| Похожие рефераты | Скачать .docx | Скачать .pdf |
Реферат: Болезнь Боткина - Острый вирусный гепатит
МУНИЦИПАЛЬНАЯ ШКОЛА №6
Реферат
по биологии
на тему:
«Вирусные заболевания.
Болезнь Боткина».
Ученика 10 «А» класса
Тужилина Юрия
|
План:
Введение 3
1. Болезнь Боткина 4-20
2. Боткин Сергей Петрович 20-23
Заключение 23
Литература 23
Введение
Вирусные гепатиты являются одними из самых массовых заболеваний. Борьба с вирусными гепатитами рассматривается как одна из основных проблем здравоохранения.
Такая оценка вирусных гепатитов определяется их широким распространением и тем огромным экономическим ущербом, который они наносят. В структуре инфекционных болезней вирусные гепатиты занимают одно из ведущих мест. В разных странах мира ежегодно регистрируются миллионы заболевших. Ёщё большее число инфицированных вирусами гепатита с клинически латентными и малосимптомными формами болезни остаются нераспознанными и неучтёнными. В месте с тем, как установлено, именно таким формам, в первую очередь присуще хроническое, многолетнее течение. Они главным образом и поддерживают сложившуюся неблагоприятную эпидемиологическую ситуацию.
Следует отметить, что заболеваемость вирусными гепатитами во многих регионах не только не снижается, а, наоборот заметно растёт. Высокая заболеваемость регистрируется и в России, как среди детского, так и среди взрослого населения. На современном этапе суммарная заболеваемость вирусными гепатитами уступает по распространённости лишь гриппу. Причём в связи с существенно большей продолжительностью заболеваний экономический ущерб от вирусных гепатитов особенно велик.
Относительные показатели летальности невелики, однако с учётом высокой заболеваемости, в абсолютных числах они составляют немалое число человеческих жизней. Причём, в отличие от других широко распространенных инфекций, радикально снизить летальность не удаётся.
Наконец, подчеркну, что острые вирусные гепатиты, помимо самостоятельного значения, являются причиной формирования хронических заболеваний печени. Хронические формы гепатита В рассматриваются как самая распространённая вирусная инфекция в мире.
Актуальность проблемы вирусных гепатитов диктует необходимость реализации широкого комплекса мероприятий, направленных на возможно быстрое снижение заболеваемости.
Для решения поставленных задач необходима, прежде всего, достаточная подготовка медицинских работников − клиницистов, эпидемиологов, гигиенистов. А также соблюдения населением правил личной гигиены, для того чтобы предотвратить перенос вируса от больных людей к здоровым.
БОЛЕЗНЬ БОТКИНА
БОЛЕЗНЬ БОТКИНА , или эпидемический гепатит [син.: инфекционный гепатит; сывороточный гепатит; вирусный гепатит; катаральная желтуха; hepatitis epidemica, hepatitis infectiosa; icterus catar-rhalis, infectious (infective, epidemic, viral, serum) hepatitis; менее удачны названия: простая желтуха, icterus simplex, гепатоз, гепатозо-гепатит, эпителиальный гепатит] — инфекционное вирусное заболевание, характеризующееся поражением пищеварительной системы, преимущественно печени, обычно с явлениями желтухи. Другие проявления болезни — острая или подострая атрофия, а также цирроз печени изучались ранее почти исключительно как самостоятельные заболевания.
Спорадические случаи этой болезни рассматривались в прошлом под названием «катаральная желтуха», вне связи с эпидемической формой. Происхождение катаральной желтухи объясняли распространением банального катара двенадцатиперстной кишки на желчные протоки (Stokes, Graves) или воспалением слизистой оболочки на месте впадения желчного протока в двенадцатиперстную кишку с образованием здесь слизистой пробки (Virchow; 1865).
С. П. Боткин (1888) пришел к выводу, что катаральная желтуха — специфическое инфекционное заболевание, поражающее не только печень, но и весь организм (желудочно-кишечный тракт, нервную систему, почки и т. д.); он высказал мнение об общности спорадической катаральной и эпидемической желтухи, а также острой атрофии печени. В последнюю четверть 19 в. некоторые зарубежные авторы высказывались также за инфекционную природу заболевания. Однако и после этого катаральную желтуху длительное время продолжали считать неспецифическим заболеванием, одним из видов паренхиматозного или эпителиального гепатита с нарушением различных функций, присущих паренхиматозным клеткам печени.
Среди различных гипотез об инфекционной природе Б. б. наибольшее внимание исследователей привлекала коли-паратифозная инфекция (ввиду нередкой связи болезни с нарушением пищеварения), банальная кокковая инфекция с неспецифической аллергической реакцией и, наконец, лептоспирозная инфекция (по аналогии с болезнью Вейля-Васильева). В конечном итоге, большинство исследователей остановились на предположении о вирусном происхождении Б. б. Разрешению этого вопроса за последние 20 лет способствовало установление вирусной природы эпидемий «сывороточного гепатита», клинически сходного с катаральной желтухой. Сывороточный гепатит был хорошо изучен при вакцинации против желтой лихорадки [Финдлей ( Findlay) и Макколлум (McCollum), 1937 ], москитной лихорадки (П. Г. Сергиев, Е. М. Тареев и др., 1939), кори (Макналти (McNalty) и Проперт (Propert), 1938) и некоторых других вирусных болезней. Выяснению некоторых эпидемиологических закономерностей Б. б. способствовали широко проводившиеся американскими авторами опыты по искусственному заражению добровольцев и лиц, страдающих психич. заболеваниями. Систематические морфологические исследования, особенно по методу аспирационной биопсии, позволили лучше изучить характер поражения печени и пути перехода острой формы Б. б. в цирроз печени. Вирусологические исследования с заражением куриных эмбрионов сделали возможным попытки использования реакции иммунитета для целей диагностики.
Клинико-эпидемиологические наблюдения во время и после второй мировой войны в связи широким распространением Б. б. способствовали дальнейшему выяснению эпидемиологии заболевания и особенностей его клинического течения.
Заболеваемость Б. б. варьирует в разные годы от спорадических случаев до крупных эпидемий, особенно в военное время. Летальность при Б. б. составляет около 0,1—0,2%. В период отдельных вспышек она может быть более высокой, особенно у беременных и у детей при сывороточном гепатите.
Этиология . Возбудитель Б. б. — фильтрующийся вирус отличается значительной устойчивостью в условиях внешней среды и патогенен только для человека. Вирус культивируется на курином эмбрионе, стойких лабораторных культур пока не получено, также не найдено и восприимчивых животных.
