидов проникают через слизистую шейки и матку в трубу.
"Дружественная" слизистая шейки – четвертое условие наступления беременности
Шейка матки расположена между влагалищем и маткой, являясь своего рода “коридором” в матку. Ее можно сравнить с грушей: широкой частью она прикрепляется к нижнему основанию матки, а узкой - к влагалищу.
В шейке матки существует два покрытия: одно покрывает видимую часть шейки во влагалище (exocol) и другое покрывает канал, ведущий в полость матки (endocol). После эякуляции сперма смешивается со слизистой шейки матки. Благодаря эстрогенному предовуляторному скачку эта слизистая приобретает все cвойства, необходимые для качественного “приёма” сперматозоидов. Мужские клетки могут жить несколько дней в такой слизистой. Сперматозоиды скапливаются у гланд шейки матки (эндоколь) и отсюда постепенно перемещаются к месту оплодотворения. Только при контакте со слизистой шейки матки и слизистой женских органов сперматозоиды приобретают способность к оплодотворению (феномен "капаситации"). Мёртвые сперматозоиды растворяются в эндометрии. Как только желтое тело начинает вырабатывать прогестерон, повышается температура тела, и слизистая теряет свои качества для “приёма” сперматозоидов.
Своевременность полового акта – одно из главных условий успешного зачатия ребенка
Известно, что яйцеклетка живет только двенадцать-двадцать четыре часа, а сперматозоид - двадцать четыре - сорок восемь часов. Созревание яйцеклетки в организме женщины происходит во время менструального цикла. Фактически, менструальный цикл необходим для созревания яйцеклетки и подготовки матки – главного репродуктивного органа женщины – к принятию зародыша. Созревают яйцеклетки в яичниках – парных женских половых железах, расположенных по обе стороны матки. В менструальном цикле начинается созревание одного из ооцитов, которое завершается овуляцией – выходом зрелой яйцеклетки из фолликула – специального образования в яичнике, внутри которого находятся и созревают яйцеклетки. После овуляции ооцит попадает в воронку маточной трубы, далее - в маточную трубу и там может быть оплодотворен сперматозоидом. Пока яйцеклетка находится в маточной трубе, фолликул, из которого она вышла, преобразуется в так называемое желтое тело – часть яичника, продуцирующая прогестерон – гормон, под воздействием которого эндометрий (эпителий матки) определенным образом изменяется для имплантации эмбриона.
Таким образом, период овуляции – самый удачный период для зачатия ребенка. В связи с этим важно уметь определять, когда она происходит. Сделать это можно самостоятельно в домашних условиях, например, измеряя базальную температуру. Также разработаны особые приборы (например, ClearPlan Easy Fertility Monitor), которые по содержанию гормонов в анализе мочи способны более точно определить момент овуляции. Более точные определения можно сделать в клинических условиях, например, ультразвуковым наблюдением за ростом и развитием фолликула и определением момента его разрыва.
Шестое. Чтобы забеременеть, у женщины должны быть открытые яйцеводы, по которым могут двигаться яйцеклетка и сперматозоиды
Маточные трубы (яйцеводы, фаллопиевы трубы) – это парный трубчатый орган. Фактически, фаллопиевы трубы – это два нитевидных канала стандартной длины 10 – 12 см и диаметром, не превышающим нескольких миллиметров (от 2 до 4 мм). Маточные трубы расположены по обе стороны дна матки: одна из сторон фаллопиевой трубы соединена с маткой, а другая прилегает к яичнику. Основная задача маточных труб – соединить верхнюю часть матки с яичником. Фаллопиевы трубы имеют плотные эластичные стенки. В организме женщины они выполняют одну, но очень важную функцию: в них в результате овуляции происходит оплодотворение яйцеклетки сперматозоидом. По ним же оплодотворенная яйцеклетка проходит в матку, где укрепляется и развивается дальше. Фаллопиевы трубы служат именно для оплодотворения, проведения и укрепления яйцеклетки из яичника в полость матки. Механизм данного процесса заключается в следующем: созревшая в яичниках яйцеклетка продвигается по маточной трубе с помощью специальных ресничек, расположенных на внутренней оболочке труб. С другой стороны навстречу ей двигаются сперматозоиды, предварительно прошедшие через матку. В том случае, если происходит оплодотворение, сразу же начинается деление яйцеклетки. В свою очередь, маточная труба в это время питает, защищает и продвигает яйцеклетку к полости матки, с которым фаллопиева труба связана своим узким концом. Продвижение это происходит постепенно, примерно по 3 см в день. Если же встречается какое-либо препятствие (спайки, сращения, полипы) или наблюдается сужение канала, оплодотворенная яйцеклетка остается в трубе, в результате чего наступает внематочная беременность.