Эпидемиология . Источник инфекции — больной человек в последние дни инкубационного периода и, особенно в первые 1 - 1,5 недели болезни. Возможно заражение от реконвалесцентов и здоровых носителей; число последних в некоторые годы может быть довольно значительным. Возбудитель болезни циркулирует в крови и выделяется из организма с испражнениями, возможно, и с мочой. Заражение происходит чаще контактно-бытовым путем, а также через зараженную воду, пищу; по-видимому, инфекцию могут переносить и мухи. Весьма заразительна кровь больных, даже в таких ничтожных дозах, как 0,01 мл и менее. Отделяемое носоглотки, в противоположность прежним утверждениям, является незаразным. Перенесенная инфекция, в т. ч. и в инаппарантной форме, ведет к выработке относительно стойкого иммунитета. Случаи повторных заболеваний встречаются примерно в 2%.
Заболевают Б. б. в обычных условиях преимущественно дети и подростки; в военное время, особенно в условиях передвижения и скученности населения, заболеваемость наблюдается и среди взрослого населения; значительно реже болеют пожилые люди. В зависимости от возможных путей заражения и некоторых особенностей клинического течения, различают два типа гепатита: эпидемический (инфекционный) и сывороточный (прививочный).
Собственно эпидемический гепатит представляет собой типичную кишечную инфекцию со сравнительно коротким сроком инкубации (чаще 3—4 недели). Характерной чертой эпидемического гепатита является выраженная сезонность с подъемом заболеваемости в поздние осенние и ранние зимние месяцы.
При сывороточном гепатите заражение происходит парэнтерально. Это возможно при переливании крови пли плазмы крови, особенно, собранной от многих доноров, альбумина и т. д., при иммунизации вакциной, содержащей человеческую сыворотку, которая случайно оказывается инфицированной; последнее может наблюдаться не столь редко ввиду довольно высокой периодами частоты носительства возбудителя инфекции среди здоровых доноров. Ввиду высокой устойчивости возбудителя заражение может произойти также при пользовании для лечебных и диагностических целей плохо простерилизованными шприцами и иглами, например, при инъекции лекарственных средств, оспопрививании, при малых зубных операциях, взятии крови для исследования и т. д.
Сывороточный гепатит встречается в течение всего года и отличается более длительным инкубационным периодом (от 3 до 11 мес.); при нем отмечается меньшая заразительность фекалий больных, хотя в дальнейшем рассеивание инфекции может происходить и этим путем; возможна также передача инфекции от матери к плоду через плаценту.
Патогенез Б. б. изучен лишь в общих чертах; возбудитель, попадая в пищеварительный тракт, проникает в кровь или лимфу. Острое воспаление печени — острый диффузный гепатит характеризуется поражением как паренхиматозных, так и ретикуло-эндотелиальных элементов печени, а также селезенки; повышается проницаемость капилляров печени. Одновременно поражается стенка желчного пузыря, нередко отмечается поражение ряда органов и систем, в т. ч. нервной и эндокринной. Нарушение гормональной деятельности — избыток эстрогенов, антидиуретического вещества — может быть связано с пониженным разрушением их в пораженной печени. Наблюдается также нарушение деятельности желудочно-кишечного тракта с угнетением желудочной секреции и падением аппетита, функций поджелудочной железы, сердечно-сосудистой системы с артериальной гипотонией, почек с падением диуреза. Токсико-аллергический компонент болезни лежит в основе ранних артральгии, крапивной сыпи, возможно, и некрозов печени при тяжелом течении болезни (острая и подострая атрофия печени). Нарушение деятельности печени в отношении пигментного, белкового, жирового обмена определяется значительными сдвигами, обнаруживаемыми при лабораторном обследовании больных.
Клиническое течение . При остром обычном течении Б. б. следует различать следующие периоды: 1. Продромальный, преджелтушный (который обычно длится около 1—2 недель, а иногда отсутствует). Этот период характеризуется выраженным повышением температуры, диспепсическими явлениями с резкой потерей аппетита, некоторым набуханием печени, потемнением мочи, артральгиями. 2. Период разгара болезни , желтушный, длительностью около 2—3 недель и более, с быстро нарастающей желтухой, увеличением и чувствительностью печени, а нередко и селезенки, выделением темной мочи, содержащей желчный пигмент, кратковременным обесцвечиванием испражнений, кожным зудом, брадикардией и артериальной гипотонией, вялостью нервной деятельности или, наоборот, возбуждением, бессонницей, склонностью к носовым кровотечениям, лейкопенией, замедлением РОЭ, значительным нарастанием содержания глобулинов в сыворотке крови, преимущественно за счет гаммаглобулинов, соответственным изменением осадочных реакций (тимоловой, сулемовой, формоловой и др.), уробилинурией, алиментарной галактозурией, в тяжелых случаях — с понижением свертываемости крови. 3. Период выздоровления , начинающийся полиурическим кризом, улучшением самочувствия, аппетита, сна с дальнейшим восстановлением нормальной деятельности нервной системы, быстрым уменьшением желтухи, сокращением размеров печени и нормализацией ее функции, сокращением селезенки.
В продромальном периоде можно выделить синдромы: диспептический, астеновегетативный, геморрагический и т. д. К концу продромального периода появляется билирубин в моче, нарастает также содержание его в крови; осадочные (глобулиновые) реакции, сулемовая, тимоловая и др., свидетельствуют о патологических сдвигах в организме.
При остром течении Б. б. наблюдаются различные отклонения от описанной выше клинической картины. Так, желтуха может быть кратковременной и почти не отражаться на самочувствии больного (легкая амбулаторная форма); в начале болезни может быть резко выражен какой-либо менее характерный признак болезни, что, естественно, затрудняет постановку диагноза. Иногда лихорадка бывает высокой и длительной, суставные боли держатся в течение нескольких недель, сопровождаясь даже выпотом в суставах. С самого начала болезни могут появиться носовые или маточные кровотечения и психические расстройства. В отдельных случаях течение болезни с выраженным гепатолиенальным синдромом и лихорадкой бывает довольно длительным: могут также преобладать признаки механической желтухи. Однако в дальнейшем наступает обычное разрешение болезни, заканчивающееся выздоровлением. Иногда заболевание может протекать в более тяжелой форме без желтухи с хорошо выраженными остальными признаками. В этих случаях установлению правильного диагноза помогает наличие эпидемической вспышки.
Острую форму Б. б. на основании выраженности ведущих симптомов можно разделить в смысле тяжести течения болезни на несколько групп.
При легком течении болезни жалобы больных мало выражены, наблюдается небольшая эйфория, быстрая смена настроения, аппетит и сон нормальные, селезенка прощупывается с первых дней, печень умеренно увеличивается, длительность желтушного периода не превышает в среднем 18 дней, билирубинемия не выше 3 мг % при прямой качественной реакции (по ван ден Бергу); осадочные реакции мало изменены: сулемовая проба 1,7 — 1,5, тимоловая 6—8 ед., формоловая проба часто отрицательная. При терапевтическом вмешательстве самочувствие больного быстро улучшается, и вскоре наступает выздоровление.
При заболеваниях средней тяжести более выражены диспептические явления и жалобы на раздражительность, апатию, сонливость или бессонницу, тяжелые сновидения. Аппетит отсутствует. В первые дни наблюдается тошнота. Печень увеличена и чувствительна при пальпации. Селезенка увеличивается более значительно. Отмечается выраженная желтуха.
Биохимические показатели: билирубинемия около 3 — 4 мг %, сулемовая проба около 1,5—1,4, тимоловая до 10 ед., положительная формоловая реакция; повышение содержания гамма-глобулинов.
При тяжелом течении болезни наблюдается отвращение к пище, рвота и другие диспептические явления, резкая заторможенность, оглушенность сознания, бессонница или сонливость, маскообразное лицо, амимия. Печень увеличена и болезненна. Желтушное окрашивание выражено интенсивно. Селезенка может быть значительно увеличена. Билирубинемия свыше 4 мг %, сулемовая проба около 1,3—0,9, тимоловая 15—25 ед., формоловая проба положительная или резко положительная; значительное увеличение содержания в крови гамма-глобулинов. На течение болезни оказывают влияние физическая перегрузка, употребление спиртных напитков, тяжелые психические переживания, некоторые лекарственные вещества: атофан, камполон (при индивидуальной непереносимости его) и др., оперативные вмешательства, особенно произведенные по ошибочным показаниям (лапаротомия, выскабливание матки), а также преждевременная выписка больного из лечебного учреждения.
Возможно, что эти же факторы могут явиться причиной рецидивов болезни различной выраженности, а также определять более частое развитие хронического гепатита и цирроза. Истощение, сопутствующее инфекции, напр. туберкулезу и малярии, также иногда может обусловливать более тяжелое течение Б. б.
При Б. б. наблюдаются разнообразные осложнения. В случаях, ведущих к острой и подострой атрофии печени, болезнь характеризуется злокачественным течением и сопровождается психическим расстройством, катастрофическим уменьшением размеров печени за счет распада ее паренхимы, развитием интенсивной желтухи, кровоточивостью, терминальной комой, нередко с развитием асцита или общих отеков. Острая атрофия печени может развиваться не только при сразу тяжелом, но и при заболевании, в начале легко протекающем.
Тяжелым осложнением является цирроз печени, развивающийся также не только при тяжелых, но иногда и при более легких формах Б. б. Циррозы печени могут протекать в виде грубо узловатой формы (после подострой атрофии печени), гепато-спленомегалической с той или другой степенью желтухи и лихорадочными волнами, а также асцитической при мало увеличенной печени, с кровотечениями из варикозно расширенных вен пищевода и вторичными инфекциями. Весьма характерны и такие симптомы цирроза печени, как носовые Кровотечения, гемералопия, сосудистые звездочки — паучки; гиппократовы пальцы, «печеночные ладони» (эритема области тенара, гипотенара и ладонных поверхностей концевых фаланг пальцев), карминово-красный язык, лейкопения, значительно, а иногда резко выраженные глобулиновые сдвиги в сыворотке крови.
Кроме цирроза печени и собственно хронического гепатита, являющегося по существу предцирротическим заболеванием, необходимо иметь в виду и некоторые иные возможные последствия острой формы Б. б. К ним в первую очередь относятся дискинезии желчных путей, общий астено-вегетативный пли неврастенический синдром, периодически наступающая изолированная гипербилирубинемия, или гемолитическая анемия (обычно в стертой форме) и длительно (месяцами) остающееся незначительное увеличение печени без других симптомов, с незначительными, обнаруживаемыми путем аспирационной биопсии морфологическими изменениями органа.
Указанные осложнения, устанавливаемые при диспансерном наблюдении за лицами, перенесшими Б. б., носят, как правило, обратимый характер и оканчиваются полным выздоровлением. Истинные хронические гепатиты и циррозы печени, развивающиеся вследствие перенесенного острого заболевания, наблюдаются редко, составляя не более 0,5%. Воспалительный бактериальный холангит и холецистит представляют также нечастое осложнение Б. б.
Течение сывороточного гепатита во всех его проявлениях сходно с Б. б.
Диагноз . Распознавание типичных острых случаев Б. б. не сложно, особенно во время эпидемических вспышек. В то же время раннее распознавание болезни в продромальном периоде, до появления желтухи, что имеет важное значение для предупреждения распространения инфекции, удается редко. Обычно возможен лишь предположительный диагноз на основании следующего симптомокомплекса: слабость, утомляемость, потеря аппетита, желудочно-кишечные расстройства, слегка увеличенная и чувствительная печень, наличие билирубина и белка в моче и нарушение печеночной деятельности (положительная сулемовая и тимоловая пробы и пр.). Установлению диагноза способствуют эпидемиологические данные — наличие аналогичных заболеваний в квартире, школе, и т. д., а равным образом указаний на введение крови, сыворотки, инъекции лекарств и т. д. в предшествовавшие месяцы с учетом инкубационного периода при сывороточном гепатите.
Для подтверждения диагноза на высоте болезни пользуются лабораторными данными; из них наибольшее значение имеют следующие: установление повышенного содержания в крови прямого билирубина, сохраняющегося и при нормальном общем его количестве, например, в случаях затягивающегося выздоровления; выраженные глобулиновые реакции, особенно при тяжелом течении болезни; сниженное содержание в крови протромбина, остающееся таковым и после нагрузки витамином К; пониженный синтез гиппуровой кислоты при относительно мало повышенном содержании щелочной фосфатазы (в отличие от механической желтухи). Помогают установлению диагноза и следущие изменения крови: лейкопения и замедленная РОЭ, палочкоядерный сдвиг нейтрофилов, изредка лимфо-моноцитарная реакция. При более тяжелом течении болезни отмечается пониженное содержание холестерина в крови с временным повышением его в период выздоровления. Характерно понижение содержания фосфолипидов в сыворотке крови за счет нарушения синтеза их в печени, умеренная альбуминурия. Тяжелому злокачественному течению острой Б. б. обычно сопутствует повышенная аминоацидурия с кристаллами лейцина и тирозина в осадке мочи, а также аминоацидемия с повышенным содержанием в крови аммиака. В последние годы отмечают уже в ранние периоды болезни и в значительной степени независимо от тяжести заболевания повышенное содержание в крови фермента альдолазы, в период же выздоровления — довольно постоянное нарастание титра гетерогемагглютининов.
Для подтверждения диагноза Б. б. применяют специфические иммунологические реакции: связывания комплемента с сывороткой реконвалесцентов; для обнаружения противотел в более позднем периоде — реакцию со специфическим антигеном; реакцию агглютинации нагруженных вирусом бактерий и внутрикожную аллергическую, диагностическую пробу. Однако эти методы недостаточно специфичны. В последнее время Институтом вирусологии АМН СССР предложена еще не достаточно апробированная реакция подавления гетерогемагглютинации в присутствии антигена из селезенки лиц, погибших от Б. б. Не получило еще окончательной оценки и предложение О. И. Воронковой использовать для диагностики выделение из крови больных (методом культуры в присутствии желтой сарцины) особого фильтрующегося микроба СБ (стрептококка Боткина), являющегося предположительно спутником истинного возбудителя болезни.