Седьмое условие успешного зачатия ребенка - подготовленный эндометрий тела матки
Одним из условий имплантации (прикрепления) эмбриона в полости матки является своеобразная «готовность» слизистой оболочки матки к принятию эмбриона. После овуляции образующееся желтое тело выделяет гормон прогестерон, который подготавливает эндометрий к возможной беременности. При этом в слизистой оболочке матки формируются особые структуры (выступы), которые обеспечивают контакт между эмбрионом и эндометрием. Соответственно, любые изменения в строении слизистой оболочки матки не могут обеспечить оптимальные условия для имплантации эмбриона. Наиболее часто в клинической практике встречаются гиперплазия эндометрия и полипы.
Гиперплазия эндометрия – диффузное (распространенное) утолщение слизистой оболочки матки с изменением ее строения. Полип – локальное (на одном участке) утолщение слизистой оболочки матки. В свою очередь полип может быть один, или их может быть несколько. Причины возникновения гиперплазии и полипа – гормональные нарушения в организме женщины, которые в свою очередь часто встречаются у пациенток с бесплодием. Клинические проявления этих состояний разнообразны. Они могут протекать бессимптомно и обнаруживаться при проведении УЗИ, или женщину могут беспокоить нарушения менструального цикла (кровотечения, кровомазанье, обильные и длительные менструации), болевые ощущения, бесплодие. Хроническое воспаление слизистой оболочки матки – эндометрит - приводит к изменению структуры слизистой оболочки, ее истончению, что нарушает процесс прикрепления эмбриона. Кроме того, эндометрит может приводить к образованию спаек в полости матки, как было сказано выше.
Восьмое условие - для поддержания беременности необходимо достаточное количество прогестерона
После оплодотворения для развития зародыша необходима эффективная система сообщений от эндометрия к оболочке яйцеклетки, обеспечивающая достаточное производство прогестерона для поддержания беременности по крайней мере в течение двух месяцев, пока не образуется плацента. Период органогенеза и плацентации продолжается с момента внедрения плодного яйца в слизистую оболочку матки до 10-12 недель беременности, когда полностью сформированы все органы и ткани плода, а также плацента (детское место - связующее звено между плодом и материнским организмом, с помощью которого происходят процессы питания, обмена веществ и дыхания плода в утробе матери). Это очень ответственный период внутриутробной жизни, т.к. в это время идет закладка всех органов и тканей плода. Уже на 7-й день после оплодотворения яйцеклетки организм матери получает сигнал о беременности благодаря гормону - хорионическому гонадотропину (ХГ), который выделяется плодным яйцом. ХГ, в свою очередь, поддерживает развитие желтого тела в яичнике. Желтое тело выделяет прогестерон и эстрогены в количестве, достаточном для поддержания беременности. На начальном этапе беременности, до формирования плаценты, желтое тело берет на себя функцию гормональной поддержки беременности, и если по тем или иным причинам желтое тело работает неполноценно, то могут возникнуть угроза выкидыша, выкидыш или неразвивающаяся беременность. Весь период органогенеза и плацентации также является критическим периодом внутриутробной жизни плода, т.к. плод высокочувствителен к повреждающему влиянию окружающей среды, особенно в первые 3-6 недель органогенеза. Этот критический период развития беременности особенно важен, т.к. под влиянием неблагоприятных факторов окружающей среды эмбрион может погибнуть или у него могут возникнуть аномалии развития.