Дифференциальный диагноз . При дифференциальном диагнозе следует иметь в виду: в продромальном периоде — грипп, острый катар дыхательных путей, пищевую интоксикацию, ревматизм: на высоте болезни — инфекционный мононуклеоз, токсический гепатит, малярию, септический гепатит, лекарственную непереносимость; при тяжелом течении — острые заболевания брюшной полости, гинекологические заболевания с маточными кровотечениями и психические болезни; при выраженной желтухе — механическую желтуху, сопровождающую злокачественные опухоли, желчнокаменную болезнь, панкреатит; при асците — злокачественные опухоли, туберкулезный перитонит и т. д.
В отличие от болезни Васильева — Вейля при Б. б. начало постепенное, головные и мышечные боли, поражение почек наблюдаются редко, лептоспиры в моче и крови не обнаруживаются, реакция агглютинации и лизиса лептоспир отрицательная.
Прогноз . В подавляющем большинстве случаев Б. б. оканчивается полным выздоровлением. Однако отмечаются и смертельные исходы как в остром периоде болезни, чаще от атрофии печени, так и при хроническом ее течении от цирроза печени. Прогноз тяжелый при серьезных сопутствующих заболеваниях (напр., декомпенсация сердечной деятельности), у беременных и у детей при сывороточном гепатите. Плохой прогноз при злокачественном течении болезни. При заболевании средней тяжести больные остаются нетрудоспособными в течение 2—3 мес. Ближайшие полгода по выздоровлении необходимо соблюдать гигиенический и диететический режимы, избегать физического перенапряжения.
Лечение . Для предупреждения рассеивания инфекции больные Б. б. госпитализируются в инфекционные отделения. Помимо режима общего покоя и щадящей диеты, целесообразно проведение лекарственной патогенетической терапии. Для лучшего сохранения и восстановления функции печеночных паренхиматозных клеток важно обогащение их гликогеном и полноценным белком, а также предупреждение жирового перерождения. С этой целью назначается глюкоза и другие легко усваиваемые углеводы, аминокислоты, особенно ценные для нормального обмена, в частности содержащие сульфгидрильные группы (метионин по 0,5 г 6 раз в день).
Показаны витамины: С, А, В1 , К, пивные дрожжи и др., а также обильные количества жидкости. Рекомендуются липотропные вещества, напр. липокаин по 0,3 г 2—3 раза в день вместе с творогом, особенно у больных с упадком питания. Запрещаются небезразличные для печеночных клеток медикаменты — атофан, салицилаты, большинство наркотиков. Диета преимущественно углеводная. Для обеспечения достаточного питания, являющегося хорошим лечебным фактором, разрешаются жиры (сливочное масло, сливки) в количестве до 50 г в день, творог. При необходимости количество калорий восполняется внутривенным введением глюкозы. Для стимуляции деятельности печени и уменьшения общей интоксикации, помимо глюкозы, инсулина и витаминов, вводят плазму, альбумин, аминокислотные смеси, витамин В12 , камполон (по 2 мл внутримышечно каждые 2—3 дня). При этом надо строго следить за переносимостью больными этих препаратов. Клинически тяжелые формы Б. б. могут сопровождаться накоплением в крови аммиака, являющегося ядом для нервных клеток; предупреждение этого достигается выключением белковой пищи и назначением ауреомицина.
В отдельных случаях, особенно при затягивающейся желтухе и злокачественном течении болезни, предлагают применять адренокортикотропный гормон, учитывая его противовоспалительное, десенсибилизирующее и регулирующее белковый обмен действие. Однако назначение гормона всем больным нецелесообразно, поскольку при этом возможно учащение рецидивов болезни и проявление побочного действия препарата.
Лица, перенесшие острую форму заболевания, подлежат диспансерному наблюдению в течение не менее полугода — года. Это необходимо для надзора за общим и диететическим режимом, регулирования рабочей нагрузки, своевременного распознавания возможного хронического течения болезни и проведения других лечебно-профилактических мер.
Профилактика Б. б. состоит в проведении общесанитарных мероприятий, раннем выявлением и изоляции больных, дезинфекции в очагах (как при кишечных инфекциях), наблюдении за лицами, соприкасавшимися с больным в течение последних 1—1,5 месяцев).
Больных выписывают из больницы только при условии клинического выздоровления. Они допускаются к работе в детских и пищевых учреждениях, а болевшие дети дошкольного возраста — в детские коллективы через месяц после полного клинического выздоровления (восстановление функции печени и ее размеров).
Необходимо также полноценное обследование доноров для исключения из их состава лиц, у которых в анамнезе или в момент осмотра имеется хотя бы в легкой форме Б. б. Весьма серьезное значение имеет правильная стерилизация инструментария, применяемого при инъекциях и других манипуляциях.
Личная профилактика сводится к мытью рук и соблюдению осторожности при уходе за больными, при взятии крови и т. д. Доказана целесообразность введения с профилактической целью гамма-глобулина по 0,02—0,05 на 1 кг веса внутримышечно лицам, подвергшимся возможности заражения. Длительность пассивного иммунитета в результате введения гамма-глобулина около 3 месяцев. Имеются указания на возможное развитие при этом даже стойкого активного иммунитета в тех случаях, когда период действия введенного гамма-глобулина совпадает с заражением Б. б., в связи с чем последняя не проявляется в выраженной форме.
Патологическая анатомия . Б. б. становится объектом исследования патологоанатомов в случаях исхода ее в токсическую дистрофию пли цирроз печени. Патологическая анатомия острых форм Б. б. с исходом в выздоровление изучена гл. обр. на материалах пункционных биопсий печени произведенных впервые в 1939 г. Рохольмом и Иверсеном.
При острых формах Б. б. возникает диффузный гепатит со своеобразной комбинацией изменений мезенхимальных и эпителиальных элементов печени. Выраженность процессов, разыгрывающихся вне (в портальной зоне) и внутри дольки (в эпителиальных и мезенхпмальных элементах ее), различна в зависимости от фазы заболевания.
В I, начальной фазе заболевания (соответствует клинически преджелтушному и начальному желтушному периоду заболевания), в портальных полях обнаруживаются воспалительные (преимущественно мононуклеарные) инфильтраты. Во внутридольковой паренхиме отдельные печеночные клетки или небольшие группы их, рассеянные по всей дольке, подвергаются своеобразной дистрофии с ацидофилией и гомогенизацией протоплазмы и с последующим коагуляционым некрозом; некротизованные клетки попадают из балок в просветы капилляров, уменьшаются, становятся шаровидными, интенсивно эозннофильными и превращаются в ацидофильные тельца, аналогичные тельцам Каунсилмена при желтой лихорадке.
Часть печеночных клеток подвергается гидропическому набуханию; жировая инфильтрация, обычно отсутствует. Гликоген утрачивается лишь некротизованными клетками и захватывается ретикулярными клетками, распределение его в дольке становится менее равномерным. Уже в первые дни желтухи начинаются регенераторные процессы (митозы в печеночных клетках). Во внутридольковой мезенхиме отмечается выраженная пролиферация купферовскпх клеток. Они размножаются путем митотического деления, отторгаются от стенок капилляров, округляются, заполняют просветы капилляров в виде мононуклеарных форм и принимают участие в фагоцитозе некротизованных печеночных клеток. Обнаруживаемый в них желтый пигмент в настоящее время рассматривается как пигмент клеточного распада и отождествляется с липофусцином.
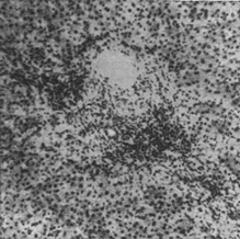
Рассеянные очаги некроза печеночных клеток и усиленная пролиферация внутридольковых мезенхимальных клеток обусловливают выраженное в большей или меньшей степени нарушение балочного строения и диссоциацию печеночных клеток или комплексов их (рис. 1 и отд. табл., рис. 3).


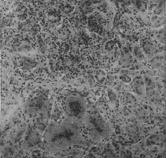
Во II фазе — разгар заболевания (желтушный период) — количество клеточных инфильтратов в портальных полях увеличивается, они содержат примесь плазматических клеток и сегментоядерных лейкоцитов, располагаются то диффузно, то перилобулярно вокруг желчных прекапилляров (холангиол), то вокруг вен или желчных протоков портальной триады. (см. отд. табл., рис. 2). Разрыхление стромы, отек и инфильтраты могут распространиться и на стенку желчного пузыря, особенно на его ложе (процессы, которые возникают иногда еще в преджелтушном периоде заболевания). Некрозы эпителиальных клеток нарастают, могут сосредоточиться в центрах долек, обусловливая разрежение их. Значительно нарастают процессы регенерации печеночных клеток, причем митотическое деление сменяется амитотическим. Помимо внутридольковой, отмечается регенерация и по периферии долек в виде пролиферирующих холангиол. Увеличиваются и внутридольковые клеточные инфильтраты. Некоторые желчные капилляры заполняются желчными тромбами, чему соответствуют клинически выраженные признаки механической желтухи. В этой фазе отмечается некоторое огрубение стромы: пролиферация и коллагенизация аргирофильных волокон как внутри дольки, так и по ее периферии.
В III фазе (период выздоровления) перипортальные инфильтраты уменьшаются, убывает количество некротизированных печеночных клеток, нарастают процессы амитотического деления клеток. Внутрпдольковая пролиферация мезенхимальных клеток стихает, становится более очаговой и узелковой.
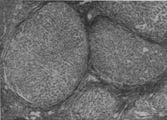
Еще некоторое время после клинического выздоровления о незаконченности процессов восстановления свидетельствуют: лимфогистиоцитарные инфильтраты в портальной зоне (рис. 2), полиморфизм печеночных клеток, обилие многоядерных печеночных клеток, наличие липофусцина, а иногда и железосодержащего пигмента в ретикулярных клетках и наличие желчных тромбов в отдельных желчных капиллярах. Спустя более или менее длительный период (3—4 мес.) после перенесенной Б. б., наступает либо полное морфологическое восстановление, либо обнаруживаются остаточные изменения, выражающиеся в очаговом, портальном или центральном фиброзе; последний, как показывают исследования сериальных пункционных биопсий печени, с течением времени иногда полностыо исчезает. Интенсивность описанных воспалительных, некротических и регенеративных процессов может значительно варьировать: в некоторых случаях легкого течения II фаза полностью выпадает, и I фаза непосредственно переходит в III. Морфологические изменения печени при желтушной и безжелтушной формах Б. б. при инфекционном гепатите (спонтанном) и при сывороточном (шприцевом) одинаковы. Морфологические изменения печени при рецидивах Б. б. и повторных заболеваниях аналогичны изменениям при острой форме.
Одним из возможных вариантов течения Б. б. является перихолангиолитическпй или холестатический гепатит, при котором клинически на первый план выступают признаки механической желтухи (более или менее выраженные и при обычном течении болезни) при отсутствии препятствий во внепеченочных желчных ходах. При микроскопическом исследовании находят:
1) нерезкие изменения печеночных клеток;
2) наличие клеточных инфильтратов по периферии печеночных долек, вокруг желчных прекапилляров — холангиол, а также вокруг желчных протоков портальной триады;
3) явления внутрипеченочного стаза с желчными тромбами в желчных капиллярах и прекапиллярах. Течение болезни чаще затяжное с длительной желтухой.
Морфологическим своеобразием отличается Б. б. у новорожденных, возникающая в результате трансплацентарной передачи вируса плоду от беременной больной или вирусоносительницы. Своеобразие это заключается в присутствии многоядерных гигантских клеток типа симпластов, встречающихся при вирусном гепатите также у детей раннего возраста (рис. 3), иногда и у взрослых. Есть основания предполагать (Тер-Григорьева), что внутрипеченочные атрезии желчных путей, обнаруживаемые у новорожденных, могут быть патогенетически связаны или с внутриутробным гепатитом плода, или с порочным развитием печени плода в результате трансплацентарного воздействия вирусной инфекции беременной. Описываются также врожденные
пороки развития центральной нервной системы у детей, матери которых страдали
Боткина болезнью на ранних этапах беременности.
В небольшом проценте случаев обычное течение Б. б. осложняется массивным некрозом печеночных клеток, что сопровождается клинической картиной острой недостаточности печени и квалифицируется анатомически как острая токсическая дистрофия печени или острая атрофия. Отмечаемые макроскопически дряблость печени и уменьшение ее размеров (рис. см. отд. табл., рис. 3) зависят но только от гибели паренхимы, но и от уменьшения кровенаполнения в спавшейся строме. При более медленном развитии некрозов — при подострой дистрофии печени — на фоне большой убыли паренхимы и воспалительных инфильтратов четко выступают процессы регенерации и некоторая коллагенизация стромы, что обусловливает более плотную консистенцию печени. Исход острой и подострой дистрофии печени — летальный или в узловую гиперплазию с рубцеванием, или в постнекротический цирроз печени.
Из внепеченочных изменений, наблюдаемых при острой и подострой дистрофии печени, осложняющих Б. б., наблюдаются: в мозгу резкие пиркуляторные нарушения, тяжелые дистрофические изменения нервных клеток; в почках — дистрофические изменения, доходящие до некротического нефроза; острые некрозы в поджелудочной железе; геморрагический диатез; нередко асцит в сочетании с отеками; гиперплазия портальных лимфатических узлов и селезенки с миелозом пульпы; дистрофия мышцы сердца; умеренный глыбчатый распад волокон поперечноисчерченных мышц (особенно икроножных).