Структурно здоровая матка – девятое условие успешного оплодотворения
Нарушения со стороны матки, которые могут приводить к бесплодию, разделяют на врожденные и приобретенные. К врожденным нарушениям относятся пороки развития матки, возникшие еще в период внутриутробного развития. Приобретенные факторы могут возникнуть в любом возрасте. К ним относятся спаечный процесс в полости матки, гиперплазия эндометрия (утолщение слизистой оболочки матки), полипы, хроническое воспаление полости матки (эндометрит). Среди большого разнообразия врожденных пороков развития матки наиболее часто в клинической практике встречается седловидная форма матки и перегородка в полости матки. В первом случае дно матки несколько «вдавлено» в саму полость, что при осмотре напоминает форму седла. В случае формирования перегородки, последняя вдается в полость матки на различную глубину. В ряде случаев формируется двурогая форма матки, при этом полость матки образована двумя «половинками», соединенными между собой в нижней части.
Удвоение матки и влагалища может протекать бессимптомно. При достаточно хорошем развитии обеих, или даже одной половины матки, менструальная, половая и детородная функции могут оставаться нормальными. Беременность может быть то в одной, то в другой полости матки; вполне возможно нормальное течение родов и послеродового периода. Однако данный вид пороков часто сочетается с недоразвитием матки и яичников, что приводит к нарушению менструальной, половой и детородной функции. Любой вид порока развития матки может приводить к невынашиванию беременности и бесплодию.
Спайки (синехии) – тонкие тяжи соединительной ткани, которые образуются в ответ на травматизацию и\или воспаление слизистой оболочки полости матки (эндометрия). Травматизация эндометрия происходит при проведении выскабливания полости матки (прерывание беременности, диагностическое выскабливание), оперативных вмешательств на матке, при внутриматочной контрацепции (внутриматочная спираль). Также к образованию спаек в полости матки приводит воспалительный процесс эндометрия. Воспаление могут вызывать различные микроорганизмы после осложненных родов, абортов, хирургических операций. Очень часто наблюдается сочетание факторов – механическая травматизация с присоединяющимся воспалением.
Клинические проявления спаечного процесса в полости матки очень разнообразны, и зависят от выраженности поражения. В легких случаях женщина не предъявляет жалоб, и спайки обнаруживаются случайно при проведении гистероскопии. При выраженном спаечном процессе возникают нарушение менструального цикла в виде уменьшения менструальной кровопотери, задержке менструации вплоть до полного ее прекращения - аменореи. Кроме того, синехии в полости матки могут приводить к бесплодию и невынашиванию беременности.
Десятое условие - здоровая, закрытая шейка, способная удержать плод полный срок беременности
Со стороны матки у шейки имеется отверстие, которое ведёт внутрь матки. Именно это отверстие расширяется при родах, пропуская ребёнка наружу. Во время беременности шейка матки выполняет защитную функцию - ее железы образуют густую слизистую пробку, которая защищает плод от всевозможных внешних инфекций. Известно множество причин, которые приводят к самопроизвольным http://medportal.ru/encyclopaedia/procreation/miscarriage/6/1/выкидышам. Одна из них — истмико-цервикальная недостаточность, то есть состояние, когда перешеек (по-латыни «истмус») и шейка («цервекс») матки не справляется с возрастающей нагрузкой (растущий плод, околоплодные воды) и начинает преждевременно раскрываться. Несмотря на столь внушительный список условий успешного оплодотворения, как правило, детей зачинают, не сверяясь с приведенными данными, а просто сильно любя свою вторую половинку.