У лиц, перенесших острую форму Б. б., наблюдаются нередко функциональные нарушения при отсутствии в печени морфологических признаков воспаления (билиарно-болевой синдром, связанный с дискинезиямн желчных путей; рецидивирующая постгепатическая гипербилирубинемия и др.); они имеют обычно благоприятный исход.
Затяжные и хронические формы Б. б. можно разделить на 2 группы:

1.
Затяжной и хронический, вяло протекающий, персистирующий гепатит с умеренными воспалительными инфильтратами в портальных полях, очаговыми — внутри долек, с некоторой коллагенизацией стромы и портальным фиброзом. Особенно затягивается перихолангиолитический вариант гепатита с явлениями внутрипеченочного холестаза и длительной желтухи. При сочетанием вовлечении в воспалительный процесс желчных путей, вызванном основной вирусной инфекцией (воспалительные лимфоидные инфильтраты, отек и фиброз вокруг желчных протоков и в стенке желчного пузыря, без наличия экссудата в просвете желчных путей) возникает билиарно-болевой синдром, обусловленный функционально-органическим поражением желчных путей. Не исключена возможность вторичной бактериальной инфекции (гематогенной или восходящей из двенадцатиперстной кишки). При персистирующем гепатите может возникнуть выраженный гемолитический синдром с увеличением селезенки. Затяжной и хронический персистирующий гепатиты обычно оканчиваются выздоровлением с остаточным фиброзом.
2. Хронический прогрессирующий гепатит с рецидивами и обострениями характеризуется сочетанным диффузным поражением паренхимы и стромы печени и соответствует клинико-анатомическому понятию цирроза печени (см. рис. 4 и отд. табл., рис. 4 и 5). Имеющиеся при этом воспалительные инфильтраты в строме, дистрофически некротические изменения печеночного эпителия, процессы узловой регенерации, диффузное разрастание соединительной ткани с нарушением сосудистой структуры, с образованием портально-печеночных анастомозов ведут к полной перестройке печени, вовлекая в страдание ряд органов и систем организма. В связи с этим возникают различные клинические варианты течения: с выраженным гепатолиенальным синдромом Банти и явлениями гиперспленизма и анемии, с гепато-церебральным синдромом, изредка с картиной гепатолентикулярной дегенерации. Бурный рост регенератов в печени может привести к развитию первичного рака печени с метастазами в другие.
Психические расстройства при болезни Боткина . Указание на изменения психики при Б. б. имеются у С. П. Боткина (1888). Наиболее полно этот вопрос освещен Д. П. Франком в 1921 г. Психические расстройства не являются специфическими, степень и характер их изменяются в зависимости от периода и тяжести заболевания. Возраст, пол, конституциоальные особенности существенного значения не имеют. Психические расстройства наиболее выражены и разнообразны у лиц, злоупотреблявших алкоголем и перенесших травму головы. В преджелтушном периоде ранними симптомами являются: нарушение сна (чаще бессонница, реже сонливость), вялость, замедленность течения ассоциативных процессов, психическая истощаемость, апатия. В период развившейся желтухи безразличие сменяется гневливостью, раздражительностью, нередко появляются подавленность, беспокойство, тревога, мысли о неизлечимости. Иногда эмоциональному угнетению соответствует двигательная расторможенность, суетливость. Тяжесть психических расстройств не всегда параллельна выраженности желтухи. У больного может наблюдаться и повышенное настроение, от легкой до выраженной степени эйфории с двигательным и речевым возбуждением и с недооценкой тяжести заболевания. Состояние повышенного настроения может развиться вслед за депрессивным. Описанные эмоциональные нарушения кратковременны, ограничиваются днями. В отдаленном периоде после болезни в различные сроки, от одного до нескольких месяцев, могут наблюдаться остаточные явления в виде неустойчивости настроения, повышенной психической истощаемости. При хронических репидивирующпх формах болезни на первый план выступают стойкие нарушения памяти, гл. обр. запоминания. В терминальном периоде (при токсической дистрофии печени) психические расстройства могут выступать на первое место. Психомоторное возбуждение, расстройство сознания различной глубины и степени являются при этом наиболее частыми симптомами. В случае психомоторного возбуждения следует прибегать к введению внутримышечно 25% раствора сернокислой магнезии в количестве от 5 до 15 мл.
Боткина болезнь у детей . После введения в Москве обязательной регистрации заболеваний Б. б. в 1949 г. среди зарегистрированных преобладали дети до 15 лет, взрослые же составляли всего 19% всех заболевших (М. Л. Бутягина). Наряду с описанными у взрослых путями заражения, у детей первых месяцев жизни наблюдаются случаи внутриутробного заражения — от матерей, которые незадолго до родов болели Б. б. (Н. П. Ланговой). Замена противокоревой сыворотки гамма-глобулином направлена против возникновения сывороточного гепатита.
Болезнь в большинстве случаев начинается остро с повышением температуры и явлениями начального токсикоза. Ребенок становится вялым, апатичным, адинамичным и сонливым. Кроме тяжелых и легких форм, могут иметь место все виды переходных форм. Редко болезнь начинается с затемнения сознания, судорог и менингеального синдрома. У 1/3 больных отмечаются катаральные явления (гиперемия зева, насморк, чихание и др,). Аппетит резко снижается; у большинства детей отмечается тошнота, рвота, боли в животе (у маленьких детей в области пупка, у старших — в правом подреберье), у 1/5 детей — понос или запор (М. С. Маслов, А. В. Мазурин). У детей реже, чем у взрослых, наблюдаются артральгии и мышечные боли. Иногда в начале заболевания (на 2—3-й день) можно отметить увеличение печени, реже селезенки; нередко изменение окраски мочи (потемнение) и кала (обесцвечивание) предшествует появлению желтухи.
Преджелтушный период — чаще 3—7 дней (в среднем 5 дней), иногда удлиняется до 21 дня. Продолжительность его несколько короче при тяжелых формах болезни. У 10—15% детей продремальный период отсутствует, и заболевание начинается сразу с появления желтухи. Прежде всего отмечается желтушность склер, слизистой оболочки нёба, носогубной складки, мочек уха. Желтушность кожи в среднем держится 15—37 дней, желтушность склер — более продолжительное время.
При появлении желтухи температура нормализуется, иногда остается субфебрильной (типичных черт температурная кривая не имеет). У детей кожный зуд отмечается редко (Р. Ю. Кольнер), сыпи довольно часты (розеолезно-папулезные эритемы, геморрагические и др.). Часто отмечается сухость кожи, изредка пластинчатое скарлатиноподобное шелушение на подошвах стоп (Б. Б. Кречмер и В. Ю. Брянская). При затяжных формах иногда наблюдается симптом «сосудистого жучка». Со стороны сердца (клинически и электрокардиографически) находят изменения типа «инфекционного сердца». В отличие от взрослых, у детей наблюдается не только брадикардия, но и тахикардия. В первые 2—3 дня желтушного периода увеличивается печень и селезенка (чаще при средней тяжести и тяжелых формах), они в среднем на 3—4-й неделе болезни сокращаются. Диспептические явления с появлением желтухи постепенно уменьшаются и исчезают. Нормализация окраски мочи и кала наступает на 12—20-й день болезни (чем тяжелее заболевание, тем позже). Так же, как у взрослых, отмечается нарушение обмена веществ, выявляемое при биохимических исследованиях.
Иногда у детей на 11—21-й день, а в редких случаях и позже, наблюдается вторая волна болезни: повышается температура, увеличивается печень, а иногда и селезенка, усиливается желтуха, появляются апатия и сонливость. Вторая волна, по-видимому, связана с изменением реактивности организма (развитием аллергии); иногда ее бывает трудно отличить от первых признаков развивающейся токсической дистрофии печени. Последняя при злокачественном течении болезней у некоторых детей может развиваться и в начале заболевания.
Осложнения (лимфадениты, редко с нагноением, отиты, пневмонии и др.) возникают на 2—3-й неделе болезни.
При дифференциальном диагнозе у детей первых недель жизни необходимо исключить аномалии развития печени и желчных путей, гемолитическую болезнь новорожденных, затянувшуюся форму физиологической желтухи, сепсис и др.
Прогноз в большинстве случаев благоприятный. Летальность не превышает 0,1— 0,3%. Однако у значительного числа детей, перенесших эпидемический гепатит, длительное время наблюдаются те или иные остаточные явления, гл. обр. снижение сопротивляемости организма с нарушением функций печени. Поэтому за ними необходимо установить регулярное диспансерное наблюдение.
Из лечебных мероприятий большое значение имеет грудное вскармливание детей на 1-м году жизни, а у более старших — полноценное питание с повышенным количеством витаминов С и комплекса В, с достаточным содержанием белка при некотором ограничении жиров, умеренной форме механического и хим. щажения.
![]() |
|||||
![]() |
|||||
|
|||||
Боткин Сергей Петрович
БОТКИН Сергей Петрович (1832—1889) — великий русский клиницист-терапевт. Родился в Москве в семье крупного чаеторговца. Большое влияние на образование и развитие Б. имел его старший брат Василий Петрович, друг Н. В. Станкевича, В. Г. Белинского, М. А. Бакунина. Благотворны были и беседы со знаменитым Т. Н. Грановским, который жил в доме Боткиных, а также профессором-медиком Пикулиным (он был женат на сестре Б.) участником герценовского кружка 40-х годов, который посетил А. И. Герцена в 1855 г. в Лондоне.
В этом замечательном окружении складывались передовые взгляды молодого Б. в бытность его студентом медицинского факультета Московского университета (1850—1855). В 1855 г. Б. с отрядом Н. И. Пирогова принимал участие в Крымской кампании, выполняя в течение трех с лишним месяцев обязанности ординатора Симферопольского военного госпиталя. В 1856 г. Б. выехал за границу, работал в Вюрибурге, в лаборатории медицинской химии Гоппе-Зейлера; посещал лекции Людвига Траубе, директора клиники внутренних болезней в Берлине и главного врача больницы Шарите. В 1858—1859 гг. в Вене Б. слушал лекции физиолога Людвига, клинициста Опольцера, в 1859—1860 гг. в Париже— лекции Клода Бернара по физиологии и А. Труссо по терапии. Осенью 1860 г. Б. вернулся в Петербург; успешно защитил диссертацию на тему «О всасывании жира в кишках» и в том же году был назначен адъюнктом академической (факультетской) терапевтической клиники Медико-хирургической академии, которую возглавлял П. Д. Шипулинский. С 1861 г. в связи с уходом Шипулинского в отставку В. стал ординарным профессором этой клиники. С первого же года вступления на кафедру Б. создал при клинике лабораторию, которой вначале заведовал сам, а с 1878 г. в течение десяти лет управление лабораторией осуществлял И. П. Павлов. Здесь, помимо клинических анализов, изучалось фармакологическое действие новых лекарственных средств, и производились опыты над животными с целью искусственного воспроизведения патологических процессов и выяснения их патогенеза. Многие работы, вышедшие из лаборатории, прочно вошли в практику. К числу их относятся исследования о влиянии горицвета Бубнов), наперстянки, майского ландыша (Симановский, Богоявленский) на кровообращение. И. П. Павлов работал в области физиологии кровообращения, написал диссертацию о центральных нервах сердца, открыл усиливающий нерв сердца и вместе со Стольниковым разработал модель искусственного круга кровообращения.
Б. внес в клинику физиологические и лабораторно-экспериментальные методы исследования, рассматривал эксперимент в клинике как средство, раскрывающее механизм болезней.
Клинико-теоретические взгляды Б. наиболее полно изложены в выпусках курса клиники внутренних болезней и клинических лекциях. Под редакцией Б. и на его средства в течение долгого времени издавался с 1869 г. «Архив клиники внутренних болезней» (вышло 13 томов), а впоследствии стала выходить «Еженедельная клиническая газета» (1881—1889), где печатались труды Б. и его учеников.
Взгляды Б. складывались под влиянием его выдающихся предшественников: С. Г. Зыбелпна, М. Я. Мудрова, Е. О. Мухина, Ф. И. Иноземцева, П. Е. Дядьков-ского, А. И. Полунина, Н. П. Пирогова.
Человеческий организм Б. рассматривал во взаимосвязи с внешней средой, а болезнь или здоровье — как результат воздействий внешней среды на организм. «Понятие о болезни,— писал Б., — неразрывно связывается с ее причиной, которая исключительно всегда обусловливается внешней средой, действующей или непосредственно на заболевший организм, или через его ближайших или отдаленных родителей».
Он подчеркивал свойство организма приспосабливаться к изменяющимся условиям внешней среды, его способность закреплять вновь приобретенные свойства и передавать их по наследству.
В 1884 г. в лекциях о хлорозе и пернициозной анемии объяснял развитие этих болезней различными причинами, однако он высказал глубокое убеждение в существовании в головном мозгу центра кроветворения «влияющего на состав крови путем или уменьшения образования, или усиленного разрушения красных кровяных шариков». Эта гипотеза о центральной регуляции кроветворения, впервые высказанная в мировой науке Б., позднее была подтверждена школой И. П. Павлова. При объяснении многих патологических состояний внутренних органов Б. отмечал ведущее значение центральных нервных аппаратов при этих состояниях. Большое значение в происхождении внутренних болезней он придавал и психическому фактору. Неврогенная теория Б. противостояла вирховской теории целлюлярной патологии.
Важной заслугой Б. является и обоснование целостности организма на принципах нервизма. Согласно его утверждениям, целостность организма определяется и регулируется нервной системой. Б. рассматривал болезнь как процесс, охватывающий организм в целом. Эти взгляды им иллюстрировались конкретным разбором отдельных заболеваний — малокровия, ревматизма, катаральной желтухи. Так, напр., выступая против вирховского локалистического толкования «катаральной желтухи», Б. говорил: «Icterus catarrhalis», которую прежде считали за желудочно-кишечный катар с механической задержкой желчи, на самом деле есть только один из симптомов общего заболевания, проявляющегося не только желтухой, но и увеличением селезенки и иногда нефритом, наконец, с самостоятельным поражением печени и большей частью с лихорадкой». Б. убедительно доказал, что единство организма как целого и его связь с внешней средой осуществляется нервной системой, и все остальные важные регуляторы жизненных процессов, в т. ч и гуморальные, играют соподчиненную роль, находясь под воздействием регулирующей роли нервной системы.
Главнейшими задачами практической медицины Б. считал «предупреждение болезни, лечение болезни развившейся и, наконец, облегчение страданий больного человека». И. П. Павлов говорил, что Б. поражал «способностью разгадывать болезни и находить против них наилучшие средства». Б. следует считать одним из основоположников военно-полевой терапии. В 1877г. во время русско-турецкой войны, он пробыл около семи месяцев на балканском фронте в качестве лейб-медика при царской ставке. Силой обстоятельств Б. сделался своеобразным клиническим профессором в полевых военных госпиталях. Он часто посещал и осматривал больных, советовал врачам, как надо вести их лечение, указывал, как нужно, хотя бы и в неблагоприятных условиях, делать научные наблюдения.
Сам Б. сумел подметить особенности течения в условиях войны ряда заболеваний внутренних органов, в частности влияния на характер желудочно-кишечных заболеваний. Он впервые описал лихорадочное заболевание, впоследствии ставшее известным под названием «волынской лихорадки». Б. указал на важность раннего применения хинина в лечении перемежающейся лихорадки. Он подчеркивал неоднократно значение состояния нервной системы в возникновении и развитии тех или иных заболеваний.
Особенно плодотворной была деятельность Б. в качестве гласного с.-петербургской городской думы (1881—1889). Он был избран заместителем председателя Комиссии общественного здравия, а затем членом больничной, санитарной комиссии и др.
В 1882 г. Б. в качестве председателя подкомисии по школьно-санитарному надзору в городских училищах успешно организовал силы для борьбы с вспыхнувшей сильной эпидемией дифтерии и скарлатины. В том же 1882 г. авторитетная поддержка Б. помогла осуществить организацию участковых «думских» врачей, по проекту Г. И. Архангельского, для бесплатного обслуживания неимущего населения столицы как амбулаторно, так и на дому.
Велика заслуга Б. в деле улучшения больничной помощи. Прежде всего он принял горячее участие в окончательном устройстве и оборудовании городской барачной больницы (была начата строительством по инициативе Думы в 1880 г.), попечителем которой по врачебной части он был избран в начале 1882г. Б. удалось сделать ее образцовой и в лечебном отношении, и в научном, и в деле подготовки и совершенствования врачей по инфекционным болезням. До последних дней своей жизни Б. не оставлял заботы о ней.
После перехода больниц попечительного Совета в ведение города Дума избрала в 1886 г. Б. почетным попечителем всех городских больниц и богаделен. Стараниями Б. больницы стали перестраивать свою работу по примеру барачной больницы.
Б. обращал внимание на постановку дела и в богадельнях. Он хотел их использовать для изучения болезней старческого возраста и в особенности преждевременной патологической старости. По инициативе Б. и по его непосредственным указаниям летом 1889 г. было произведено подробное, насколько возможно, клиническое исследование почти 3000 призреваемых. Разработка полученного материала производилась уже после смерти Б. Петербургская городская дума увековечила память Б., наименовав барачную больницу на Александровском плацу «Боткинской городской барачной больницей» (1890).
За 29 лет своей профессорской деятельности Б. подготовил 103 ординатора, из к-рых 85 защитили диссертации на степень доктора медицины. 37 из его учеников было присвоено звание профессора, из них 25 по терапии (А. А. Нечаев, М. В. Яновский, П. Я. Чистович и др.), а 12 — по другим дисциплинам. Б. придавал большое значение прохождению терапевтической школы для последующей специализации по различным дисциплинам. У него прошли подготовку по терапии А. Г. Полотебнов, Т. П. Павлов (дерматология и венерология), Н. П. Симановский, А. Ф. Пруссак, Б. В. Верховский (оториноларингология), Т. И. Богомолов (медицинская химия), И. В. Забелин (фармакология), К. В. Ворошилов, И. П. Павлов (физиология), Д. А. Соколов, В. Н. Рейтц (педиатрия), С. П. Лукьянов (патология).
Концепции Б. получили широкое распространение и должную оценку особенно после Великой Октябрьской социалистической революции. Советская медицина, пользуясь созданной Б. теорией нервизма, обогащенной П. П. Павловым, разрабатывает важнейшие проблемы внутренней медицины. Среди советских ученых, которые приложили немало усилий для применения идей Боткина — Павлова в медицине, особое место занимают В. П. Образцов, Н. Д. Стражеско, М. П. Кончаловский, М. В. Яновский, Г. Ф. Ланг, С. С. Зимницкий, Р. А. Лурия.
![]() |
Заключение
Болезнь Боткина встречается в любое время года на всей территории земного шара. Особенно учащаются заболевания в осенние и зимние месяцы.
Эпидемическим гепатитом болеют люди всех возрастов, но чаще всего болезнь Боткина поражает молодой и особенно детский возрасты.
Во вторую мировую войну эпидемический гепатит распространился среди солдат и населения всех воюющих армий и стран.
В последние годы началось систематическое снижение числа заболеваний.
Дальнейшее снижение и ликвидация заболеваний эпидемическим гепатитом продолжает оставаться одной из важных задач органов здравоохранения. Успешное решение ее зависит от совместных усилий населения и медицинских работников.
Литература
1. Большая Медицинская Энциклопедия. Том 4. Государственное издательство медицинской литературы. Москва, 1958 г.
2. Пропедевтика внутренних болезней. Мясников Александр Леонидович. Медгиз, 1956 г.
3. Вирусные гепатиты. С. Н. Соринсон. Ленинград, Медицина, 1987 г.
Похожие рефераты:
Иммунитет при вирусном гепатите, маркеры вирусного гепатита и их характеристика
Динамика заболеваемости вирусными гепатитами А и В в промышленном районе города Самары
Хронические гепатиты, лечение, патогенез
Вирусные гепатиты В и С у лиц фертильного возраста
Биологическая характеристика возбудителей вирусных трансфузионных гепатитов
Острые и хронические вирусные гепатиты
Вирусный гепатит «В». История болезни
Современные взгляды на этиологию, патогенез и диагностику гепатитов
Вирусология и проблемы практики
Вирусный гепатит "А" (Ig – М "+"), желтушная форма, средней степени тяжести


